Cómo fuimos de allá para acá y de aquí para allá

De Angle a Damon un siglo de historia
    Dr. Derek Mahony, Specialist Orthodontist.
    49 Botany Street Randwick NSW 2031, Australia

RESUMEN:
Edward H Angle dominaba todo el armamentarium de ortodoncia, el diagnóstico y la planificación del tratamiento por casi medio siglo hasta que Charles Tweed desafió al mantra de la no extracción de su consejero, con éxito. El régimen diagnóstico subsiguiente utilizado por Tweed, sin embargo, probó tener limitaciones serias y resultó en la extracción de demasiados dientes evidentemente. Esto causó un deterioro de las apariencia de los tejidos blandos en los pacientes que ni a ellos ni a sus ortodoncistas les gustaban. Este artículo describirá e ilustrará cómo las nuevas técnicas de expansión difieren cualitativamente de las de Angle, y cómo estas técnicas ofrecen a los pacientes y a los ortodoncistas terapias menos invasivas y más cómodas que no ponen en peligro apariencias faciales.

ABSTRACT:
Edward H. Angle dominated orthodontic armamentarium, diagnosis and treatment planning for almost a half century until Charles Tweed successfully challenged his mentor's nonextraction mantra. The ensuing diagnostic regimen used by Tweed, however, proved to have serious limitations and clearly resulted in the extraction of too many teeth. This caused a subsequent deterioration of soft tissue appearances of patients that neither they nor their doctors liked. This article will describe and illustrate how new expansion techniques differ qualitatively from those of Angle, and how these techniques offer patients and doctors less invasive and more comfortable therapies which do not jeopardize facial appearances.

RESUMO:
Edward H Angle dominou o armamentarium de ortodontia inteiro, a diagnose e o planejamento do tratamento durante quase meio século até que Charles Tweed desafiou ao mantra da extração de non de seu consultor, com sucesso. Os regime diagnósticos subseqüentes usados por Tecido de lã, porém, provaram ter limitações sérias e estava evidentemente na extração de muitos dentes. Isto causou uma deterioração do aparecimento dos tecidos macios nos pacientes que nem eles os ortodontistas deles/delas nem eles. Este artigo descreverá e ilustrará como as técnicas de expansão novas diferem qualitativamente desses de Ângulo, e como estas técnicas oferecem aos pacientes e as terapias de ortodontistas menos invasivas e mais confortável que eles não põem em perigo aparecimentos faciais.



INTRODUCCIÓN
Para el primer tercio del siglo pasado, la ortodoncia estuvo dominada por un hombre, Edward H Angle, con el estancamiento intelectual resultante que surge de tal control monomaniacal. Este reconocimiento de ninguna manera desluce las notables contribuciones de Angle, su sistema de clasificación claro y simple y el bracket edgewise. Ambas invenciones han perdurado por un siglo, y eso no es un logro despreciable en ninguna disciplina científica. Sin embargo, la ciega aprobación de su diagnóstico limitado y regímenes de planificación de tratamiento por parte de los ortodoncistas dificultó el progreso de esta disciplina más de lo que la ayudó, la mitad del siglo pasado fue gastada tratando de superar el estupor de la primera mitad.

La influencia de Angle continuó hasta que uno de sus estudiantes, Charles Tweed, [1] tuvo suficiente valor y objetividad para recusar el plan no - extracción de Angle. No era un salto tremendo del poder intelectual. Tweed sólo y sinceramente reconoció que cuando 100 % de sus pacientes recayeron, podría haber algo malo con el diagnóstico y/o la planificación de tratamiento.

El Dr. Tweed actuó apropiadamente de cara a estoa cambios que no agradaban a los dentistas mas viejos muy a diferencia del dentista que regañó a un colega joven que estaba describiendo meticulosamente su técnica de obturación endodontica. El anciano explicó su propia técnica, usó un fósforo afilado con una navaja de bolsillo y luego lo apretujó en el canal. Cuando el dentista joven preguntó si muchos estos empastes de tratamiento de conducto radicular no fallaron posteriormente, el hombre más viejo respondió, "¡Cada maldito tiempo!"

