Caso clínico

Manejo de paciente con fisura labial bilateral

Icela Lujano López1; Beatriz Gurrola Martínez2; Adán Casasa Araujo3

Resumen

Paciente masculino de 14 años motivo de consulta valoración de ortodoncia, diagnosticado con fisura labial y palatina bilateral completa. Presenta clase I esquelética, hiperdivergente, clase I molar bilateral, la clase canina derecha no evaluable, clase II canina izquierda, líneas medias dentales no determinadas, mordida cruzada anterior completa, mordida cruzada posterior en premolares, Órganos dentales (OD) 11 y 21 rotados 90°, OD 13 y 23 ectópico, presencia de dientes supernumeracios en la fisura, overjet y overbite disminuidos, OD 22 microdontico y amorfo, antecedentes quirúrgicos propios de la condición sin cirugías ortognáticas planificada. Como objetivos generales del tratamiento fue mejorar el perfil facial, corrección del apiñamiento maxilar y mandibular, mejorar forma de arco superior, corregir mordida cruzada anterior y corrección de overjet y overbite. El tiempo de tratamiento activo dos años.

Palabras clave: Fisura labial, palatina bilateral.


Case report

Abstract

14-year-old male patient for orthodontic evaluation, diagnosed with complete bilateral cleft lip and palate. He presents skeletal class I, hyperdivergent, bilateral molar class I, right canine class not evaluable, left canine class II, undetermined dental midlines, complete anterior crossbite, posterior crossbite in premolars, Dental organs (OD) 11 and 21 rotated 90°, OD 13 and 23 ectopic, presence of supernumeracious teeth in the fissure, diminished overjet and overbite, OD 22 microdontic and amorphous, surgical history of the condition without planned orthognathic surgery. The general objectives of the treatment was to improve the facial profile, correct maxillary and mandibular crowding, improve upper arch form, correct anterior crossbite and correct overjet and overbite. The active treatment time is two years.

Key words: Bilateral cleft lip, palate.


  1. Residente del 2º año de la maestría Ortodoncia y Ortopedia Maxilofacial en el Centro de Estudios Superiores en Ortodoncia CESO.
  2. Profesor de la maestría del CESO y profesor de tiempo completo Titular "C" de la carrera de Cirujano Dentista de la Facultad de Estudios Superiores Zaragoza UNAM
  3. Director del CESO

