Caso Clínico

Mordida cruzada anterior y posterior tratamiento ortodóncico-ortopédico con expansor Hyrax

Bryant Omar Liriano Martínez1; Beatriz Gurrola Martínez2; Adán Casasa Araujo3

Resumen

Se presenta una paciente de 14 años 8 mes de edad. En la valoración clínica y radiográfica se diagnosticó como: Clase III esquelética, hiperdivergente, maloclusión clase III molar bilateral, clase II canina bilateral, mordida cruzada anterior y posterior bilateral, colapso maxilar, caninos ectópicos, apiñamiento severo superior y leve en inferior, incisivos laterales palatinizados, overbite disminuido. El tratamiento consistió en fase ortopédica que consistió en la corrección de la mordida cruzada anterior y posterior mediante la expansión con Hyrax. Luego se continuó con fase ortodoncica para la corrección del apiñamiento maxilar y mandibular con fase de alineación y nivelación, obtención de la clase I molar y canina bilateral a través del uso de elásticos intramaxilares e intermaxilares. La aparatología utilizada brackets prescripción Roth .022 x .028, tubos bondeables en 6’s y 7`s superiores e inferiores. La retención a cargo de circunferencial modificado superior e inferior y retención fija, tiempo de tratamiento activo 1 años 10 meses

Palabras clave: Clase III esquelética, diente ectópico, colapso maxilar, mordida cruzada.


Case Report

Orthopedic-orthopedic treatment of anterior and posterior cross bite using Hyrax expander

Abstract

Female patient of 14 years 8 months of age. Clinical and radiographic evaluation was: Class III skeletal, hyperdivergent, bilateral molar class III, bilateral canine class II, bilateral anterior and posterior crossbite, maxillary collapse, ectopic canines, severe upper and slight crowding in inferior, lateral palatal incisors , decreased overbite. The treatment consisted of orthopedic phase that consisted of the correction of the anterior and posterior crossbite by the expansion with Hyrax. Then the orthodontic phase was continued for the correction of maxillary and mandibular crowding with alignment and leveling phase, obtaining the molar class I and bilateral canine through the use of intramaxillary and intermaxillary elastics. The apparatus used Braoth prescription prescription Roth .022 x .028, tubes bondeables in 6's and 7's upper and lower. The retention in charge of upper and lower circumferential, time of active treatment 3 years 7 months.

Key words: Class III skeletal, ectopic tooth, maxillary collapse, crossbite.


  1. Residente del segundo año de la maestría en Ortodoncia y Ortopedia Maxilofacial en el Centro de Estudios Superiores de Ortodoncia CESO, México D.F.
  2. Profesor del CESO y profesor de tiempo completo titular "C" en la Carrera de Cirujano Dentista de la Facultad de Estudios Superiores Zaragoza. UNAM.
  3. Director del CESO.

