Caso clínico

Ortodoncia después de los 40 años, caso clínico

Liza Vanessa Gallo1; Dra. Beatriz Gurrola Martínez2; Dr. Adán Casasa Araujo3

Resumen

Se describe un caso clínico de una paciente de 40 años y 4 meses quien es clase I esquelética, normodivergente, clase I molar bilateral, clase I bilateral, con apiñamiento dental leve antero inferior, apiñamiento leve anterosuperior, con el overbite disminuido. La línea media dental superior coincidente con la facial y la inferior respecto a la superior desviada 1mm hacia lado derecho. El plan de tratamiento consistió, en exodoncias de 4 premolares superiores e inferiores, alineación nivelación, cierre de espacio, detallado, retención. La retención se llevó a cabo por medio de retenedores Hawley superior e inferior con fijo de 3 a 3 inferior.Tiempo activo de tratamiento 2 años y 9 meses. Resultado optimo funcional y estético.

Palabras clave: ortodoncia en el adulto y manejo del paciente adulto.


Case Report

Abstract

A clinical case of a patient aged 40 years and 4 months who is skeletal class I, normodivergent, bilateral class I molar, class II right canine and left class II, with antero inferior inferior clitoral crowding, anterosuperior light crowding, is described. Overbite decreased. The upper dental midline coinciding with the facial and the upper and lower to the right side deviated 1mm to the right side. The treatment plan consisted of 4 upper and lower premolar exostoses, alignment leveling, closure of space, detailed, retention. Retention was carried out by means of Hawley upper and lower, retainers with fixed from 5 to 5. Active treatment time 2 years and 9 months. Optimal result both functional and aesthetic.

Key words: adult orthodontics and adult patient management.


  1. Residente de segundo año de la maestría Ortodoncia y Ortopedia Maxilofacial en el Centro de Estudios Superiores de Ortodoncia (CESO).

  2. Profesor del CESO y profesor de carrera de tiempo completo Titular “C” en la carrera de Cirujano Dentista de la Facultad de Estudios Superiores Zaragoza UNAM.

  3. Director del CESO.

Introducción

Son cada vez más los pacientes adultos que presentar gran interés por su salud y estética facial, esto ha llevado en aumento los tratamientos bucales sobre todo en pacientes adultos, el objetivo es devolver al paciente la función estética y masticatoria, a fin de mejorar su perfil facial y autoestima. El hecho de incorporase al campo laboral hace que algunas personas estén expuestas a mayores exigencias en la presentación personal y por lo tanto la sonrisa pasa a ser un factor importante. Esta presión a la cual se sienten sometidos, hace que muchos de ellos creen expectativas muy altas y poco realistas del resultado a obtener, razón por la cual el profesional tendrá cuidado en explicar claramente las limitaciones del resultado y planificar un tratamiento con objetivos alcanzables. La ortodoncia debe también proveer al paciente adulto de técnicas de tratamiento que no afecten su estética 1,2,3 El paciente adulto toma por sí mismo la decisión de corregir su problema por mejorar su aspecto o su salud bucal. La mecánica de ortodoncia en el paciente adulto es diferente al es portador de tratamientos previos tales como restauraciones, tratamientos periodontales, endodóncicos, extracciones previas. Por esto la ortodoncia en adultos debe ser tratada multidisciplinariamente por varios especialistas, normalmente se comienza por tratar las caries, tratamientos de conductos y tratamiento periodontal, si solo se presenta una maloclusión se puede comenzar el tratamiento de ortodoncia 3 pero cuando hay perdidas dentales es necesario colocar injerto óseo para recuperar hueso perdido y poder colocar implantes dentales cuando existe enfermedad periodontal es necesaria la interconsulta con un periodoncista para tratar la enfermedad. 4,5

