Caso clínico

Tratamiento ortodóntico de paciente clase III, expansión esquelética del maxilar, distalización inferior con microtornillos

Dilan Alexander Valencia Agudelo1; Beatriz Gurrola Martínez2; Yanira López Rodríguez3; Adán Casasa4

Resumen

Se presenta un paciente de 22 años, al análisis clínico y radiográfico se diagnostica con clase III esquelética, hiperdivergente, con mordida cruzada posterior y mordida borde a borde anterior, con relación molar clase I bilateral y canina clase II bilateral, overjet y overbite disminuidos, líneas medias dentales coincidentes, el cual ya reportaba un tratamiento de ortodoncia previo a la valoración. El tratamiento expansión esquelética del maxilar (MSE) y la distalización inferior mediante microtornillos en Shelf mandibular, la aparatología utilizada fueron brackets prescripción Roth 0.022x0.028 tubos de adhesión directa en primeros y segundos molares superiores e inferiores, la retención se llevó a cabo con circunferencial superior e inferior con pantalla vestibular. El tiempo del tratamiento fue de 1 años 4 meses.

Palabras clave: sarpe, shelf, mse, hyrax, clase III.


Case Report

Abstract

A 22-year-old male patient, clinical and radiographic analysis diagnosed with skeletal class III, hyperdivergent, with posterior crossbite and anterior edge-to-edge bite, with bilateral class I molar relationship and bilateral class II canine relationship, decreased overjet and overbite, coincident dental midlines, which already reported an orthodontic treatment prior to the assessment. The treatment consisted of maxillary skeletal expansion (MSE) and lower distalization by means of microscrews in the mandibular Shelf. The appliances used were Roth prescription brackets 0.022x0.028 direct adhesion tubes in upper and lower first and second molars, retention was carried out out with superior and inferior circumferential with vestibular screen. The active time of treatment was 1 year 4 months.

Key words: sarpe, shelf, mse, hyrax, clase III.


  1. Residente de segundo año de la maestría de Ortodoncia y Ortopedia Maxilofacial del Centro de Estudios Superiores de Ortodoncia, CESO.
  2. Profesora del CESO y profesor Titular C Definitivo en la carrera de Cirujano Dentista.
  3. Profesor Asignatura de la Facultad de Estudios Superiores Zaragoza. UNAM.
  4. Director del CESO.

Introducción

La maloclusión clase III o mesioclusión según Angle es aquella caracterizada por la relación mesial de la arcada dentaria mandibular con respecto a la maxilar tomando como referencia la cúspide mesiovestibular del primer molar superior ocluyendo mesial al surco del primer molar inferior.1 Son las menos frecuentes y las más difíciles de tratar.2 Se presenta en un 27.4% de la población mexicana.3 En cuanto a su etiología es importante tener en cuenta lo que es la predisposición genética y los factores ambiéntales.4 Reyes señala que pasa cuando la acción muscular se perturba, se pierde el equilibrio entre los labios, músculos buccinadores y la lengua actúan de forma anómala sobre las caras vestibulares y linguales de los dientes que trae como consecuencias nuevas y malas posiciones dentarias, lo que crea a la vez una acción muscular anormal que mantendrá estas maloclusiones, así como una marcada afectación en el desarrollo craneofacial.5 En sus posibles tratamientos un factor muy importante a tener en cuenta es la edad al momento de diagnosticarla, estableciendo una lista de los problemas presentes, con las metas oclusales y faciales del tratamiento ortodóncico. Esta maloclusión se manifiestan a una edad temprana por lo que su tratamiento se debe realizar en la niñez, ya que en la edad adulta el tratamiento indicado en casos severos es la cirugía ortognática.6 En cuanto a las relaciones esqueléticas de los pacientes Clase III se ha determinado que del 42 al 63 % tienen un maxilar retruído o con una mezcla de maxilar retruído con mandíbula prognática leve o media. A pesar de tener una fuerte base genética las maloclusiones Clase III presentan una etiología multifactorial, es decir poligénica siendo una interacción genética y ambiental, pero sin embargo el patrón genético conlleva a un pronóstico menos favorable.7 La falta de desarrollo del maxilar tanto transversalmente como sagitalmente son factores muy importantes en estos pacientes.8 El colapso transversal del maxilar se debe tratar en primera instancia para lo cual existen diferentes alternativas para su manejo, siendo la expansión rápida del maxilar (ERM) el método de primera elección por los ortodoncistas.9 Entre algunos aparatos comúnmente utilizados expansores como lo son Hass, Hyrax, de McNamara entre otros10. Sin embargo es importante mencionar que estos aparatos van dento soportados, y en casos de pacientes que ya terminaron su crecimiento, esta expansión es más dentoalveolar que una expansión esquelética, la cual es una alternativa en el manejo maxilar en (MSE) en pacientes sin crecimiento, y se requiera una expansión de la sutura media palatina y no una expansión dentoalveolar.11,12