Introducción

Angle clasificó las maloclusiones en 3 categorías, en donde basándose en la posición del primer molar superior como base para el diagnóstico en ortodoncia, las dividió en clase I, II y III. Se definió a la relación molar de clase III cuando “el surco vestibular del primer molar inferior permanente, está por mesial de la cúspide mesiovestibular del primer molar superior permanente1. El término de mordida cruzada se usa para describir la maloclusión anteroposterior en donde los dientes inferiores se encuentran delante de los dientes superiores. La misma puede deberse a un componente dentoalveolar, funcional o esquelético. La mordida cruzada anterior de tipo esquelético se relaciona a discrepancias en el tamaño y posición de ambos maxilares, en pacientes clase III, siendo esta ultima la menos frecuente de las maloclusiones 2,3. La mordida cruzada anterior y la maloclusión clase III de Angle son problemas que se asemejan entre sí en el plano clínico3; pero que presentan fuertes evidencias de influencias raciales y étnicas4. De igual forma, los pacientes clase III presentan una serie de consideraciones etiológicas, como lo es el factor genético y ambiental5, siendo este último el factor de menor predominio ya que a pesar de la actividad funcional alterada, se puede notar un empeoramiento de las relaciones maxilares y mandibulares durante el crecimiento5. La maloclusión clase III y la mordida cruzada anterior, pueden deberse a una anomalía de la base mandibular, en donde esta podría ser mayor en todas las dimensiones (macromandibulismo) o que la base del cuerpo está posicionada anteriormente (anteromandibulismo)6. Se refiere a mordida cruzada posterior, cuando las cúspides vestibulares del segmento posterosuperior se encuentra ocluyendo en las fosas del segmento posteroinferior o se encuentran a las cúspides vestibulares de los dientes inferiores. Esta puede ser uni o bilateral, comprometiendo uno o varios dientes, en dentición decidua, mixta y permanente7. La etiología puede ser debido a factores ambientales, genéticos, hábitos, crecimiento asimétrico maxilar o mandibular, pérdida prematura o retención prolongada 7. La expansión maxilar es una alternativa para el tratamiento de problemas transversales, la cual corrige la contracción del diámetro transversal mayor de 5mm. De preferencia este método se utiliza en pacientes con mordida cruzada bilateral, con uno o más dientes cruzados 8. El más común de todos los expansores es el Tornillo tipo Hyrax, confeccionado en hacer inoxidable9. La expansión del maxilar es considerada pertinente cuando la anchura de arco es menor de 31 mm, en paciente que presentan mordida cruzada posterior, ya sea unilateral o bilateral, logrando una activación del sistema de suturas circunmaxilares para las maloclusiones clase III10. Entre los efectos que provoca esta expansión sobre el maxilar, cabe mencionar que provoca un descenso y adelantamiento maxilar. Garvich y Gregoret recomiendan activar el expansor Hyrax dos veces al dia, lo que sería el equivalente de 0.5mm11. McNamara recomienda realizar la activación del expansor Hyrax una o dos veces por día hasta lograr la expansión deseada. Luego de esta fase, pasar a la fase de contención, durante mínimo 3 meses11. Por su parte, Zimring and Isaacson recomiendan: “en pacientes jóvenes: 2 vueltas diarias los primeros 4 a 5 días, luego 1 vuelta diaria para el resto del tratamiento. En pacientes adultos (etapa estacionaria): debido a una mayor resistencia del esqueleto; 2 vueltas diarias los primeros 2 días, 1 vuelta diaria en los próximos 5 a 7 días, y 1 vuelta cada otro día para el resto del tratamiento. Cada vuelta al tornillo abre el aparato ¼ mm”11. Luego de lograda la expansión deseada, se debe colocar una barra palatina para estabilizar la arcada, mantener la expansión y evitar la recidiva12. Para incluir en la arcada dientes retenidos o que se encuentren de forma ectópica o rotados, una opción es la técnica de doble arco la cual consiste en utilizar un arco principal de acero de mayor calibre con un "by pass" para permitir el paso del canino y mantener los dientes de anclaje, y un arco seccional de nitinol de bajo calibre para desrrotarlo13

Caso Clínico

Se presenta una paciente de 14 años 8 mes, su motivo de consulta “valoración por dientes con mala erupcion”. A su análisis extraoral se observa paciente con ligera asimetría facial, dolicofacial (figura 1); con perfil cóncavo (figura 2).

Figura 1 Frente
Figura 1 Frente
Figura 2 Extraoral de perfil
Figura 2 Extraoral de perfil

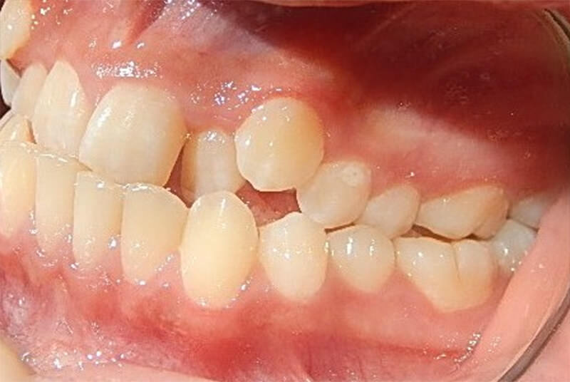
Estudios de inicio fotografías intraorales

En la de frente se muestra, la línea media dental inferior (línea roja) desviada 2mm hacia la derecha con relación a la línea media dental superior (línea negra) (figura 3). En las del lado derecho e izquierdo en oclusión la relación clase III molar y canina II bilateral. La relación de overbite negativo al igual como mordida cruzada posterior bilateral y mordida cruzada anterior (figuras 4 y 5)

Fig. 3 Frente
Fig. 3 Frente
Fig. 4 Derecha
Fig. 4 Derecha
Fig. 5 Intraoral izquierda
Fig. 5 Intraoral izquierda

Estudios radiográficos de inicio

En la radiografía lateral de cráneo, se observa la clase III esquelética del paciente, patrón de crecimiento hiperdivergente, hiperplasia mandibular y proclinación de los incisivos superiores (figura 6).