El Dr. Tweed cansado de esos abscesos de la ortodoncia, a diferencia de sus semejantes trató de corregir las deficiencias que vio en la filosofía de Angle,. Algunos dirían que sobrecorrigió, pero eso el lo dijo, debemos pagar el homenaje a alguien que tiene la destreza y la temeridad de desafiar a un consejero y sus subalternos con éxito. El éxito de Tweed trae a la mente el comentario de C.S. Lewis, que dijo, "Ningún genio es tan afortunado como él que tiene la destreza y la habilidad de hacer bien lo que los otros han estado haciendo mal."

Sin embargo, pienso que Tweed quizás no habría sido capaz repartir su trabajo en el que describía su técnica de extracción si Dr. Angle todavía hubiera estado vivo. Las influencias de Angle sobre la sociedad que soportaba su nombre eran demasiado inmensas para permitir tal arrogancia de un arribista joven. Pero como Samuelson, el economista de MIT, una vez dijo: "La ciencia avanza despacio de funeral en funeral." Y lo mismo sucede en ortodoncia.

El bracket de arco de canto junto con el legado más importante, el sistema de clasificación, de Angle han perdurado mas que la filosofía de no extracción. Angle había experimentado con las extracciones de premolar mientras usaba su aparato de arco recto sin éxito, nunca solucionó el problema de mantener paralelas las raíces para impedir que se abrieran los espacios de extracción. Si el no podía hacerlo, entonces, nadie más podía, y esto resultó en una oposición violenta a ninguna extracción y a una insistencia al agrandar los arcos para acomodar los todos de los dientes.

Este dogma se mantuvo dominante por varias décadas hasta que el Tweed propugnó la extracción de premolares sobre la base de su triángulo de diagnóstico, que era el primer estratagema de planificación de tratamiento sistemático que los ortodoncistas tenían. Tweed recibió la corroboración simultáneamente de otro ex alumno de Angle en Australia, Raymond Begg, [2] quien había estudiado a aborígenes y había llegado a la conclusión de que la naturaleza producía desgastes en el esmalte. Decidió que ortodoncistas podían imitar la naturaleza extrayendo dientes antes de la terapia de ortodoncia. las filosofías de extracción de Tweed y Begg se impusieron al final y permanecieron irrefutables durante algún tiempo.

Hace los varios años atrás Holdaway [3, 4] publicó sus artículos que indicaban el tejido blando como el rasgo determinando del diagnóstico. Este cuestionó el régimen diagnóstico angosto de Tweed que se concentró en el incisivo de mandibular y descuidó el tejido blando totalmente. El triángulo de Tweed puso una tendencia que enfatizó más prudencia en la extracción de dientes. Pronto otros añadieron sus descubrimientos como los factores determinantes principales del diagnóstico y la planificación de tratamiento respecto a tejido blando y los incisivos maxilares. [5-7]

Del comienzo de esta especialidad, con Dr. Angle, el diagnóstico nunca tenía demasiada importancia porque todos recibieron el mismo tratamiento de no extracción con el mismo aparato expansivo. El prodigio deesto es que la colección de los registros de ortodoncia nunca fue importante. Hace algunos meses un ortodoncista se jactó de que desde que comenzó un régimen de tratamiento diferente, estaba tratando el 98 % de no extracción en sus paciente. estuve tentado a preguntar si todavía toma los registros porque con la seguridad diagnóstica como esa, los registros son evidentemente obsoletos. Los ortodoncistas no deben malgastar el tiempo de pacientes y dinero en tomar las impresiónes, las radiografías cefalométricas o hacer las simulaciones de tratamiento si todos planes de tratamiento son esencialmente lo mismos. Uno no necesita que los registros de ortodoncia lleguen a tal conclusión preconcebida.

Obviamente, esta planificación de tratamiento una medida para todos no benefició a pacientes hace unos cientos de años, y tampoco en nuestra propia epoca pero tal sencillez continúa para muchos ortodoncistas. Ortodoncistas orgullosos ellos mismos de ser científicos, y sin duda alguna reciben un buen entrenamiento en el método científico; pero toma muy poca información anecdótica eclipsar el criterio científico de muchos en la profesión. Albert Szent - Györgyi probablemente tenía razón cuando dijo, "El cerebro no es un órgano de la idea, pero es un órgano de la supervivencia como una garra y un colmillo. Es tal como hacernos aceptar como la verdad eso que es solamente una ventaja."

