Indicación de extracciones en Apiñamiento severo maxilar y moderado mandibular. Reporte de Caso Clínico

  • Martha Lucia Mejía residente de segundo año de maestría en Ortodoncia y Ortopedia maxilofacial del Centro de Estudios Superiores de Ortodoncia CESO.

  • Dra. Beatriz Gurrola Martínez profesor asesor de tesis en el CESO y profesor de tiempo completo en la Facultad de Estudios Superiores Zaragoza.

  • Dr Adan Casasa Araujo. Profesor de clínica y director del CESO.
Para efectos de referencia bibliográfica este trabajo debe ser citado de la siguiente manera:
Mejia,M., Gurrola, B., Casasa, A.
" Indicación de extracciones en apiñamiento severo maxilar y moderado mandibular. Reporte de caso clínico."
Revista Latinoamericana de Ortodoncia y Odontopediatria "Ortodoncia.ws" edición electrónica julio 2010. Obtenible en: www.ortodoncia.ws. Consultada,…/…/…


Resumen
En este artículo se presenta un caso de apiñamiento severo maxilar y moderado mandibular, el cual fue tratado con extracciones de los primeros premolares superiores y de un incisivo inferior. Se observa una paciente simétrica, con un perfil convexo con una clase II molar bilateral y clase II canina bilateral, tiene mordida cruzada el 12, 22, 24. Overjet y overbite disminuido. En casos con apiñamiento de moderado a severo, se consideran las extracciones como un plan de tratamiento, el dilema es que dientes extraer. Es el momento en que se debe hacer el análisis detallado de los modelos de estudios y cuantificar la cantidad de espacio requerido, se realizo un análisis de Bolton y un setup en cera para conseguir la alineación adecuada. Se utilizo el resorte abierto para mesializar el sector postero superior y el uso de elásticos de clase III. Obteniendo resultados satisfactorios, tanto funcional como estético, dándole una sonrisa y apariencia agradable a la paciente.

Palabras claves: Extracciones de primeros premolares superiores, extracción de incisivo inferior. Apiñamiento severo.


Abstract
This article presents a case of mandibular crowding moderate and maxilar severe crowding, which was treated with extraction of first upper premolars and lower incisor. A symmetrical patient is observed, with a convex profile with a class II to molar bilateral and bilateral canine class II, has wasted crossed the 12, 22, 24. Overjet and overbite diminished. In cases with packing of moderate to severe, the extractions like a treatment plan are considered, the dilemma is that teeth to extract. It is the moment at which the analysis is due to do detailed of the models of studies and to quantify the amount of required space, made an analysis of Bolton and setup in wax to obtain the suitable alignment. use of opened means to mesializar the superior postero sector and the use of elastics of class III. Obtaining satisfactory results, functional as much aesthetic, giving him to a smile and pleasant appearance to the patient.

Key Words: severe crowding, first premolar extractions, incisor extraction.


