Artículo Original

Manejo de diastemas presentes por exceso de hueso basal en arcada superior e inferior en la línea media dental

Vera Castellanos Sindy Katerine1; Beatriz Gurrola Martínez2; Adán Casasa Araujo3

Resumen

Se presenta un paciente de 29 años. En su análisis clínico y radiográfico se diagnostica: Clase I esquelético, normodivergente, clase III molar bilateral, clase II canina derecha y clase I canina izquierda, diastema superior e inferior, incisivo central inferior derecho presenta recesión gingival. Refiere tener como habito morderse los labios. El tratamiento consistió en: Alineación y nivelación, cierre de espacios, stripping, detallado y retención. La aparatología utilizada fueron brackets prescripción Roth .022 x .028 Tubos bondeables en primeros y segundos molares superiores e inferiores, bite turbos en primeros y segundos molares superiores izquierdo y derecho y recordatorios linguales. La retención está a cargo de un retenedor fijo de canino a canino en superior e inferior y retenedores termoformados superior e inferior. Tiempo de tratamiento activo un año tres meses.

Palabras clave: Diastemas, espacios fisiológicos, Clase I esquelética, Recesión gingival


Original Article

Abstract

We present a patient of 29 years old. In his clinical and radiographic analysis was diagnosed: skeletal class I, skeletal normodivergent grown malocclusion class III bilateral molar, class II right canine and left canine class I, upper and lower diastema in midleline, and 41 presents gingival exposure. He refers to having a habit of biting his lips. The treatment consisted of: Alignment and leveling, closing spaces, stripping, detailing and retention. The appliances used were brackets 0.22 x .028 Roth prescription , tubes in firsts and second upper and lower molars , bite turbos in first upper molars and lingual reminders. The retention upper and lower was a fixed retainer from 13-23 and 33-43 and also thermoformed retainers. Active treatment time1 year and 3 months.

Key words: Diastemas, physiological spaces, Skeletal Class I, Gingival Recession


  1. Residente de primer año de la maestría Ortodoncia y Ortopedia Maxilofacial en el Centro de Estudios Superiores en Ortodoncia CESO.
  2. Profesor de la maestría del CESO y profesor de tiempo completo Titular "C" de la carrera de Cirujano Dentista de la Facultad de Estudios Superiores Zaragoza UNAM.
  3. Director del CESO.

Introducción

1.La estética dentofacial juega un rol muy importante en la interacción social y el bienestar psicológico porque esta puede afectar como las personas se perciben así mismas y como son percibidos en una sociedad, 2. lo cual predispone a las personas a angustia y ansiedad psicológica constante. Uno de los motivos de consulta por los que asisten con más frecuencia los pacientes con el ortodoncista, es por no sentirse satisfechos con su apariencia al sonreír, múltiples son las causas del motivo de consulta que giran en torno a los dientes anteriores, los cuales hacen parte del grupo más notorio en el momento de sonreír y en el momento de hablar.3 El diastema es un espacio o brecha entre los dientes. Este espacio puede ser una característica normal del crecimiento durante la dentición primaria y mixta ya que los incisivos centrales maxilares usualmente erupcionan con un espacio entre ellos. El diente central incisivo termina de erupcionar maso menos a los 16 años y se dice que el 83% de los diastemas de línea media cierran, cuando el canino maxilar erupciona. 4,5,6,7. Se reporta una incidencia de diastemas en adultos entre el 5% al 20%. Debido al potencial de múltiples etiologías tales como: 1) inclinación axial inadecuada de las raíces de los incisivos centrales, 2) Discrepancia en el tamaño de los dientes, 3) Hábitos como succión digital, morderse los labios e interposición lingual, 4) oclusión traumática 5) anatomía real de los dientes, ancho meso distal del central, más grande en su porción cervical que en los bordes incisales, 6) desequilibrio muscular,7) barreras físicas como los dientes supernumerarios, 8) estructura del arco maxilar anormal como excesivo crecimiento esqueletal, 9) perdida de hueso de soporte por enfermedad periodontal10) perdida de algún diente entre otros.8,9,10 Debido al potencial de múltiples etiologías anteriormente mencionadas, el diagnostico de un diastemas debe basarse en una historia medico/dental, examen clínico y examen radiográfico completo.11,12. Modelos de estudio para el diagnóstico también pueden ser necesarios para el análisis y medición, cuando el diastema puede deberse a una maloclusión aun diente y/o discrepancia del tamaño del arco. Radiografías panorámicas y periapicales son necesarias. Para evaluar la edad dental del paciente, impedimentos, morfología anormal de la sutura, dientes faltantes, anomalías dentales, alineamiento dental inadecuado y vías de erupción anormales.10. El diastema mandibular no es una característica de crecimiento normal, este espaciamiento se ve menos frecuente a diferencia que el diastema del maxilar. No se han publicado hasta ahora datos epidemiológicos sobre su prevalencia, aunque se concluye que el factor etiológico primario para el diastema mandibular es el empuje de la lengua en posición baja de reposo.13,14,15 Se pueden mencionar múltiples opciones de tratamiento para el manejo de diastemas, pero la elección adecuada dependerá del diagnóstico definitivo, el tamaño y la forma de los incisivos centrales, para que por medio de rehabilitación se pueda modificar con carillas este tamaño normal y ocupar estos espacios sobrantes, se puede utilizar aparatología ortodóntica fija o removible para el cierre de los espacios.9,13. Los diastemas de la línea media son relativamente simples de tratar con las mecánicas ortodónticas modernas, pero presentan una frecuente inestabilidad de este cierre que puede ser molesto para el paciente y desconcertante para el ortodoncista, quien está tratando de lograr la perfección estética en la parte anterior de la boca. Popovich 3 menciona que el factor etiológico más frecuente para una recidiva o reapertura de diastemas está asociado en un 67% con una sobre inserción del frenillo.

