Artículo Original

Tratamiento de sobremordida profunda con Invisalign First con recursos G8

Garcia Quiroga Viviana; Gomez Rodriguez Yamile; Souza Vieira Marines, Ferreira Cotrim Andreia, Ferreira Cotrim Flavio Augusto

Resumen

El propósito de este artículo es conocer por medio de la descripción de un caso clínico, la efectividad del tratamiento con Invisalign First, en la corrección de la sobremordida en dentición mixta. Se trabajó con un paciente masculino de 9 años de edad con sobremordida de 4.5mm, Clase I dental y esquelética con apiñamiento leve. En un período de 4 meses y con 15 alineadores con indicaciones específicas del profesional, se logró la corrección de la mordida profunda anterior y los demás objetivos funcionales y estéticos del tratamiento. SmartForce incorporado a la octava generación de Invisalign y las rampas de mordida favorecen este tipo de tratamiento; son una buena opción en dentición mixta, con resultados satisfactorios y en períodos cortos de tiempo.

Palabras clave: Sobremordida, Dentición mixta, Invisalign


Original Article

Deep overbite treatment with Invisalign first with G8 resources

Abstract

The purpose of this article is to know, through the description of a clinical case, the effectiveness of treatment with Invisalign.first, in the correction of the overbite in mixed dentition. We worked with a 9-year-old male patient with a 4.5mm overbite, dental and skeletal class I with mild crowding. In a period of 4 months and with 15 aligners with specific indications from the professional, the correction of the anterior deep bite and the other functional and aesthetic objectives of the treatment were achieved. SmartForce incorporated into the eighth generation of Invisalign and Bite Ramps favor this type of treatment; They are a good option in mixed dentition, with satisfactory results and in short periods of time.

Key words: Overbite, Mixed dentition, Invisalign.


INTRODUCCION

Dentro de las alteraciones o discrepancias maxilo mandibulares, se encuentran las alteraciones en sentido vertical, un resalte vertical excesivo, se denomina mordida profunda, se considera una entidad compleja dada la participación multifactorial, incluyendo factores genéticos, de crecimiento y desarrollo, ambientales, dentales, pudiendo afectar estructuras esqueléticas, dentoalveolares o ambas. La sobremordida vertical ideal puede oscilar entre 2 a 4 mm o 5 a 25% de traspase de los incisivos superiores a los incisivos mandibulares. (1,2)

Un tratamiento temprano de la mordida profunda, podrá ser un diferenciador, favoreciendo un equilibrio esquelético, dental y muscular. Dentro de las alternativas de tratamiento se podrían mencionar algunas de ella como, la aparatología fija, arco base, Twin blocks, planos de mordida o Invisalign. (1)

Podemos encontrar varias alternativas de tratamiento tanto en dentición mixta como en dentición permanente para la mordida profunda. Como ventaja en la dentición mixta tenemos el potencial de crecimiento, lo que nos lleva a tener como opción los aparatos funcionales con los cuales podemos recuperar el equilibrio. (3)

Otra alternativa para el tratamiento de la mordida profunda es Invisaling First, que consisten en una serie de cubiertas plásticas removibles y transparentes, diseñadas por un Software según las necesidades de cada paciente y utilizadas en serie (4). Invisalign First es uno de los productos de Align ofrecidos para pacientes con dentición mixta.

El objetivo de este artículo es describir un caso clínico de Invisalign First de octava generación (G8) para el tratamiento de sobremordida profunda.

DESCRIPCION DEL CASO

Paciente sexo masculino, 9 años 5 meses de edad, acude a la consulta odontológica para corrección de diastemas y mordida profunda anterior. Al examen clínico se observa clase I molar y canina, diastemas en zona anterior superior e inferior, desviación de línea media inferior 2mm a la derecha, rotaciones leves en incisivos superiores e inferiores, mordida profunda anterior moderada con Overjet de 2.9mm y Overbite de 4.5mm. Sellamiento labial en reposo y perfil facial ligeramente convexo. (Fig.1)

Figura 1. Fotos extraorales e intraorales iniciales del paciente
Figura 1. Fotos extraorales e intraorales iniciales del paciente

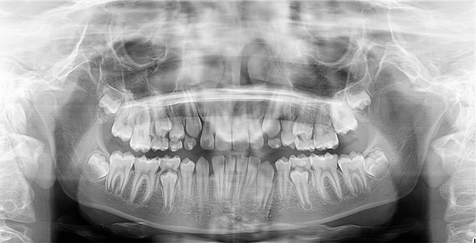
Al observar la radiografía panorámica (figura 2) se observa dentición mixta con secuencia adecuada de erupción y exfoliación, terceros molares en evolución intraosea.