Es importante que el odontólogo sepa diagnosticar correctamente un problema periodontal en sus fases iniciales y no dejar que evolucione, a cambios en las que se ve a simple vista y que tendra efectos irreversibles. Los ortodoncistas, como profesionales expertos, también deben seguir estas pautas. Después de hacer esta evaluación mediante sondaje, radiografías, modelos de estudio y fotografías, se determinará si necesita o no tratamiento periodontal. En caso de necesitarse, siempre debe hacerse antes que el ortodóntico ya que de lo contrario se agravaría el problema periodontal. Nunca se debe mover un diente con enfermedad periodontal sin antes tratarlo. Es importante subrayar que más que la profundidad de la bolsa o la pérdida de hueso, debemos fijarnos en el sangrado pues es el signo que más evidencia la actividad de la lesión. 6 El tratamiento de ortodoncia tendrá por objetivo cambiar la inclinación de las piezas dentarias, ya sea para dar los espacios necesarios para una adecuada rehabilitación (implante, corona, puente, entre otros), mejorar el eje de aplicación de las fuerzas para detener el deterioro periodontal, alinear para permitir un buen acceso a la limpieza con lo cual se evitan las caries y previenen o detienen la enfermedad periodontal. La respuesta a las fuerzas ortodóncicas en el adulto pueden ser algo más lentas que en un niño, pero pueden conseguirse movimientos dentales similares a cualquier edad.7,8,9,10 De los 40 años en adelante, las razones son más variadas: estética, coadyuvante a otros tratamientos dentales, problemas periodontales, etc. Estos pacientes son los que presentan las situaciones más complejas a solucionar y que, normalmente deben ser abordados por un equipo multidisciplinario de especialistas, que generalmente incluyen al ortodoncista, de periodoncia y rehabilitador 11,12 Consideraciones biomecánicas: Se ha visto que en los pacientes adultos la respuesta del tejido a las fuerzas ortodóncicas es más lenta que en niños y adolescentes, y que además, en las denticiones periodontalmente comprometidas con pérdida de hueso alveolar, el resultado del movimiento dentario es más de inclinación que de movimiento en cuerpo 13,14 La mecánica en pacientes adultos debe incluir un movimiento logrado con fuerzas ligeras para evitar la sobrecarga del periodonto. La combinación de intrusión ortodóncica y tratamiento periodontal ha demostrado mejorar las condiciones del periodonto comprometido, siempre y cuando se mantenga la higiene y los tejidos saludables 15,16

Reporte de un caso

Se describe un caso clínico de una paciente de 40 años y 4 meses. En los estudios de inicio se observa en la fotografía extraoral de sonrisa aparente simetría facial, línea facial coincidente con la línea media dental superior y mordida abierta anterior figura 1. En la de perfil, es recto con el tercio inferior aumentado figura 2.

Figura 1. Sonrisa
Figura 1. Sonrisa
Figura 2. Extraoral de perfil
Figura 2. Extraoral de perfil

Estudios intraorales

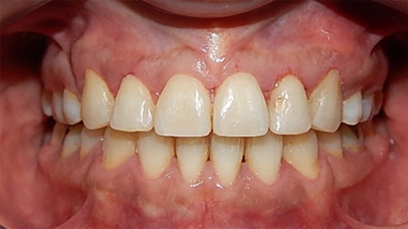
Al análisis intraoral en las fotografías de inicio, nos muestra en la de frente la línea media superior desviada con línea media dentaria inferior hacia lado derecho 1mm, el apiñamiento leve antero superior e antero inferior, figura 3, en lateral derecha la clase I canina y clase I molar, figura 4, en la lateral izquierda la clase II canina y clase I molar, figura 5.

Figura 3. Intraoral de frente de sonrisa
Figura 3. Intraoral de frente de sonrisa
Figura 4. Lateral derecha
Figura 4. Lateral derecha
Figura 5. Izquierdo
Figura 5. Izquierdo

Estudios radiográficos de inicio

En la radiografía lateral de cráneo vemos la clase I esquelética, normodivergente que presenta el paciente, figura 6.