Fig. 6 Radiografía lateral de cráneo
Fig. 6 Radiografía lateral de cráneo

En la radiografía panorámica tenemos 31 dientes presentes, con terceros molares en formación y con tercer molar superior derecho ausente, caninos superiores con patrón de erupción ectópico (figura 7).

Fig. 7 Radiografía panorámica inicio
Fig. 7 Radiografía panorámica inicio

Diagnóstico

Se realizó análisis de Levandoski en cual señaló la desviación de la línea media superior e inferior hacia la derecha, por lo tanto, no coincide con la línea media facial.
El cóndilo del lado derecho se encuentra a 2 mm más inferior en relación al cóndilo izquierdo. La altura de la rama derecha es más corta que del lado izquierdo por 2 mm.
El cuerpo mandibular derecho es más corto con 2 mm que el izquierdo.


La línea media superior se encuentra desviada 2 mm a la derecha con la línea facial. Condileon-Gonion presenta una altura igual.
La altura condileon-apofisis coronoides presenta 1mm de diferencia mayor del lado izquierdo. El maxilar superior presenta una inclinación normal.
En el ancho de las ramas la derecha siendo 1mm más ancha que la izquierda (figura 8).

Fig. 8 Trazos análisis de Levandoski los cuales nos muestran con líneas de colores, la discrepancia en medidas entre un lado con relación al otro.
Fig. 8 Trazos análisis de Levandoski los cuales nos muestran con líneas de colores, la discrepancia en medidas entre un lado con relación al otro.

El paciente fue diagnosticado con colapso maxilar e hiperplasia mandibular. Los objetivos del tratamiento planteados: la corrección del perfil facial, de la mordida cruzada anterior y posterior, del Overbite, del apiñamiento maxilar y mandibular. Obtener relación clase I molar bilateral, de la Clase I canina bilateral. Mejorar las relaciones esqueléticas, el estado periodontal. Lograr la correcta intercuspidación, guía de desoclusión canina. la guía incisiva. Gingivoplastía de 5-5 superior e inferior exodoncia de los terceros molares 18-38-y 48 restauración con resina del 46 (vestibular), y la colocación de resinas en los bordes incisales de los incisivos: 12 y 22 corrección de línea media dental inferior. Se realizó primero la ameloplastía de borde incisal de: 13, 12, 11, 21, 22, 23, 33, 31, 32, 41, 42 y 43.

Tratamiento

El tratamiento constó de 6 fases: Expansión maxilar, alineación, nivelación, suavizado anteroinferior, detallado y retención. La expansión maxilar se llevó a cabo del aparato de expansión tipo Hyrax modificado con fingers o resortes para vestibularizar los incisivos laterales (figura 9).

Fig. 9 Aparato tipo Hyrax en el maxilar.
Fig. 9 Aparato tipo Hyrax en el maxilar.

Se indicó la activación del tornillo de expansión Hyrax dos cuartos de vueltas (2/4), correspondiendo a un total de 0.5 mm diario, durante un mes, siguiendo el protocolo Garvich y Gregoret. Luego de terminada la expansión, se colocó un aparato de contención maxilar (anclaje) para mantener la expansión lograda y evitar el efecto de recidiva (figura 10).

Fig. 10 Aparato de contención maxilar tipo Arco Transpalatino (ATP)
Fig. 10 Aparato de contención maxilar tipo Arco Transpalatino (ATP)

Después se procedió a la colocación de los brackets prescripción Roth 0.022 x 0.028 en la arcada superior e inferior para iniciar la fase de alineación y nivelación. Se siguió una secuencia de arcos en la arcada superior rectos de nitinol 0.014, 0.016 y 0.018 y la misma secuencia conformados según la forma de arco del paciente para la arcada inferior. Para la obtención de las relaciones molares de clase I de Angle, se utilizaron elásticos intermaxilares con vector de clase III. Para la incorporación de los dos caninos superiores permanentes, los cuales que se encontraban de forma ectópica, se procedió a la apertura del espacio utilizando resorte abierto de nitinol . Una vez obtenido el espacio, con la técnica de doble arco o by pass, y ya con los dos dientes en la arcada. Se utilizo el arco recto, colocando el arco rectangular de nitinol 0.017 x 0.025 superior e inferior y posterior el mismo diámetro de arco en acero. (figura 11, 12 y 13).