Caso clínico

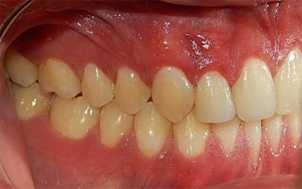
Se reporta el caso clínico de un paciente de 29 años. Su motivo de consulta fue ´´Ortodoncia´´. En la figura 1 se muestra radiográficamente que es clase I esquelética con crecimiento normo divergente, en la figura 2 la fotografía extraoral de frente la presencia de diastemas a nivel de los órganos dentarios. OD 11 -21 y 31- 41.

Fig. 1 Radiografía lateral de cráneo
Fig. 1 Radiografía lateral de cráneo
Fig. 2 Sonrisa
Fig. 2 Sonrisa

En el análisis intraoral de inicio en las fotografías intraorales laterales nos muestran: Figuras 3 y 4: las relaciones molares clase III molar bilateral y canina clase I izquierda y clase II derecha, figura 5 la fotografía intraoral del frente con la presencia de unos diastemas fisiológicos entre O D dientes 11 -21 y 31 – 41. Presencia de los 32 dientes permanentes, las líneas medias dentales coincidentes.

Fig. 3 Intraoral derecha
Fig. 3 Intraoral derecha
Fig. 4 Intraoral izquierda
Fig. 4 Intraoral izquierda
Fig. 5. Intraoral de frente
Fig. 5. Intraoral de frente

Se puede observar la forma de arco cuadrada superior e inferior figura 6.

Fig. 6 Vista Oclusal superior e inferior
Fig. 6 Vista Oclusal superior e inferior

En la radiografía panorámica tenemos los 32 dientes con los terceros molares. en la figura 8

Fig .8 Radiografía panorámica
Fig .8 Radiografía panorámica

Tratamiento

Se realizo la alineación, nivelación con brackets prescripción Roth 0.022 x 0.028 con una secuencia de arcos de Niti 0.014,0.016, 0.018, 0.17x0.25 y acero 0.018 superior e inferior. Una vez cerrado el diastema superior por medio del uso de cadenas intramaxilares entre los incisivos 11 y 21: Se ferulizo y se colocó cadena del 12 al 22. Para el cierre del diastema inferior de los incisivos inferiores 31 y 41 con cadena intermaxilar de los incisivos 32 al 42, se ferúlizo del 31,41,32 y 42 y con cadenas del 33 y 43. Se usaron elásticos cruzados desde el botón bondeado en palatino del 16 y 17 al tubo vestibular del 46 y botón bondeado en el 47, se bondearon los brackets de los dientes 12 y 22 con un giro de 180 grados para corregir el torque de estos dientes. Mediante stripping y cadenas la corrección del overjet y overbite, líneas medias dentales y la clase II canina bilateral. En los estudios de progreso en las fotografías intraorales, figuras. 9,10 y 11 con los brackets, la mejoría en el paciente con la alineación y nivelación dental y los diastemas entre los incisivos 11 - 21 y 31 – 41.

Fig.9 Lateral derecha
Fig.9 Lateral derecha
Fig.10 Lateral izquierda
Fig.10 Lateral izquierda
Fig.11 intraoral de frente
Fig.11 intraoral de frente

Estudios finales: En la radiografía panorámica final vemos la presencia del paralelismo radicular como la ausencia de espacios a nivel de las arcadas, figura 12 formación de hueso posiblemente como una matriz funcional.

Fig.12 radiográfica panorámica final
Fig.12 radiográfica panorámica final
Comparación de las fotografías de frente de sonrisa inicio final en la figura 13.
Fig.13 Sonrisa inicio, final
Fig.13 Sonrisa inicio, final

Resultados En las fotografías intraorales finales figuras 14 y 15 se ve la clase I molar y canina bilateral, el overjet y overbite adecuado y en la figura 16 las línea medias dentales coincidentes.

Fig.14 Intraoral derecha
Fig.14 Intraoral derecha
Fig.15 izquierda
Fig.15 izquierda
Fig.16 de frente
Fig.16 de frente

En la vista oclusal superior e inferior figuras 17 y 18 la ausencia de espacios en las arcadas y las adecuadas formas de arco presencia de todos los dientes.