Caso clínico

Se presenta un paciente de 22 años de edad, el cual refiere como motivo de consulta "mis dientes están chuecos ya tuve un tratamiento anterior y no quedo bien." Cabe señalar que el paciente recibió un tratamiento previo el cual manifiesta que quedo inconcluso y que no cubrió las expectativas que el esperaba. Por lo que ahora quiere iniciar un nuevo tratamiento en la clínica del CESO.

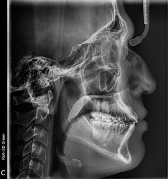
Estudios extraorales y radiográficos de inicio, al análisis clínico es diagnosticado como clase III, hiperdivergente, figura 1 perfil recto sin ninguna asimetría visible, figura 2.

Fig. 1 lateral de cráneo
Fig. 1 lateral de cráneo
Fig. 2 extraorales de frente y perfil
Fig. 2 extraorales de frente y perfil

Estudios intraorales de inicio, es necesario señalar que en el momento de iniciar en el CESO el paciente llego del tratamiento inconcluso y se observa la aparatología, figura 3 tenemos una relación molar clase I bilateral y canina clase II bilateral el overjet y overbite, disminuidos figura 4, vista oclusal apiñamiento superior e inferior, con colapso maxilar figura 5.

Fig. 3 frente, ya sin los braquetes
Fig. 3 frente, ya sin los braquetes
Fig. 4  Intraoral lateral  derecha e izquierda
Fig. 4 Intraoral lateral derecha e izquierda

Estudios radiográficos de inicio en la radiografía panorámica se observa un adecuado longitud radicular, con 30 dientes presentes, el paciente refiere que se le realizaron las extracciones de los terceros molares inferiores figura 5 en el tratamiento anterior.

Fig. 5 radiografía  panorámica inicial
Fig. 5 radiografía panorámica inicial

Tratamiento Se confecciono la guía quirúrgica para la colocación del MSE (Maxillary Skeletal Expander) de 10 mm, se realizan micro-osteo-perforaciones verticales y oblicuas en el sutura palatina con motor e irrigación figura 6, se coloca de MSE con cuatro tornillos (1,8x13mm en anterior y 1.8x11mm en posterior las activaciones inician con control de fuerza de 500g por activación (1/4 de Vuelta diaria). Esta etapa se realizo sin bondeo de la arcada superior.

Fig. 6 microosteoperforaciones
Fig. 6 microosteoperforaciones

Después de la expansión superior, se distalizo por medio de microtornillos en el shelf mandibular de 2x12mm y cadenas de vástagos cripados a los arcos a los microtornillos figura 7.

Fig. 7 Distalización inferior bilateral con microtornillos 2x12 mm
Fig. 7 Distalización inferior bilateral con microtornillos 2x12 mm

El protocolo de expansión fue por un mes, y una vez terminado, se mantuvo durante cuatro meses para la contención y formación del callo óseo, posterior a esto se removió y se bondearon brackets de 7 a 7

Una vez corregido el problema transversal y sagital, Continuamos con la fase de detallado con un alambre de acero rectangular 0,019x0,025 se realizaron dobleces de primer, segundo y tercer orden, con élásticos en delta. 3/16’ 4 1/2oz y elásticos Raibwon 5/16’ 4 1/2oz.