Fig. 11 Lateral derecha
Fig. 11 Lateral derecha
Fig. 12  frente en oclusión
Fig. 12 frente en oclusión
Fig. 13 Lateral izquierda
Fig. 13 Lateral izquierda

Para el establecimiento final de la mordida, se realizaron dobleces en el arco de primer, segundo y tercer orden, se utilizaron elásticos en delta de 5/6 de 6.5 onzas y elásticos en caja anterior y en espagueti de 5/6 de 6.5oz. (figura 14)

Fig. 14 Paciente con elásticos en caja anterior y cruzada en posterior
Fig. 14 Paciente con elásticos en caja anterior y cruzada en posterior

Resultados

En las fotografías intraorales finales se puede observar que se cumplieron los objetivos obtener: la relación molar y canina bilateral de Clase I, el overbite y overjet adecuados, la máxima intercuspidación, con las líneas medias coincidentes, corrección el apiñamiento maxilar y mandibular, se mejoró el perfil facial, las relaciones esqueléticas y el estado periodontal. Una correcta intercuspidación, guía incisiva y desoclusión canina. (figuras 15, 16 y 17).

Fig.15 Intraoral lateral derecha
Fig.15 Intraoral lateral derecha
Fig.16  frente oclusión
Fig.16 frente oclusión
Fig.17  lateral izquierda
Fig.17 lateral izquierda

En la tomografía computarizada de haz de cono (Cone Bean), se puede ver en sus diferentes cortes, la expansión lograda de 2.1mm, reflejado en la separación o disyunción de la sutura media palatina (figura 18, 19 y 20).

Fig. 18 Tomografía 3D de frente
Fig. 18 Tomografía 3D de frente
Fig. 19 Tomografía Cone Bean en corte coronal
Fig. 19 Tomografía Cone Bean en corte coronal
Fig. 20 Tomografía Cone Bean en corte axial
Fig. 20 Tomografía Cone Bean en corte axial

Para calcular la expansión lograda, se utilizó el Ortómetro, el cual posee la información de longitudes anteroposterior, y transversal a partir de la suma de los 4 incisivos permanentes14. El análisis del Ortómetro arrojó que hubo un aumento en la anchura del arco superior de 7mm. (figura 21)

Fig. 21 Análisis de Ortómetro en donde se refleja la expansión lograda de 7mm
Fig. 21 Análisis de Ortómetro en donde se refleja la expansión lograda de 7mm

Para la retención del tratamiento se utilizó el circunferencial superior modificado con orificio y tornillo en acrílico y fingers, fijo de 3-3 superior y circunferencial inferior. (figura 22, 23 y 24).

Fig. 22 Retenedor  frente en oclusión
Fig. 22 Retenedor frente en oclusión
Fig.23 Retenedo superior
Fig.23 Retenedo superior
Fig.24  vista inferior  oclusal
Fig.24 vista inferior oclusal

Discusión

La técnica de doble arco o by pass es una estrategia positiva en comparación con la técnica de único arco, ya que, aunque se puede nivelar y alinear el canino, pero es probable que se produzca intrusión e inclinación en los dientes adyacentes utilizados como anclaje 13. Diferentes autores como: Lineberger, McNamara, Baccetti, Herberger y Franchid, coinciden en que la expansión rápida maxilar es efectiva en pacientes en donde presenten las dimensiones verticales aumentadas o hiperdivergente14 .Coincidiendo con los estudios de Basciftci y Karaman, al igual como los estudios de Davis y Kronman, que reportan que el maxilar se movió́ hacia delante y abajo; la mandíbula se dirigió́ hacia atrás por lo que el ANB y el ángulo del plano mandibular aumentó significativamente luego de la expansión15 y 16. Lo anteriormente mencionado, es corroborado por Sangüeza , quien de igual forma menciona que luego de la expansión, el maxilar experimenta un movimiento hacia abajo, provocando un cambio en la posición de los molares inferiores y una rotación hacia abajo y hacia atrás de la mandíbula17.Pérez reporta que el aparato ortopédico más utilizado fue el Hyrax, para realizar disyunción de la sutura media palatina en casos de mordida cruzada, ampliación de piso de fosas nasales y para prevenir tratamientos quirúrgicos18,19,20. En el caso de la paciente del CESO, la técnica de doble arco o by pass se utilizó para conectar el diente con el arco principal y forma una sola unidad de anclaje estabilizadora y rígida. Y la expansión rápida maxilar incremento el ancho intermolar para aliviar la mordida cruzada posterior bilateral, sin efectos adversos en el perfil facial, con lo que se logró, la corrección de las desarmonías en el plano transversal, entre los arcos del maxilar y mandibular. De igual forma logró espacio para la corrección del apiñamiento superior y la incorporación de todos los dientes en la arcada.