Figura 6. Lateral de cráneo inicio
Figura 6. Lateral de cráneo inicio

En la radiografía panorámica se ven los 32 dientes permanentes, figura 7

Figura 7. Radiografía panorámica
Figura 7. Radiografía panorámica

Estudios de progreso

En la fotografía extraoral de sonrisa se observa mejoría en la apariencia facial, con la corrección de la mordida abierta anterior corrigiendo la estética del paciente, figura 8 y. El tratamiento que se realizo con extracción de 4 superiores y 4 inferiores figura 9.

Figura 8. Extraoral de frente
Figura 8. Extraoral de frente
Figura 9. Intraoral de frente
Figura 9. Intraoral de frente

En la lateral de cráneo sin cambios en la clase I esquelética y normodivergencia, figura 10.

Figura 10. Lateral de cráneo
Figura 10. Lateral de cráneo

Estudios Finales

En los estudios finales nos muestran, en las fotografías extraorales: en la de frente la sonrisa aparente simetría facial, la coincidencia en las líneas facial la línea media dental superior se corrigió la mordida abierta mejor aspecto estético y salud periodontal figura 11. En la de perfil, es recto, con los tercios faciales en proporción, lo cual mejoro la estética facial del paciente, figura 12

Figura 11. Frente sonrisa
Figura 11. Frente sonrisa
Figura 12. Perfil
Figura 12. Perfil

En los estudios finales tenemos en las fotografías intraorales en la de frente, se ve la coincidencia de la línea media dental superior con la inferior y la corrección de la mordida abierta, figura 13. En la intraoral lateral derecha e izquierda la clase I canina bilateral y clase I molar bilateral, figuras 14 y 15.

Figura 13. Frente
Figura 13. Frente
Figura 14. Derecha
Figura 14. Derecha
Figura 15. Izquierda
Figura 15. Izquierda

Fotografías intraoral oclusales superior e inferior vemos la forma de arco oval, corrección del apiñamiento leve antero superior y antero inferior, figuras 16 y 17.

Figura 16. Intraoral oclusal superior
Figura 16. Intraoral oclusal superior
Figura 17. Oclusal inferior
Figura 17. Oclusal inferior

En la radiografía panorámica se observan los 28 dientes permanentes presentes, con extracción de los 4 premolares superiores e inferiores extraídos durante el tratamiento, fig 18.

Figura 18. Radiografía panorámica
Figura 18. Radiografía panorámica

Resultados

El tratamiento del paciente termina al cabo de 2 años y 9 meses, con clase I canina bilateral y clase I molar bilateral. En nuestra experiencia, las siguientes consideraciones son importantes: Esta etapa post tratamiento ortodóntico activo es de medular en el paciente adulto, ya que juega un rol fundamental en la estabilidad del resultado obtenido, y que es uno de los desafíos en ortodoncia. En pacientes con periodonto comprometido, se recomienda mantener la contención indefinidamente, la que puede consistir en pequeños alambres fijos en la parte lingual de las piezas dentarias. Se llevó a cabo por medio de retenedores Hawley superior e inferior, y un fijo de canino a canino en inferior, figuras 19 20 y 21.

Figura 19. Intraoral con los retenedores
Figura 19. Intraoral con los retenedores
Figura 20a. Vista superior
Figura 20a. Vista superior
Figura 20b. Vista inferior
Figura 20b. Vista inferior
Figura 22. Fijo de 33 a 43
Figura 22. Fijo de 33 a 43

Discusión

El tratamiento con aparatos de ortodoncia podría tener efectos colaterales, sobre todo en el paciente adulto . Entre ellos, se pueden presentar manchas y/o caries, ruidos, dolor o molestias en la articulación témporomandibular, relacionados a deteriores por la edad la aparición o avance de recesiones gingivales, En relación a las reabsorciones radiculares, se ha visto que a medida que avanzan los años hay un cambio en la estructura y en el metabolismo óseo, sobre todo en la etapa de la menopausia en la mujer y andropausia en el hombre, que podría llevar a una mayor predisposición a las reabsorciones radiculares durante el tratamiento. Es conveniente realizar controles radiográficos cada 4 a 6 meses, sobre todo en los incisivos superiores e inferiores, por tratarse de las piezas que estadísticamente son las más predispuestas. Factores de riesgo como la predisposición individual, la morfología de las raíces y la fuerza aplicada por unidad de superficie son puntos clave en la etiopatogenia de estas lesiones. 17 En cuanto a las recesiones gingivales, que se definen como la exposición de la superficie radicular del diente producto de la migración hacia apical de la encía; se ha visto que su prevalencia y severidad aumenta con la edad y la región de los incisivos inferiores es la zona más afectada18