Introducción

El labio y paladar fisurado (LPH) son las anomalías faciales congénitas más frecuentes, el tratamiento se debe enfocar a restituir las funciones dento faciales. Para lograr armonía ósea y de tejidos blandos que permitan un correcto desarrollo del habla, la alimentación, la respiración, la audición y de la estabilidad emocional, lo que hace posible que el paciente se desarrolle en la sociedad. Variación de la incidencia según los tipos: 46% para el labio y el paladar hendido, 33% para el paladar hendido aislado, 21% para el labio hendido. Son más los casos unilaterales que los bilaterales. Se presenta con mayor frecuencia en el lado izquierdo que el derecho. Un 28% se encuentra asociado con otras anomalías congénitas (sindrómico). En un 72% como única alteración (no sindrómico)1. La fisura labio alvéolo palatina (FLAP) es una de las malformaciones congénitas más frecuentes de cabeza y cuello, se produce entre la sexta y décima semanas de vida embriofetal. La falla en la unión normal y el desarrollo inadecuado, puede afectar los tejidos blandos y los componentes óseos del labio superior, el reborde alveolar, así como los paladares duro y blando. Las causas de las malformaciones congénitas podemos reunirlas en dos grandes grupos: genéticas y ambientales. La incidencia de FLAP según la OMS es de 500 a 700 recién nacidos vivos2. Una de las complicaciones más comunes a nivel estomatológico que presentan los pacientes con FLAP es la maloclusión. Los principales problemas que se observan son mordida cruzada en la zona de la fisura, mordida abierta y malposición dental3. El diagnóstico precoz incluye las técnicas de evaluación en tercera dimensión con la revisión del paladar antes de la osificación a las 12-24 semanas de gestación. En la literatura se coincide en que la reparación quirúrgica de un paciente con labio hendido no es una urgencia; Actualmente, la reparación primaria de labio hendido se realiza alrededor de los 3 meses de edad, considerando que el paladar hendido y el maxilar se cierran al final del 1er año de vida4. El labio o el paladar fisurados es más común en hombres que en mujeres encontrándose una proporción de 2:1, mientras que el labio fisurado aislado es de 1.5:12. Se ha encontrado que las fisuras de labio o paladar son las más comunes representando 50% de los casos, mientras que el labio fisurado aislado y el paladar fisurado sólo corresponden a 25% respectivamente. Considerando que la mayoría de estudios conocidos se han dirigido a caracterizar esta alteración en países desarrollados, existe una necesidad latente de orientar trabajos investigativos tendientes a proporcionar datos de esta malformación en Colombia partiendo de su descripción5. En esta malformación congénita se ven alteradas varias estructuras como el labio, el proceso alveolar, el paladar duro y el paladar blando. Aparte de eso se debe considerar que puede presentarse de manera aislada, combinada, unilateral o bilateral; debido a esto ha existido una gran variedad de propuestas de clasificaciones para esta entidad en la que diversos autores han tratado de realizar un sistema de clasificación que sea sencillo, fácil y útil en la práctica clínica. las más relevantes en este tema que son las más utilizadas clasificación embriogénica según Stark y Kernahan6,7 Los pacientes con LPH necesitan recibir atención inmediata y tratamientos integrales (TI) para su supervivencia, ya que desde el momento de su nacimiento, encuentran su salud expuesta a diferentes procesos infecciosos y complicaciones que otros niños de su edad no presentan. Por ello, es importante disminuir y prevenir enfermedades bucales y sistémicas, así como la formación y desarrollo de las arcadas dentales para lograr una oclusión que logre la buena función del aparato estomatognático. Otro problema al que se enfrentan tanto el paciente a lo largo de su vida como sus padres es su integración social8. La expansión es el procedimiento terapéutico que pretende aumentar la distancia transversal entre las piezas dentarias de las hemiarcadas superiores por transformación de la base apical, mientras que la disyunción pretende el mismo fin pero en base a la separación de la sutura media palatina. La expansión ortopédica, se refiere a la ERM (expansión rápida maxilar o disyunción) en la que los cambios son producidos principalmente en las estructuras esqueléticas subyacentes y no por el movimiento dentario a través del hueso alveolar9. El tratamiento integral del paciente con fisura labio alveolo palatino es complejo y comprende el trabajo de un equipo de especialistas, no existen esquemas rígidos de tratamiento. El resultado final dependerá de los procedimientos terapéuticos llevados a cabo, del patrón de crecimiento facial de cada individuo y especialmente de la severidad de las alteraciones anatómicas, funcionales, estéticas y psicológicas del paciente9,10.

Caso clínico

Se reporta el caso de un paciente de 14 años cuyo motivo de consulta refiere la madre valoración de ortodoncia. En los estudios de inicio extraorales observamos la fisura labial bilateral y una exposición total de los incisivos inferiores figura 1. En la figura 2 el perfil convexo, con tercio inferior aumentado y tercio medio disminuido por hipoplasia del maxilar característica de los pacientes con labio y paladar hendido por deficiencia en el crecimiento anteroposterior del maxilar.

Fig 1 frente
Fig 1 frente
Fig 2 perfil derecho
Fig 2 perfil derecho

Estudios intraorales

En las fotografías de inicio tenemos la mordida cruzada anterior y rotación de 90 grados de los incisivos centrales superiores figura 3 clase 1 molar derecha y Órgano Dentario OD 15 cruzado figura 4. En la vista oclusal la fisura palatina bilateral, la forma del arco irregular y triangular, dientes supernumerarios figura 5.

Fig. 3 frente
Fig. 3 frente
Fig. 4 lateral derecha
Fig. 4 lateral derecha
Fig. 5 superior
Fig. 5 superior

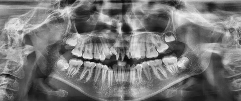
Estudios radiográficos iniciales en la radiografía panorámica se ven 34 dientes presentes; con los terceros molares en formación presencia de dientes supernumerarios en la zona anterosuperior figura 6.

Fig. 6 Rx Panorámica
Fig. 6 Rx Panorámica

En la tomografía figura 7, tenemos la rotación de los incisivos centrales superiores, y los dientes supernumerarios en la zona anterosuperior, figura 7 a vista palatal del Cone Bean con la línea de la sutura y la fisura palatina inclinada a la izquierda.