No hay problemas si la terapia de ortodoncia cambia espectacularmente, beneficiará a nuestros pacientes en grado mínimo si no tenemos una mejora concomitante en nuestro diagnóstico y conocimientos de pronóstico. Esto se queda en el imperativo de un número para aquellos que practican ortodoncia. Los ortodoncistas deben ver cualquier nueva terapia que no vaya acompañada de los conocimientos de diagnóstico equitativamente sofisticados, con desconfianza. Los pacientes ya han recibido desde hace mucho el tratamiento de ortodoncia con muy poco diagnostico.


INSTRUMENTACION:
Los primeros intentos en corregir maloclusiones usaron alambres de arco grandes simples ligados a los dientes malpuestos. Pierre Fauchard de Francia desarrolló el precursor del aparato moderno - arco de expansión (Figura 1)

Figura 1
Arco de expansión de Fauchard
Arco de expansión de Fauchard

Este procedimiento dio el solamente el control inclinando, en una dimensión, pero es inadecuado para controlar las rotaciones. En 1887 Edward H Angle lanzó el arco E . el arco que usó para la expansión era un alambre labial acompañadas por cintas sobre los molares que ligaba a otros dientes (Figure 2).

Figura 2
Arco E de Angle
Arco E de Angle

Los desarrollos metalúrgicos a inicios del siglo XX permitieron que clínicos recubrieran todos los dientes con bandas y soldaran anexos que podían controlar las rotaciones horizontales. La técnica desarrolló un aditamento popular conocido como el pin y el tubo en 1911 (Figura 3), y satisfizo muchos de los requisitos de los clínicos; pero esto requería la destreza anormal, la paciencia y la destreza así que se desarrolló a un bracket de arco de cinta (Figure 4), que Angle lanzó en 1916. Proveyó el buen control en dos dimensiones y se hizo popular rápidamente. El aditamento soldado al arco de cinta marco el primer paso para los aditamentos de ortodoncia conocidos como brackets. [8]

Figura 3
Aparato de Pin y tub
Aparato de Pin y tub
Figura 4
Arco de cinta
Arco de cinta

Cuando Angle inicióel arco de cinta, ya había empezado el trabajo de crear el bracket para arco de canto (edgewise) . Sin embargo, el bracket no apareció repentinamente de la mente creativa de Angle, sino que se desarrolló despacio evolucionando con algunas modificaciones (Figura 5). Cuando Angle se dio cuenta de que este bracket podía repartir el control tridimensional de los dientes con línea horizontal, una colocación direccional y confrontación simultánea de todos los dientes, cambió el bracket varias veces hasta que consiguió el # 447 (Figura 6) en 1928. Recibió el apoyo temprano y entusiasta de clínicos dentales en todos los Estados Unidos y eclipsó otros aparatos de ortodoncia útiles como el aparato de tubo abierto de McCoy, el aparato universal Atkinson y el aditamento de alambre gemelo de Johnson

Figura 5
Evolución del bracket edgewise de Angle
Evolución del bracket edgewise de Angle
Figura 6
Bracket edgewise 447 de Angle "El ultimo y mejor mecanismo en ortodoncia"
Bracket edgewise 447 de Angle "El ultimo y mejor mecanismo en ortodoncia"

La aplicación universal y la durabilidad del bracket de edgewise hizo que Angle inmodestamente lo anunciara como "el último y mejor en los mecanismos de ortodoncia". [9] los innovadores han añadido modificaciones menores pero prácticas como aletas de rotación, brackets gemelos, tamaños diferentes, aparatos preajustados, aplicaciones por lingual, etcétera, pero la esencia del bracket edgewise ha quedado. Para cualquier instrumento, particularmente en las ciencias de la salud, quedarse prácticamente igual (y casi tan útil por cerca de un siglo) se acerca a la increibilidad. En la industria de automóvil, esto sería equivalente a que el Ford de Modelo T se quedara como el arquetipo de desarrollo automotriz.