Introducción
La extracción de incisivos mandibulares es la terapia más apropiada para ciertos tipos de maloclusión que para otros, realizar la selección adecuada es importante, es especialmente adecuado para los pacientes con Clase I y leves maloclusiones de Clase III con tendencia leve a mordida abierta. Faerovig y Zachrisson reportaron que en los pacientes de Clase III leves que se sometieron a extracciones de incisivos mandibulares, los incisivos inferiores fueron lingualizados alrededor de 5º y 2 mm en el borde incisal, el ancho intercanino se redujo un promedio de 3 mm y la distancia intermolar no cambio, en la dimensión vertical, los incisivos inferiores no solo se movieron lingualmente sino oclusalmente. Tal movimiento extrusivo claramente podría ser favorable para un paciente de Clase III leve y con mordida abierta anterior, la extracción del incisivo mandibular también puede ser considerada cuando el paciente presenta ausencia congénita del incisivo lateral maxilar y cuando existe un apiñamiento mandibular anterior considerable. La discrepancia de Bolton creada por la ausencia de los incisivos mandibulares puede normalizarse reduciendo el ancho mesiodistal del espacio para los implantes. Para mantener suficiente espacio para colocar los implantes este ancho no debe reducirse menos de 6 mm.(1,2). La extracción del incisivo lateral es generalmente preferida por que es menos notoria de frente, pero el incisivo que está más fuera del arco natural y más cercano al apiñamiento es usualmente el mejor candidato para extracción.(1) Los triángulos negros no solo son comunes después de la terapia de extracción del incisivo mandibular, sino que suelen aparecer en 40% de los adultos, después de cualquier tratamiento ortodontico. Esto puede ser una consideración importante, especialmente en pacientes mayores, ya que el desplazamiento del incisivo mandibular se incrementa con la edad. Los pacientes adultos deben ser informados del potencial de estos efectos secundarios. La formación de los triángulos negros ha sido atribuido a muchos factores, incluida la perdida de hueso por motivos periodontales, mayor contacto interproximal incisal, incisivos triangulares y diferentes angulaciones de las raices. Tarnow encontro que si la distancia desde la cresta del hueso alveolar al contacto interproximal excede 5 mm, un triangulo negro podría aparecer en un 98%. Faerovig y Zachris reportaron no haber tenido casos de formación de triángulos negros en pacientes sometidos a extracciones de incisivos mandibulares, ellos atribuyeron el éxito a una selección cuidadosa de pacientes con ligero apiñamiento previo al tratamiento, reducción del esmalte mesiodistal cuando sea necesario y poniendo énfasis en la optima creación de inclinación axial de los incisivos inferiores.(1,2). El análisis de Bolton es un elemento de diagnostico que hay que tener en cuenta sobre todo si se quiere cuantificar si el problema es una discrepancia de tamaño de los dientes superiores o de los incisivos (masa dental).(3,4)

Cuando se van a alinear los dientes de una arcada dental para corregir un apiñamiento, es necesario verificar que exista espacio suficiente en el arco, realizar las mediciones necesarios y determinar el incisivo a extraer y provocar con estos, una posición optima de los dientes la cual nos brinda la función requerida, estabilidad y estética para el paciente.(5) Es así como se ha adoptado la extracción de un incisivo inferior, como una de las alternativas del tratamiento ortodontico que ofrece grandes ventajas como en limitación de recidiva como estabilidad y estética para el paciente (5,6,7). Los bicúspides son, con mucha diferencia, las piezas que con más frecuencia se extraen en ortodoncia, por ser unidades intermedias entre los dientes anteriores y los segmentos bucales. Puesto que los incisivos cumplen una importante función estética y los molares, por su volumen y potencial masticatorio, deben respetarse, los bicúspides son las piezas siempre candidatas cuando la maloclusión debe ser tratada con extracciones (8,9). Un pequeño número de casos se pueden tratar con la extracción de dos premolares superiores para finalizar en una relación molar de clase II.(10)

Reporte del caso clínico.
Paciente de sexo femenino de 17 años de edad, que se presenta a la consulta refiriendo como motivo de consulta es que quiere que le arreglen los dientes chuecos.

Fotografías extraorales En sus estudios de inicio figuras 1, 2 se observa una paciente simétrica, con un perfil convexo, mostrando poco sus dientes en la fotografía de frente sonrisa.fig.,3.

Fig 1
Fotografía frente
Fig 2
Fotografía de perfil
Fig 3
Fotografía sonrisa

Estudios radiográficos
Radiografía lateral fig.4 de cráneo se clasifica como clase II Esqueletal, normodivergente, con los incisivos superiores están retroclinados y los incisivos inferiores se encuentran ligeramente proclinados. En la radiografía panorámica contamos 32 dientes presentes, con un inadecuado paralelismo radicular, sin lesiones aparentes en sus estructuras de soporte. Fig 5

Fig. 4
Rx lateral de cráneo inicial
Fig. 5
Rx panorámica de inicio

En la fotografías intraorales observamos una clase II molar bilateral y clase II canina bilateral, apiñamiento severo superior y moderado inferior. Presenta mordida cruzada el 12, 22, están señalados en el circulo azul 24 . Overjet y overbite disminuido. Fig 6-7.

Fig 6
Fotografía lateral derecha inicial

Fig. 7
Fotografía lateral izquierda inicial

Se observa en las fotografías oclusales superiores e inferiores la forma de arco oval, presentando apiñamiento. En el arco superior los incisivos laterales se encuentran palatinizados los cuales están dentro del círculo azul y el canino izquierdo 23 fuera del arco. En el arco mandibular se observa el incisivo central 41 señalado en un cuadrado fuera del arco.