Fig 7. Frente
Fig 7. Frente

Tratamiento

Se realizó la expansión de la arcada superior, se derrotó a los OD 11 y 21, la alineación, nivelación, stripping, detallado y retención. Para los objetivos facial y dental se llevó a cabo con la siguiente aparatología: Expansor en abanico modificado bandas en 16 y 26 brackets prescripción Roth .022 x .028 tubos bondeables en 6’s y 7’s recordatorios linguales botones bondeables torquing spring., derrotar OD 11 y 21 como se muestra en la figura 8 y 9.

Fig 8.Vista oclusal superior
Fig 8.Vista oclusal superior
Fig 9 Vista oclusal superior
Fig 9 Vista oclusal superior

En la alineación, nivelación, desgaste interproximal y detallado. Al paciente se le colocaron retenedores circunferencial superior, termoformado inferior, fijo de 11 a 23 y Myobrace por las noches, el sistema Myobrace® está diseñado para tratar estos hábitos miofuncionales incorrectos al enseñar a los niños a respirar por la nariz, descansar la lengua correctamente en el techo de la boca, tragar correctamente y continuar ensanchando los maxilares para que crezcan hasta su tamaño completo y adecuado.11

Resultados

En las fotografías extraorales de frente podemos observar la mejoría de la línea de sonrisa del paciente, con sus incisivos centrales en una buena posición así como una buena exposición figura 10, en la de perfil final el perfil labial del paciente un labio inferior con menos proquellia figura 11.

Fig. 10 extraoral frente
Fig. 10 extraoral frente
Fig. 11 perfil final
Fig. 11 perfil final

Estudios finales intraorales en las fotografías nos muestran la corrección del overbite, las restauraciones que se realizaron en los incisivos 11 y 21 figura 12. El overjet del paciente figura 13, la correcta clase I canina y molar, una oclusión ideal, forma de arco oval figura 14. Tiempo de tratamiento activo dos años.

Fig 12. Frente
Fig 12. Frente
Fig 13. Lateral derecha
Fig 13. Lateral derecha
Fig. 14. Oclusal superior final
Fig. 14. Oclusal superior final

Discusión

Autores como: Álvarez CEV, Ochoa CS, San Martín BW, señalan que la fisura labio alvéolo palatina (FLAP) es una de las malformaciones congénitas más frecuentes de cabeza y cuello, se produce entre la sexta y décima semanas de vida embriofetal. La falla en la unión normal y el desarrollo inadecuado, puede afectar los tejidos blandos y los componentes óseos del labio superior, el reborde alveolar, así como los paladares duro y blando2. El trabajo en conjunto y coordinado con los numerosos especialistas médicos y odontológicos que enfrentaron y resolvieron las anomalías estructurales y funcionales derivadas de la condición de la anemia de Blackfan Diamond como los servicios de cardiología, pediatría, oncohematología, psicología, odontopediatría, ortopedia, ortodoncia, cirugía maxilofacial, fonoaudiología y otorrinolaringología, permitieron que la atención odontológica se realizara de manera segura y sin ningún tipo de complicación en el paciente y este abordaje clínico a un paciente con compromiso sistémico y FLP es el que muchos autores y expertos recomiendan11,12. El tratamiento de labio y paladar fisurado es muy complejo, no hay esquemas rígidos de tratamiento, ello obliga a que el abordaje se haga desde un punto de vista multidisciplinario13,14,15.Sigue existiendo la necesidad de continuar el perfeccionamiento del equipo multidisciplinario para obtener mejores resultados a una edad temprana, evitar las secuelas prevenibles y ofrecer una mejor calidad de vida15. En el CESO esta malformación congénita tenia alterados el labio, el proceso alveolar, el paladar duro y el paladar blando, se trabajó con el cirujano maxilofacial durante la infancia del paciente. Se decidió no operarlo por su clase esquelética. La etapa de retención es muy importante en estos pacientes, debido a los procedimientos que fue sometido, su sistema muscular se encuentra alterado, por eso se optó por indicar un sistema miofuncional Myobrace para la re adaptación muscular.

Conclusiones

Un diagnóstico acertado, así como la correcta planificación interdisciplinaria son indispensables para un tratamiento exitoso. Existen limitantes que puede tener un tratamiento si se realiza solamente un camuflaje ortodóntico, sobre todo en pacientes con algún tipo de defecto óseo, en este caso pacientes de labio y paladar fisurado el maxilar se ve afectado por este defecto y no ocurren cambios esqueléticas y el perfil del paciente no se puede corregir solo mejorar, aun así, el paciente recupera su función, se puede conseguir una oclusión ideal y cambiar la vida del paciente.