Aparte de añadir alas y duplicar la ranura para hacer el popular bracket gemelo, la invención de Angle se ha quedado básicamente igual. Holdaway [10] indicó angulaciones para ranura para ayudar a mantener el anclaje, para mantener paralelismo de raíces y colocar dientes artísticamente, mientras que Lee [11] había desarrollado algunos ranuras anteriores con la intención de dar torque a incisivos. Pero Andrews fue el que desarrollo un aparato que aplicaría los dobleces de 1º, 2º y 3er orden a los dientes sin hacer los cambios en el alambre de arco recto [12]

Los aparatos ortodóncicos preajustados habían dominado la profesión los últimos 30 años, y la tendencia entre ellos indica poco signo de cambiar aunque muchos se han preguntado sobre la idea un tamaño para todos [13-18]


Y regresando nuevamente
La publicación del trabajo de [19] de Frankel con aparatos funcionales ilustró la ampliación importante de arcos dentales y volvió a despertar un interés en la terapia de no extracción. Sin embargo, la mecánica de Frankel requería el uso de aparatos removibles, y eso no agradó a muchos ortodoncistas o a sus pacientes. Después de una oleada breve de interés en los Estados Unidos, pocos clínicos continuaron usando el aparato de Frankel como un aparato base de uso regular.

Sin embargo, el uso de aparatos ortopédicos alertó a ortodoncistas sobre la posibilidad de aumentar los anchos y los perímetros de arco con fuerzas mínimas. Aunque los caninos mandibulares brindan importante resistencia para la expansión, premolares y primeros molares muestran una expansión sólida y estable a menudo. Brader [20] insinuó esto con su trabajo sobre el forma de arco de elipse tri-focal, pero no acompañó la explicación sobre cómo podría dar las formas de arco más amplias y acopladas

Los expansores de resorte de titanio de fuerza ligera han demostrado su habilidad de desarrollar los arcos lateralmente, [21] y recientemente Damon [22] ha sugerido que fuerza del arco de alambre ligero, unido con un tubo pasivo y una proporción de alambre - ranura adecuada, permite que los dientes acompañando de su alveolo dentario se dilaten en todos planos del espacio. Damon sostiene que usando alambres delgados de fuerza ligera como los de Ni - Ti ™ de cobre ( Ormco corporation, Orange, CA) se consigue la fuerza biológica ideal propuesta hace mucho por algunos investigadores. [23] [24, 25]

Brackets de auto-ligado que esencialmente forman un tubo fueron desarrollados hace varias décadas, como el Ormco Edgelok [26] siendo el primero, seguido por el bracket de la casa Speed [27]. Ambos sistemas iniciales de auto - ligado con el aparato de alambre de arco recto presentaron una falta de atractivo ya que los alambres de titanio más nuevos podían conseguir lo mismo en aproximadamente el mismo tiempo

Damon ha persistido desde 1995 con su versión de un bracket de autoligado (Figura 8) y ha cambiado los tipos de alambres de arco y la secuencia en la que los clínicos los usan básicamente. Su experiencia ha mostrado que con muchos pacientes puede eliminar distalización de molares, extracciones (excepto cuando sea necesario reducir protrusiones bimaxilares) y expansión palatal rápida a menudo, ofreciendo evidencias clínicas de haber hecho esto con regularidad. [22]

El bracket de Damon es esencialmente un tubo diseñado con las dimensiones correctas que permiten promover la mecánica de deslizamiento cuando se necesita y tener juego suficientemente en el sistema para la torsión y el control rotacional usando los alambres de sección transversal más grandes. Damon empieza los casos con una ranura amplia y arco de acero .014 o preformados de alta tecnología de diámetro más pequeño. Empezar los casos con una ranura grande para el arco y alambres de diámetro pequeños, disminuye la divergencia de los ángulos de los espacios. Esto baja la fuerza aplicada y la fricción que obligatoriamente se genera.(Figura 7)

Figura 7
Binding
Binding
Figura 8
Divergencia
Divergencia
Figura 9
Bracket Damon 3 abierto y cerrado
Bracket Damon 3 abierto y cerrado

Las pregunta más lógica que lectores podían proponer ¿como Damon ha mostrado la expansión progresiva mientras que Angle no pudo hacerlo,? La cantidad de la expansión no es diferente, probablemente es pequeña, pero la calidad de la expansión brinda un cambio cuantitativo. Mollenhauer [28] ha indicado como muchos sus aparatos para fuerza ligera. Cuando Angle usó un arco de cinta, (indicó el uso de un alambre fino y delicado) la medida actual del alambre tiene una dimensión de.036 x.022 pulgada. La ligadura para este alambre agobiaría el periodonto y previene el desarrollo de un soporte dentoalveolar. Tan pronto se moldeara nuevo hueso, el soporte dentoalveolar sólo se doblaría y al terminar el tratamiento regresaría rápidamente. Clínicos sagaces pueden ven esto en la distalizacion de molares usando headgear y tratan de realizar movimientos para compensar este movimiento regresivo del hueso.