Resultados

El tiempo del tratamiento fue de un año cuatro meses, en su radiografía lateral de cráneo se ven la inclinaciones dentales figura 8 y a sus fotografías extraorales frente, perfil figura 9.

Fig.  8 lateral de cráneo
Fig. 8 lateral de cráneo
Fig. 9.  Extraorales finales
Fig. 9. Extraorales finales

Se corrigió el apiñamiento superior e inferior figura 10, se obtuvo la relación molar y canina clase I bilateral. Las relaciones esqueléticas se mantuvieron, la mordida cruzada posterior corregida figura 12.

Fig.10 frente final
Fig.10 frente final

La distancia intermolar superior aumento 3.6 mm en cuanto a cambios en las inclinaciones de los molares aumento de la inclinación de 0.3° y 0.4° figura 11. En este caso la ERP resolvió los problemas transversales antes de que la sutura palatina media se hubiera calcificado. Cabe señalar que cuando esto ha ocurrido se puede realizar una expansión rápida palatina asistida con microtornillos, obteniendo así un resultado de la separación de la sutura, evitando efectos indeseados. Respecto a la utilización de el tomografía computarizada de haz cónico CBCT fue indispensable en el análisis clínico.

Fig.11  tomografía computarizada de haz cónico
Fig.11 tomografía computarizada de haz cónico
Fig.12 comparación inicio y resultados finales.
Fig.12 comparación inicio y resultados finales.

Discusión

EL tratamiento precoz de la mordida cruzada posterior siempre va a ser lo ideal, sin embargo en pacientes que ya terminaron el crecimiento, y donde se debe corregir esta maloclusion sin cambios en las inclinaciones dentales, una muy excelente opción es la utilización del protocolo MSE13,14,15. En el CESO al iniciar el tratamiento previo, fue importante conocer las expectativas del paciente, ya que en este caso se desconocía realmente todos los factores que influyeron para que no se llevara a buen término. Por lo cual era necesario convencer y comprometerse con el nuevo tratamiento para resolver el problema. Una vez que el tomo conciencia y se tuvo la cooperación, se pudieron alcanzar los objetivos en un año cuatro meses. El paciente acudió a control a los dos años postratamiento, los resultados se mantienen.

Conclusión

Los problemas transversales son considerados alteraciones bastantes comunes y se desarrollan en la niñez por hábitos no tratado en algunos casos, es importante su adecuado diagnostico y tratamiento precoz del mismo.