Referencias Bibliográficas

  1. Uribe G. Ortodoncia Teoría y clínica "énfasis en biomecánica" 3a edición 2019; 92: 1941-1962 M
  2. Álvarez CEV, Ochoa CS, San Martín BW, et al. Factores que intervienen en el crecimiento maxilar en pacientes de fisura labio alveolo palatina unilateral de seis a 18 años que acuden al servicio de ortodoncia del Hospital para el Niño Poblano. Oral. 2016;17(54):1364-1369.
  3. García G CI, Ochoa CS, San Martín-B W, et al. Prevalencia del grupo de maloclusión de acuerdo al análisis de GOSLON en pacientes con fisura labio alvéolo palatinas de seis a 12 años que asisten al Servicio de Ortodoncia del Hospital para el Niño Poblano. Oral. 2017;18(58):1520-1525.
  4. Gomez J, Gutierrez EM. Labio y paladar hendido. Ciencia UG | Enero - Abril 2013 Vol 3 Num 1 pp. 8
  5. Duque A M, Estupiñan B A, Huertas PE Labio y paladar fisurados en niños menores de 14 años. Colombia médica. 2002;33(3):108-112
  6. Palmero JP, Rodríguez MF. Labio y paladar hendido. Conceptos actuales Cleft lip and palate. Current concepts. Acta Médica Grupo Ángeles. 2019; 17 (4): 372-379
  7. Kuijpers-Jagtman AM, Mink van der Molen AB, Bierenbroodspot F, Borstlap WA. Interdisciplinary orthodontic surgical treatment of children with cleft lip and palate from 9 to 20 years of age. Ned Tijdschr Tandheelkd. 2015; 122 (11): 637-642.
  8. Pons-Bonals A, Pons Bonals L, Hidalgo SM, Martinez CF. Estudio clínico-epidemiológico en niños con labio paladar hendido en un hospital de segundo nivel. Boletín Médico del Hospital Infantil de México, 2017 Volume 74, Issue 2, April, Pp 107-121.
  9. Machado, R., Bastidas M., Arias E. Quirós O. Disyunción Maxilar con la utilización del Expansor tipo Hyrax en pacientes con Labio y Paladar Hendidos. Revisión de la Literatura Revista latinoamericana de Ortodoncia y Odontopediatria 2012 obtenible: www.publicacion ws consulta agosto 2020.
  10. Vasquez ML. Tratamiento ortodóntico de un paciente con fisura labio alveolo palatina bilateral con injerto secundario tardío. Reporte clínico Para optar el Título Profesional de Especialista en Ortodoncia y Ortopedia Maxilar. Vol 9 N° 1 Enero - Junio 2019
  11. Omza, S, Doganb S, Pekedisc M, Yildizd H, Biomechanical evaluation of sagittal maxillary internal distraction osteogenesis in unilateral cleft lip and palate patient and noncleft patients A three-dimensional finite element analysis. Angle Orthodontist, 2014 Vol 84, No 5, https://myobrace.com/es-419/what-is-myobrace
  12. Cisneros H, Sotomayor G, Bernal M. Importancia del manejo interdisciplinario de pacientes con fisuras Labiopalatinas y Anemia de Blackfan Diamond. Reporte de caso: seguimiento a 2 años Revista de Odontopediatría Latinoamericana. 2019 Volumen 9, No. 1.
  13. Sarmiento M, Sanchez C, Espinoza R, Perez E. Resultados del tratamiento multidisciplinario del labio y paladar fisurado unilitareal. Acta Odontologica Venezolana. 2007 Volumen 45 N4. https://www.actaodontologica.com/ediciones/2007/4/tratamiento_multidisciplinario_labio_paladar.asp
  14. Bardach J. Late results of multidisciplinary management of unilateral. Cleft lip and palate. Ann.Plast. Surg.1984; 12 (3): 235-42.
  15. Estrada M. Sánchez M. Espinosa R. Pérez E. Resultados del tratamiento multidisciplinario del labio y paladar figurado unilateral. Acta Odontológica Venezolana - Volumen 45 Nº 4 / 2007. PP 1-6. https://www.actaodontologica.com/ediciones/2007/4/tratamiento_multidisciplinario_labio_paladar.asp