Schwartz [25] dijo que tomaba de 20 a 26 g / cm ² de la fuerza para colapsar los vasos capilares en el ligamento periodontal. ¡Con RPEs y extraorales esta fuerza excede a veces hasta 10 libras!

Profitt [29] considera que los niveles óptimos de fuerza para el movimiento de diente en ortodoncia deben ser sólo lo suficientemente alto para estimular la actividad celular sin ocluir vasos sanguíneos totalmente en el ligamento periodontal.

La verdadera Biomecánica consiste en mantenerse en la zona de fuerza óptima por ejemplo. manteniendo fuerza por debajo de la presión sanguínea del vaso capilar. dobleces convencionales (ligaduras elastomericas y ligaduras de acero inoxidable y resortes en clips) no permiten que se mantenga la zona de fuerza óptima debido al roce y la fricción.

La advertencia más importante de que Damon ofrece a los clínicos es no es usar su mecánica corriente con su sistema, y no podía estar más de acuerdo. Cuando empecé a usar el sistema de Damon primero, continué usando la secuencia regular de de arco alambres y vi poca ventaja a estos nuevos brackets más costosos. Sin embargo, cuando empecé a usar los brackets de acuerdo con el consejo de Dr. Damon, empecé a ver cambios extraordinarios. El siguiente paciente ilustra las típicas respuestas para la biomecánica brindada por el sistema de Damon:

Pre-treatment
Pre-treatment
Pre-treatment
Pre-treatment
Arch development
Arch development
12 months
12 months
12 months
12 months

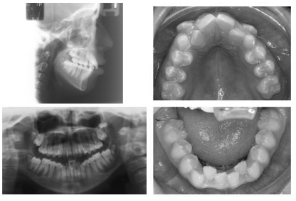
The maxiliary posterior transverse arch adaptation resulted in an 8 mm change at the firt premolars

12 months

The maxiliary posterior transverse arch adaptation resulted in an 7 mm change at the firt molars

12 months

The mandibular posterior transverse arch adaptation resulted in an 6 mm change at the firt premolars

12 months

The mandibular posterior transverse arch adaptation resulted in an 6 mm change at the firt molars

12 months

CT Scans
Upper
Lower

CONCLUSIONES
El cambio radical en nuestros procedimientos es el hecho de que el hueso de alveolar puede ser modificado y rehecho con fuerza clínica baja. Usando fuerza baja ortodoncia de poco roce, el hueso de alveolar admite el movimiento corporal de dientes en todas direcciones.

La arquitectura de hueso de alveolar parece mejorar con el tiempo luego de ortodoncia de fuerza baja así que el clínico debe ser muy creativo sobre cómo mantener la fuerza biológica apropiada durante todas las fases del tratamiento.

Los Ortodoncistas muestran actualmente interés en las diferencias cualitativas de las diferentes mecánicas expansivas que ofrezcan a los pacientes la posibilidad de obviar el uso de distalizadores, expansores y extracciones innecesarias. El sistema de bracket que haga esto posible podrá ser el mas recomendado y usado con fuerzas ligeras

Estoy presenciando el tratamiento más breve en la mayoría de mis brackets Damon con menos malestar a mis pacientes.. Estos cambios que estoy viendo son más que ninguna razones para preguntarme sobre mis sistemas de fuerza anteriores.


BIBLIOGRAFÍA
  1. Tweed, C.H., The Frankfort mandibular incisor angle (FMIA) in orthodontic diagnosis, treatment planning and prognosis. Angle Orthod, 1954. 24: p. 121-169.