Fig.17 Oclusal superior
Fig.17 Oclusal superior
Fig.18 Oclusal inferior
Fig.18 Oclusal inferior

El tiempo de tratamiento fue de un año y tres meses se lograron los objetivos: se corrigió el perfil facial de tejidos blandos, rotaciones obtener clase I molar bilateral, se obtuvo la clase I canina bilateral, el cierre de espacios, coincidencia de las líneas medias dentales. Se realizó la amelóplastia de incisivo 21, correcta intercuspidacion, guía de desoclusion canina, y guía incisiva, gingivoplastia anterosuperior, la oclusión del paciente se puede observar en la figura. 19 en una comparación de inicio y final de frente.

Fig.19 comparacion Intraoral de frente inicio-final
Fig.19 comparacion Intraoral de frente inicio-final

Finalmente con los retenedores termoformados indicados al finalizar el tratamiento: fijos de canino a canino superior e inferior figuras. 20, 21 y 22.

Fig. 20 Retenedor superior
Fig. 20 Retenedor superior
Fig.21 inferior
Fig.21 inferior
Fig.22 intraoral de frente
Fig.22 intraoral de frente

Discusión

Se reporta una incidencia de diastemas en adultos entre el 5% al 20%.8,9,10 el diagnostico de un diastema se basa en una historia medico/dental, examen clínico y radiográfico completo para evaluar la edad dental del paciente, impedimentos, morfología anormal de la sutura, dientes faltantes, anomalías dentales, alineamiento dental inadecuado y vías de erupción anormales.11,12. Así como los modelos de estudio necesarios para el análisis y medición, cuando el diastema puede deberse a una maloclusión aun diente y/o discrepancia del tamaño del arco1.En el CESO el diagnóstico correcto es igual a resultados eficientes y efectivos en el tratamiento del paciente el procedimiento se llevó de manera multidisciplinaria por ortodoncistas y periodoncistas, quienes se encargaron del cuidado de los tejidos blandos y duros para el soporte de los dientes, cumpliendo con los objetivos estético y funcionales, como la corrección de las mal posiciones dentales y la solución del trauma oclusal.

Conclusión

El diagnóstico correcto por medio de un análisis clínico y radiográfico es la base para la determinación de una opción de tratamiento que concluirá exitosamente, sin poner en riesgo la salud y estabilidad del paciente.

Referencias Bibliográficas

  1. Marques, L. S., M. L. Ramos J, S. M. Paiva , and I. A. Pordeus . Malocclusion: esthetic impact and quality of life among Brazilian schoolchildren. Am J Orthod Dentofacial Orthop 2006. 129:424–427
  2. Jenny, J. , N. C. Cons , F. J. Kohout , and P. J. Frazier. Test of a method to determine socially acceptable occlusal conditions.Community Dent Oral Epidemiol 1980. 8:424–433
  3. Popovich F, Thompson GW, Main PA. The maxillary interincisal diastema and its relationship to the superior labial frenum and intermaxillary suture. Angle Orthod 1977;47: 265-71.
  4. Shashua D,Artun J. Relapse after orthodontic correction of maxillary median diastema: a follow-up evaluation of consecutive cases. Angle Orthod 1999;69:257-63.
  5. Richardson ER, Malhotra SK, Henry M, Little RG, Coleman HT. Biracial study of the maxillary midline diastema. Angle Orthod 1973;43:438-43.
  6. Steigman S, Weissberg Y. paced dentition, an epidemiological study. Angle Orthod 1985;55:167-76.
  7. McVay TJ, Latta GH Jr. Incidence of the maxillary midline diastema in adults. J Prosthet Dent 1984;52:809-11.
  8. Attia Y: Midline diastemas: closure and stability. Angle 178 American Academy of Pediatric Dentistry Pediatric Dentistry - I7:3,1995 Orthod 63:209-12, 1993
  9. Edwards GJ , D.D.S., M.S. Charlotte, N. G original articles The diastema, the frenum, the frenectomy: A clinical study American Journal of Orthodontics Volume 71, Number 5, May, 1977.
  10. Wen-Jeng Huang, DDS Curtis J. Creath, DMD, MS The midline diastema: a review of its etiology and treatment American Academy of Pediatric Dentistry-17:3,1995.
  11. Bolton WA: Clinical application of a tooth-size analysis. Am J Orthodont 48:504-29, 1962.
  12. Bolton WA: Disharmony in tooth size and its relation to the analysis and treatment of malocclusion. Angle Orthodont 28:113-30, 1958
  13. Frese C, Schiller P, Staehle HJ, Wolff D. Recontouring teeth and closing diastemas with direct composite buildups: a 5-year follow-up. J Dent 2013;41:979-85.
  14. Chu CH, Zhang CF, Jin LJ. Treating a maxillary midline diastema in adult patients. A general dentist's perspective. J Am Dent Assoc 2011;142:1258-64.
  15. Tulluch JFC. Adjunctive treatment for adults. In: Proffit W, Fields H Jr., editors. Contempory orthodontics. 2nd ed. St Louis: Mosby; 1993. p. 579-81.