Conclusión

La expansión rápida mandibular con el aparato tipo Hyrax presenta múltiples ventajas, tales como que provee facilidad para la higiene del paciente, se obtiene un rango considerable de espacio, aumentando el ancho transversal maxilar y el volumen de la cavidad nasal, respetando los tejidos periodontales y circunmaxilares. Este tipo de expansores logran espacio para el alineamiento de los dientes en casos de apiñamiento leve, ayudan a corregir defectos esqueléticos, minimizan el daño periodontal fruto del cumulo de placa bacteriana y evitan la necesidad de tratamientos quirúrgicos futuros. Se debe de realizar un diagnostico adecuada para poder efectuar el tratamiento en el momento adecuado, así intersectar el problema y que no se instaure una deformidad definitiva.

Referencias Bibliográficas

  1. Millán M, Katagiri M, Elorza H. Casuística de maloclusiones Clase I, Clase II y Clase III según Angle en el Departamento de Ortodoncia de la UNAM. Revista odontológica mexicana. 2007; 11(4), 175-180. [consulta 18 de diciembre 2017] [Revista en internet] Disponible en: http://www.medigraphic.com/pdfs/odon/uo-2007/uo074c.pdf
  2. Hernández J & Padilla M. Tratamiento temprano de la mordida cruzada anterior. Revisión de la literatura. Revista Estomatología. 2011; 19(2), 40-47. [consulta 18 de diciembre 2017] [Revista en internet] http://estomatologia.univalle.edu.co/index.php/estomatol/article/view/331
  3. Miyajima K, McNamara JA, Sana M, Murata S. An estimation of craniofacial growth in the untreated Class III female with anterior crossbite. American journal of orthodontics and dentofacial orthopedics. 1997; 112(4), 425-434. [consulta 12 de enero 2018] [Revista en internet] Disponible en: http://www.ajodo.org/article/S0889-5406(97)70051-9/abstract
  4. Baccetti T, Reyes BC, McNamara Jr JA. Gender differences in Class III malocclusion. The Angle Orthodontist. 2005; 75(4), 510-520. [consulta 14 de enero 2018] [Revista en internet] Disponible en: http://www.angle.org/doi/abs/10.1043/0003-3219(2005)75%5B510:GDICIM%5D2.0.CO;2?code=angf-site
  5. Villegas AS. Relación esquelética clase III combinada por retrusión del maxilar superior y prognatismo con mordida cruzada anterior y posterior bilateral y hábito de protrusión lingual. CES Odontología. 2004; 17(1), 63-69. [consulta 7 de enero 2018] [Revista en internet] Disponible en: http://revistas.ces.edu.co/index.php/odontologia/article/view/471/0
  6. Mérida I, Rojas M, Montaño M, Sánchez Z. Camuflaje ortodóntico vs cirugía ortognática. Revista Latinoamericana de ortodoncia y odontopediatría. Edición electrónica mayo. [revista en internet Ortodoncia. Ws. 2011] [ consultado 20 de enero 2018]. Disponible en: https://www.ortodoncia.ws/publicaciones/2011/art-10/
  7. Lopera AM & Botero PM. Tratamiento para la corrección de mordidas cruzadas posteriores bilaterales. CES Odontología. 2010; 23(1). 1-3. [consulta 22 de enero 2018] [Revista en internet] Disponible en: http://revistas.ces.edu.co/index.php/odontologia/article/view/1210/753
  8. Reyes M, Comas Mirabent RB, Martínez MR & Mok P. Expansión rápida del maxilar con el tornillo Hyrax en un adolescente. Medisan. 2015; 19(3), 417-421. [consulta 21 de diciembre 2017] [Revista en internet] Disponible en: http://scielo.sld.cu/scielo.php?pid=S1029-30192015000300014&script=sci_arttext&tlng=en