  2. Begg, R., Begg orthodontic theory and technique. 3rd ed. 1977, Philadelphia: W.B. Saunders Co.

  3. Holdaway, R.H., op. cit., A soft tissue cephalometric analysis and its use in orthodontic treatment planning, Part II. Am. J. Orthod., 1984. 85(4): p. 279-293.

  4. Holdaway, R.H., A soft tissue cephalometric analysis and its use in orthodontic treatment planning, Part I. Am. J. Orthod., 1983. 84(1): p. 1-28.

  5. Alvarez, A., The A Line: A New Guide for Diagnosis and Treatment Planning. J. Clin. Orthod, 2001. 35(9): p. 556-569.

  6. Creekmore, T.M., Where teeth belong and how to get them there, J. Clin. Orthod, 1997. 30(9): p. 586-608.

  7. Sarver, D.M., Profitt, W.R., Special Considerations in Diagnosis and Treatment Planning. 4th ed. Orthodontics - Current Principles and Techniques, ed. Tom Graber. 2005, St. Louis, MO: Elsevier Mosby. 1213.

  8. Renfroe, E.W., Technique Training in Orthodontics. 1st ed. 1960, Ann Arbor, MI: Edwards Brothers Inc. 230.

  9. Angle, E.H., The latest and best in orthodontic mechanism. Dental Cosmos, 1929. 71: p. 164-174, 260-270, 409-421.

  10. Holdaway, R.A., Bracket angulation as applied to the edgewise appliance. Angle Orthod, 1952. 22: p. 227-236.

  11. Lee, I.F.

  12. Andrews, L.F., Straight Wire, the Concept and Appliance. 1989, San Diego, CA: L.A. Wells Company.

  13. Andreiko, C., JCO interviews Craig Andreiko, DDS, MS, on the Elan and Orthos Systems. J. Clin. Orthod, 1994. 28(August): p. 459-472.

  14. Sachdeva, R., SureSmile technology in a patient-centered orthodontic practice. J. Clin. Orthod., 2001. 35(April): p. 245-253.

  15. Melsen, B.F., Giorgio, Biomechanics in Orthodontics, Libra Ortodonzia.

  16. Creekmore, T.C., R., Straight Wire: The Next Generation. Am J.Orthod & Dentofacial Orthop, 1983. 104(July): p. 8-20.

  17. Dellinger, E.L., A scientific assessment of the straight-wire appliance. Am J Orthod, 1978. 73: p. 290-299.

  18. McGann, B.D., Individual patient (IP) appliances. World J. Orthod, 2005. 6(2): p. 189-192.

  19. Frankel, R., The Frankel Appliance (The Function Corrector(Removable Orthodontic Appliances, ed. T.G. Neumann. 1977, Philadelphia, Pa: W. B. Saunders Company.

  20. Brader, Dental arch form related with intraoral forces: PR=C. Am. J. Orthod., 1972. 61(June): p. 541-561.

  21. Williams, M.O., White, L.W., A Rationale for Expansion. World J. Orthod, Pending Publication.

  22. Damon, D.H., Treatment of the face with biocompatible orthodontics. 4th ed. Orthodontics - Current Principles and Techniques, ed. Tom Graber. 2005, St. Louis, MO: Elsevier Mosby. 1213.

  23. Reitan, K., Tissue behavior during orthodontic tooth movement. Am J Orthod, 1960. 46: p. 881-900.

  24. Rygh, P., Elimination of hyalinized periodontal tissues associated with orthodontic tooth movement. Scand J Dent Res, 1973. 81: p. 467-480.

  25. Schwartz, A.M., Tissue changes incidental to orthodontic tooth movement. Int J Orthod Oral Surg Radiography, 1932. 18: p. 331.

  26. Wildman, A.J., Lee, I.F., Hice, T.L., Lang, H.M., Strauch, E.C. Jr., The Edgelok Bracket. J Clin Orthod, 1972. 6(11): p. 613-633.

  27. Hanson, H., Dr. G. Herbert Hanson on the Speed Bracket. J. Clin. Orthod., 1986. 20(3): p. 183-189.

  28. Mollenhauer, B., Ultralight forces for simultaneous orthodontics and orthopedics: part III. dentofacial orthopedics. World J. Orthod, 2000. 1: p. 195-201.

  29. Proffit and Fields, Contemporary Orthodontics, Second edition, Mosby 1993