Figura 2. Radiografía panorámica inicial
Figura 2. Radiografía panorámica inicial

El estudio cefalométrico de la radiografía lateral de cráneo deja en evidencia una clase I esquelética (ANB 2, 82º), mesofacial (FMA 27. 6º), incisivos superiores palatinizados y retruidos (1.NA 19, 5º, 1-NA 3,8mm) e incisivos inferiores lingualizados y retruidos. (1. NB 19, 2º, 1-NB 2,9mm). Los incisivos superiores e inferiores se encuentran extruidos. (IS vertical 4,5mm, II vertical 2mm). El análisis facial muestra un maxilar retruido (A’LVV -2mm), y mandíbula retruida (B’LVV -9mm y Pog’LVV -10mm). (Fig.3)

Figura 3. Cefalometría y análisis facial inicial
Figura 3. Cefalometría y análisis facial inicial
Figura 3. Cefalometría y análisis facial inicial

PLAN DE TRATAMIENTO

El objetivo principal del tratamiento es la corrección de la mordida profunda; anexo a esto se busca mejorar la estética mediante el cierre de los espacios anteriores, concentrándolos en lugares estratégicos para la erupción de los dientes permanentes y permitiendo la corrección de la línea media inferior. Además de conseguir la correcta inclinación de los incisivos tanto superiores como inferiores.

Como alternativa se plantearon dos opciones de tratamiento, una de ellas seria con Equiplan; aparato funcional con aditamento para extrusión posterior e intrusión de incisivos. La otra alternativa serían los alineadores tipo Invisalign First, octava generación (G8) y Bite Ramps (5,6).

Planteadas las posibilidades y limitaciones de cada alternativa se decide trabajar con los alineadores que brindan diferentes posibilidades de mecánicas para el logro de todos los objetivos.

Se inicia con el scanner de la cavidad bucal y se envía para la planificación junto con las radiografías y fotografías. El profesional según el diagnóstico realizado mediante el análisis integral del paciente envía las siguientes consideraciones para el plan de tratamiento:

  • Cerrar los espacios superiores simétricamente y concentrar los remanentes en mesial y distal de 5.3 y 6.3
  • Cerrar todos los espacios inferiores concentrando los remanentes en mesial y distal de 7.3 y 8.3; corregir la línea media inferior, utilizando como referencia la línea media superior
  • No realizar movimientos distales en la raíz de 1.2, 2.2, 3.2 y 4.2
  • Intruir y vestibularizar incisivos superiores e inferiores
  • Extruir dientes posteriores superiores e inferiores hasta 0.5mm
  • Finalizar con contactos pesados en posterior, pero sin contactos anteriores
  • No realizar expansión de los arcos dentarios superior e inferior

En respuesta al plan de tratamiento los técnicos envían un total de 15 alineadores con el Clickchek del paciente.

Se da inicio al tratamiento con la instalación de los Attachments convencionales y optimizados de acuerdo con la planificación digital. (Fig.4) Se entrega hasta el tercer alineador con indicación de uso de 10 días cada par. En la segunda sesión de adapta el cuarto alineador y se entrega hasta el octavo, los cuales cambiará cada semana. En la tercera sesión se adapta alineador numero 8 ya que el paciente regresa usando el alineador 7. Se entregan desde el noveno hasta el onceavo alineador. Cuarta sesión entrega hasta alineador número 14. En la última sesión se instala el alineador número 15 y se realiza el scanner final. El tratamiento tuvo una duración de 4 meses y 5 consultas.