Referencias Bibliográficas

  1. Gualán CL, Sigüencia CV, Estuardo BM, Calderón ME. Maloclusion de clase III, tratamiento ortodoncico. revisión de la literatura. Evidencias en Odontología Clínica [Internet]. 2019 [citado el 10 de Noviembre de 2021];4(2):52–64. Disponible en: https://pesquisa.bvsalud.org/portal/resource/pt/biblio-995427
  2. Ramírez MJ, Muñoz MC, Gallegos RA, Antonio M. Maloclusión clase III [Internet]. Redalyc.org. [citado el 10 de Noviembre de 2021]. Disponible en: https://www.redalyc.org/pdf/487/48720965007.pdf
  3. Ramírez R L D, E ED, Antón SJ, Muñoz QG. Asociación de maloclusiones clase I, II y III y su tratamiento en población infantil en la ciudad de Puebla, México [Internet]. Edu.mx. [citado el 10 de noviembre de 2021]. Disponible en: https://www.uan.edu.mx/d/a/publicaciones/revista_tame/numero_6/Tam136-03.pdf
  4. Batista G NM; Lazo AY Fernández PE; Armas GL. Factores etiológicos de la maloclusión clase III en menor de 19 años. 2016 [Internet]. Ortodoncia.ws. [citado el 10 de noviembre de 2021]. Disponible en: https://www.ortodoncia.ws/publicaciones/2018/art-10/
  5. Reyes DE, Torres PI, Quesada LM, Milá FM, Labrada HE. Hábitos bucales deformantes en niños de 5 a 11 años. MEDISAN [Internet]. 2014 Mayo [citado el 10 de noviembre de 2021] ; 18( 5 ): 606-612. Disponible en: http://scielo.sld.cu/scielo.php?script=sci_arttext&pid=S1029-30192014000500003&lng=es.
  6. Ubilla MW, Sánchez LM, Mazzini TF, Moreira CT. Treatment with ortognactic surgery in patient class III skeletal with lateral left mandibular deviation. Case report. Odovtos - Int J Dent Sci [Internet]. 2017 [citado el 10 de noviembre de 2021];19(2):15. Disponible en: https://www.medigraphic.com/cgi-bin/new/resumenI.cgi?IDARTICULO=74578
  7. Martínez AP, Paredes GV, Llamas JM, Cibrián RM. Estudio comparativo de las maloclusiones de clase III tratadas con y sin cirugía. RODERIC. [Tesis en Internet]. España: Universidad de Valencia; © 2014 [citado 10 de Noviembre de 2021]; [Aprox. 5 p]. Disponible en: http://roderic.uv.es/bitstream/handle/10550/33722/TESIS%20DOCTORAL.pdf?sequence=1&isAllowed=y
  8. Díaz AR, Alberro YD, Mitjans OP, Valladares YP. Corrección de la maloclusión Clase III con tratamiento combinado ortodóncico-ortopédico. Rev cienc médicas Pinar Río [Internet]. 2017 [citado 10 de Noviembre de 2021];21(6):943–8. Disponible en: http://www.revcmpinar.sld.cu/index.php/publicaciones/article/view/3108
  9. Hernández LY, Mendoza RM, Jiménez SI. Colapso Maxilar, Etiología y Manejo Clínico. Rev. Odontopediatr. Latinoam. [Internet]. 22 de octubre de 2021 [citado 10 de Noviembre de 2021];11(Suplemento). Disponible en: https://www.revistaodontopediatria.org/index.php/alop/article/view/414
  10. Pèrez FA., Gallegos DF., Hernández MJ, Torres GP, Cuevas DP., Fierro MC.. Riesgos asociados al uso de Expansión Rápida del Maxilar. Av Odontoestomatol [Internet]. 2020 Abr [citado 10 de Noviembre de 2021] ; 36( 1 ): 21-26. Disponible en: http://scielo.isciii.es/scielo.php?script=sci_arttext&pid=S0213-12852020000100003&lng=es. Epub 15-Jun-2020.
  11. Gutiérrez G. Expansión ortopédica del maxilar con la utilización de anclaje esquelético temporal. Odontol. Act. [Internet]. 11 de septiembre de 2018 [citado 10 de Noviembre de 2021];3(3):45-50. Disponible en: https://oactiva.ucacue.edu.ec/index.php/oactiva/article/view/280
  12. Cantarella D, Dominguez MR, Moschik C, Mallya SM, Pan HC, Alkahtani MR, et al. Midfacial changes in the coronal plane induced by microimplant-supported skeletal expander, studied with cone-beam computed tomography images. Am J Orthod Dentofacial Orthop [Internet]. 2018 [citado el 10 de noviembre de 2021];154(3):337–45. Disponible en: https://pubmed.ncbi.nlm.nih.gov/30173836/
  13. Chulli EY Tesis [Internet]. 2021-10 [citado el 10 de Noviembre de 2021]. Recuperado a partir de: http://repositorio.ug.edu.ec/handle/redug/56351
  14. Valverde GD, Jiménez ALD. Expansión rápida palatina asistida por miproimplantes (MARPE): revisión de literatura. Expansión rápida palatina asistida por miproimplantes (MARPE): revisión de literatura [Internet]. 2020 [citado el 10 de Noviembre de 2021];11(2):2–20. Disponible en: http://www.idental.periodikos.com.br/article/5f905f830e882501391ddb38
  15. Castellanos T, Alicia O. Expansor Esquelético Maxilar asistido por ortoimplantes: Reporte de caso clínico. 2021 [citado el 10 de Noviembre de 2021]; Disponible en: http://ri.uaemex.mx/handle/20.500.11799/111802