Fig 8
Fotografía oclusal superior inicio

Fig 9
Fotografía oclusal inferior inicio

El plan de tratamiento para esta paciente, fue realizar extracciones de primeros premolares superiores y la extracción del incisivo central inferior izquierdo, comenzar con la alineación, mediante alambres de niti de calibres de 14, 16, 20. Y la nivelación con alambres de acero, además se uso un arco adelantado superior, para conseguir la alineación adecuada. Se enfatizo en la utilización de resorte abierto para mesializar el sector postero superior Y el uso de elásticos de clase III. Para conseguir el cierre adecuado del espacio del incisivo inferior, se hizo mediante cadenas elásticas.

Estudios de progreso
Fotografias extraorales, fotografías de progreso la paciente continua siendo simétrica, con el perfil convexo, en la fotografía de frente, apreciamos mejoría en la estética de su expresión. Figuras (10,11,12).

Fig. 10
Frente progreso
Fig. 11
Perfil de progreso
Fig. 12
Sonrisa progreso

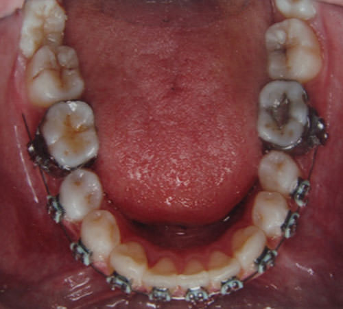
Fotografías intraorales Se observa el cambio de la forma de arcos, presentando los espacios en los sitios de extracción de los premolares superiores y un adecuado cierre de espacios en la zona anteroinferior. Fig 13, oclusal superior , fig. 14 oclusal inferior. Fig. 15 intraoral de frente fig. 16 lateral izquierda de progreso. Cabe señalar que se le indico a la paciente acudir al odontólogo para la obturación de las piezas cariadas

Fig. 13
Oclusal superior de progreso

Fig. 14
Olcusal inferior de progreso

Fig 15
Intraorales de frente de progreso

Fig 16
Fotografía lateral izquierda de progreso

Para el progreso de tratamiento ya se ha conseguido una alineación adecuada, como producto de las extracciones realizadas en el arco superior, encontramos ligeros espacios entre los premolares y los primeros molares superiores. Ya que en esta etapa del tratamiento se estaba consiguiendo la relación de clase II molar funcional. Además la línea media ya se encuentra en el sitio ideal, por la extracción del incisivo inferior, esta deberá coincidir con el centro de la corona del incisivo central existente. Para compensar la discrepancia de Bolton que existía por las diferentes extracciones realizadas, se decidió el suavizado interproximal en el maxilar superior y obtener un adecuado overjet.

Para el detallado del caso, se usaron alambre de acero 0.17x0.25 superior e inferior, y se usaron dobleces de primer, segundo y tercer orden. En la radiografía panorámica de progreso, encontramos los 29 dientes presentes y todavía inadecuado paralelismo radicular, fig. 17.

Fig. 17
Radiografías panorámica de progreso

Estudios finales. Observamos una paciente simétrica con una perfil convexo, con una sonrisa y un perfil agradable, en las fotografias extraorales finales Figuras. 18,19,20.

Fig 18
Final de frente
Fig.19
Fotografías de sonrisa
Fig 20
Fotografía de perfil

Para el análisis intraoral, presenta clase II molar bilateral, clase I canina bilateral, líneas medias coincidentes. Adecuada alineación y nivelación, adecuado overjet y overbite, forma de arcos ovales. Figuras 21, 22, 23 fotografias intarorales de frente , las oclusales superior e inferior.

Fig 21
Fotografías de frente

Fig 22
Fotografía oclusal superior

Fig 23
Oclusal inferior final

Para su retención removible, se confeccionaron retenedores hawley con cinturón vestibular superior e inferior. Fig. 24.

Fig 24
Fotografía de frente con retenedores Hawley con cinturón vestibular

Al estudio cefalometrico, la paciente se clasifica como clase II esqueletal, normodivergnte, los incisivos superiores terminan en buena posición en su base osea, siedo el incisivo superior a palatino en 115º y el incisivo inferior al plano mandibular en 92º. fig 25.