Conclusiones

No existen límites de edad para realizar tratamientos de ortodoncia en adultos. Pero cabe señalar que estos pacientes presentan situaciones de mayor complejidad, lo que hace necesario que sea evaluado por un equipo multidisciplinario para poder ser tratado. Los adultos son menos tolerantes a las molestias y suelen quejarse, más de dolor después de los ajustes de cada control y de las dificultades para hablar y comer. Esto implica que el profesional tratante debe tener la capacidad y experiencia para solucionar dichas situaciones.

Referencias bibliográficas

  1. Birte M. Adult1. orthodontic. Editorial Blackwell Pub Professional. First edition. 2012: 1-4, 54-63, 339. 

  2. English J, Peltomaki T. Mosby orthodontic. First edition Editorial Elsevier Health Sciences. USA. 2008:22,96. 

  3. Hidalgo E, Vargas M, Cabrera D. Ortodoncia en adultos.Rev Med Clin Condes. 2013; 24(6): 1044-51.
  4. Zachrisson BU. Implicaciones clínicas de las últimas investigaciones en ortodoncia-periodoncia. Semin Orthod 1996;2:4-12
  5. Yamaguchi K, Nanda RS, Kawata T. Effect of orthodontic forces on blood flow in human gingiva. Angle Orthodont 1991;61:193-203
  6. Zachrisson BU. Implicaciones clínicas de las últimas investigaciones en ortodoncia-periodoncia. Semin Orthod 1996;2:4-12.
  7. Kokich V., Ortodoncia en adultos en el siglo XXI: Lineamientos para alcanzar resultados exitoso, AAO vol XLVI, núm 1.
  8. Harfin J. Tratamiento Ortodoncia en el Adulto, 2ª edición. Buenos Aires, Ed Panamericana, 2006.
  9. Roth R., William R. Ortodoncia en el paciente adulto: Ortodoncia clínica y mecánica de tratamiento, Cursos de Educación continuada FACE y en el Roth William Center for Functional Occlusion, Burlingame, California. Osteoplac, 1996; pp 1400-1420.
  10. Cázares E., González R. Tratamiento de ortodoncia en el paciente adulto periodontalmente comprometido. Rev Odon Mex, 2010; 14 (3): 177-184
  11. Kokich V., Ortodoncia en adultos en el siglo XXI: Lineamientos para alcanzar resultados exitoso, AAO vol XLVI, núm 1.
  12. Harfin J. Tratamiento Ortodoncia en el Adulto, 20062ª edición. Buenos Aires, Ed Panamericana.
  13. Graber TM, Swain BF. Current orthdontics concepts and techniques C. V. Mosby; 1985: 101-92. 10.
  14. Williams S., Melsen B., Agerbaek N., Asboe V. The Orthodontic treatment of malocclusion in patients with previous periodontal disease. Br J Orthodod 1982; 9:178-84.
  15. Melsen B. Tissue reaction following application of extrusive and intrusive forces to teeth in adults monkeys. Am J Orthod 1986; 89: 469-75.
  16. Melsen B., Agerbaek N., Markenstam G. Intrusion of incisors in adult patient with marginal bone loss. Am J Orthod Dentofacial Orthop 1989; 96:232-41.
  17. Weiland F. Fuerzas de Ortodoncia y Reabsorciones radiculares: una revisión, Rev Esp Ortod 2010; 40: 69-74.
  18. Melsen B. Factors of importance for the development of dehiscences during labial movement of mandibular incisors: a retrospective study of adult orthodontic patients, Am J Orthod Dentofacial Orthop, 2005; 127: 552-61