  9. Mata J, Zambrano F, Quirós O, Farias M, Rondón S & Lerner H. (2007). Expansión rápida de maxilar en maloclusiones transversales: revisión bibliográfica. Revista Latinoamericana de Ortodoncia y Odontopediatría. [consulta 28 de diciembre 2017] [Revista en internet] Disponible en: https://www.ortodoncia.ws/publicaciones/2009/art-24/
  10. López S & Arriaga RE. Tratamiento de la mordida cruzada bilateral posterior con expansión rápida del maxilar. Odontopediatria Actual. 2012; 36, 37. [consulta 29 de diciembre 2017] [Revista en internet] Disponible en: https://www.researchgate.net/profile/Salvador_Garcia-Lopez/publication/269097938_Maxillary_Bilateral_Posterior_Cross_bite_treated_with_rapid_maxillary_Expansion_A_Case_Report/links/547fde5c0cf2ccc7f8bb06ea/Maxillary-Bilateral-Posterior-Cross-bite-treated-with-rapid-maxillary-Expansion-A-Case-Report.pdf
  11. Machado R, Bastidas M, Arias EQ & Quirós O. Disyunción Maxilar con la utilización del Expansor tipo Hyrax en pacientes con Labio y Paladar Hendidos. Revisión de la Literatura. Rev. Latino. Orto. y Odonto. 2012; 428-430. [revista en internet Ortodoncia. Ws. 2011] [ consultado 20 de enero 2018]. Disponible en: https://www.ortodoncia.ws/publicaciones/2012/art-27/
  12. Puerta G. Expansión rápida maxilar. Informe de un caso. Colombia Médica. 2001; 32(3). . [consulta 4 de febrero 2018] [Revista en internet] Disponible en: http://www.redalyc.org/html/283/28332310/
  13. Bustamante M & Prato, R. Etiopatogenia y terapéutica de caninos permanentes ectópicos e incluidos. Revista Latinoamericana de Ortodoncia y Odontopediatria" Ortodoncia. ws" edición electrónica junio. [revista en internet Ortodoncia. Ws. 2010] [ consultado 21 de enero 2018]. Disponible en: https://www.ortodoncia.ws/publicaciones/2010/art-15/
  14. Graber TM & Swaing BF. Ortodoncia: Conceptos y técnicas, 2a Edición Editorial Med. Panamericana, Volumen N°1. 1988; 303 - 308
  15. Andrade GJ, Gurrola MB; Casasa AA. Mecánica de expansión transversal maxilar: Hyrax, exodoncias, incorporación de canino superior derecho ectópico, en paciente con respiración oral Revista Latinoamericana de Ortodoncia y Odontopediatría Año 2013. Consultado el: 07/03/2018 Obtenible en: https://www.ortodoncia.ws/publicaciones/2013/art-3
  16. Cantú C & Arlén V. Cambios enqueletales en pacientes tratados con expansión rápida maxilar. Doctoral dissertation, Universidad Autónoma de Nuevo León. 2011
  17. Sangüeza J. Expansión rapida del maxilar para solucionar las mordidas cruzadas posteriores. 2012; 9-13 [consultado 18 de enero 2018]. Disponible en: http://ortodonciasangueza.com/css/images/art/OrtopediaMaxila.pdf
  18. Rojas RP, Ramírez PV & Del Castillo A. Aparatos ortopédicos que se utilizaron en el Centro de Especialidades Odontológicas en el año 2008. Archivos de Investigación Materno Infantil. 2010; 2(1), 15-18. [consultado 16 de febrero 2018]. Disponible en: http://www.medigraphic.com/pdfs/imi/imi-2010/imi101d.pdf.
  19. Ravindra N. Biomecánica en ortodoncia clínica. Ed. Médica Panamericana. 1998; 94-95
  20. Machado R, Bastidas M, Arias EQ & Quirós O. Disyunción Maxilar con la utilización del Expansor tipo Hyrax en pacientes con Labio y Paladar Hendidos. Revisión de la Literatura. Rev. Latino. Orto. y Odonto. 2012; 428-430. [consultado 4 de Abril 2018]. Disponible en: https://www.ortodoncia.ws/publicaciones/2012/art-27/