Fig 25
Radiografías lateral de cráneo

En la radiografía panorámica, se aprecia, casi un adecuado paralelismo radicular, de los dientes presentes, sin embargo por el mal patrón eruptivo que presentan los molares inferiores, se indico la necesidad de extraer los terceros molares superiores e inferiores. La paciente se remitió al cirujano, para realizar esas extracciones. Fig 26.

Fig. 26
Radiografía panorámica final


Discusión
Para diagnosticar este caso coincidimos con autores como: Ravindra, Faerovig quienes mencionan la necesidad de realizar una medición del ancho mesio distal de las piezas dentales en los modelos de estudio, tanto de la arcada superior como la inferior, excepto segundo y terceros molares para determinar si el problema es en la parte anterior posterior superior o inferior al igual es indispensable por lo tanto, el contar con modelos de estudio que nos permitan la realización de una adecuada medición (1,2). Por otro lado si se extraen dientes para hacer camuflaje ortodóncico en una maloclusión de clase III en un paciente que ya no crece. Mahony prefiere sacar un incisivo inferior antes que la extracción de primeros premolares inferiores.(8) Los incisivos inferiores no son tampoco piezas seleccionables para corregir el apiñamiento o la protrusión incisal. Pero se recurre a la extracción en: primero en casos con discrepancia de Bolton en que lo incisivos superiores son pequeños en relación al diámetro mesiodistal de los incisivos inferiores se extrae un incisivo central inferior para compensar que los incisivos laterales superiores son, proporcionalmente, estrechos. Segundo cuando hay agenesia de incisivos laterales superiores con apiñamiento anterior mandibular, en que se decide cerrar los espacios superiores y alinear la arcada inferior. (9) Dentro de los bicúspides, los primeros, y no los segundos premolares, son los elegidos por estar más cerca de la zona anterior donde se localiza a menudo el apiñamiento o la protrusión; la morfología y el tamaño de la corona de los primeros bicúspides guarda más simetría que la de los segundos, lo que facilita el ajuste oclusal al terminar el tratamiento.(9)

Conclusiones
Cuando se realiza un diagnostico adecuado del paciente, podemos decidir la mecanoterapia que nos ayudara a resolver los problemas de la mejor manera obteniendo mejores resultados estéticos y funcionales. En este caso, se realizo un análisis de Bolton inicial y un setup en cera, lo cual determino la realización de las extracciones de premolares superiores y del incisivo inferior. Considéranos que fue la mejor decisión para conseguir y garantizar la estabilidad del tratamiento a largo plazo.

Bibliografía
  1. Ravindra Nanda. Biomecánica y estética en ortodoncia. AMOLCA. Edición 1. Año 2007.

  2. Faerovig E, Zachrisson BU. Effects of mandibular incisor extraction on anterior occlusion in adults with Class III malocclusion and reduced overbite.Am J Orthod Dentofacial Orthop. 1999 Feb;115(2):Abstract, 113-124.

  3. Little RM, Riedel RA. Postretention, evaluation of stability and relapse mandibular arches with generalized spacing. AJODO 1989; 95:37-41.

  4. Sheridan JJ, Hastings J. Air-rotor stripping and lower incisor extraction treatment. JCO 1992; 18-22.

  5. Gavin. J Lenz, Michael G. Incisal changes and orthodontics stability. Journal angle orthodontics 1999; 69 (5) .

  6. Bishara SE, Jacobson JR, Treder Je, Stassi MJ. Chances in the maxillary and the mandibular thooth size arch length relationship from early adolescence to early adult-hood. AJODO 1989; 95: 46-59

  7. Valinoti JR. mandibular incisor extraction therapy. AJODO 1994; 107-116.

  8. Mahony Dereck Ortodoncia Clínica 2001;4(1):10-15. Australia

  9. Canut, J.A Ortodoncia Clínica. editorial Salvat, España 1991.

  10. Mclaughlin. Bennett. Trevisi. Mecánica sistematizada de tratamiento ortodoncico. Editorial MOSBY. España 2002. Pag. 173.