Figura 4. Attachments y rampas de mordida (Bite Ramps)
Figura 4. Attachments y rampas de mordida (Bite Ramps)
Figura 4. Attachments y rampas de mordida (Bite Ramps)

RESULTADOS

En la evaluación final debemos resaltar la buena colaboración por parte del paciente y sus padres tanto en el uso de los alineadores como con su higiene. Es así como se logran los siguientes resultados: el Overbite cambiò de 4.5mm a 2.5mm. La curva de Spee fue corregida y los espacios fueron dirigidos según la planificación inicial, concentrándolos en mesial y distal de caninos superiores e inferiores y corrigiendo la línea media inferior; se resolvieron las rotaciones y el problema estético. (Figura 5 y 6)

Dentro de los movimientos más representativos se observa una intrusión entre 0.7mm y 0.9mm para los incisivos superiores y entre 0.8mm y 1.3mm para los incisivos inferiores. La extrusión posterior superior osciló entre 0.1mm y 1.0mm; la extrusión posterior inferior fue entre 0.1mm y 0.5mm (Tabla 1).

Tabla. 1. Movimientos dientes superiores e inferiores
Tabla. 1. Movimientos dientes superiores e inferiores

Los cambios y resultados de la medidas cefalométricas iniciales y finales, y la panorámica final se encuentran en la Figura 6, 7 y 8.

Figura 5. Comparación scanner inicial y final. En verde movimientos realizados según planificación, gris no se detectó ningún movimiento significativo, en morado movimientos en dirección opuesta a la planificación.
Figura 5. Comparación scanner inicial y final. En verde movimientos realizados según planificación, gris no se detectó ningún movimiento significativo, en morado movimientos en dirección opuesta a la planificación.
Figura 6.  Fotos Intraorales finales
Figura 6. Fotos Intraorales finales
Figura 7. Radiografía lateral, LVV y medidas cefalométricas iniciales y finales
Figura 7. Radiografía lateral, LVV y medidas cefalométricas iniciales y finales
Figura 8. Panorámica final
Figura 8. Panorámica final

DISCUSION

Varios autores 4,7,8 señalan como ventaja el sistema Invisalign, la comodidad respecto a la aparatología convencional, la facilidad en la higiene oral y sus posibles efectos adversos respecto a la aparatología fija, como las lesiones de mancha blanca, abrasiones del esmalte, lesiones de esmalte, posibilidad de una higiene bucal sin limitaciones, reducción del riesgo de descalcificación. Mencionan como factor positivo del uso de alineadores en dentición mixta, por ser aparatología removible, la higiene oral en niños es más eficiente y cómoda, comparada con aparatología fija, y como factor negativo o desventaja respecto al éxito del tratamiento, es que este dependerá de la colaboración directa del paciente.

En el caso del paciente hubo una colaboración efectiva, sin incidentes y con mínimo de disconfort.

Otros autores 7,9,10,11 y 12 mencionan que el uso de rampas de mordida mejora la intrusión de incisivos inferiores. Respecto a la generación G8, la intrusión equilibrada con fuerzas diferenciadas, aditamentos optimizados permiten mejorar posición de incisivos y aplanar la curva de Spee, el control de la inclinación de las coronas durante la expansión, son ventajas respecto a generaciones de Invisalign más antiguas.

En este caso clínico, fue utilizada la 8ª Generación, se observó que después de 4 meses de tratamiento, se obtuvo como resultado el 100% de corrección de la sobre mordida profunda. En relación a la parte dental se logró mejorar la inclinación de los incisivos superiores e inferiores hacia vestibular, dejándolos en una posición más favorable. También se logró controlar la retrusion de los incisivos inferiores, corrigiéndolos en su totalidad. No se observaron cambios esqueletales con la corrección dentoalvealar manteniendo el FMA (27º).

Varios autores 7, 9,12,13,14,15 y 16 describen la eficacia del sistema invisalign, aditamentos como rampas de mordida, intrusión de incisivos, extrusión posterior, uso de elásticos, torque radicular de molares y premolares, aditamentos de soporte de expansión optimizados, son efectivos en mecánicas para la corrección de mordidas profundas. Por otro lado, autor 4 difiere y señala, el torque absoluto como movimiento dental que no se puede realizar solo con alineadores dentales y que requieren del uso de aparatología multibraket parcial.

En este caso clínico se consiguió mejorar la inclinación dentaria, tanto en sector anterior como posterior, sin aparatología multibracket adicional.

En la planificación inicial del caso clínico, se esperaba un cambio de Overbite de 4.5mm por uno de 1.9mm, como resultado final se obtuvo 2.5mm, lo que nos lleva a una corrección de 2mm. Tal vez la corrección se deba al uso de Bites Ramps de Invisalign 8ª generación, la cual fue activada en dientes 12,11,22 e incisivos inferiores. Los Bites Ramps, en la cual se utiliza la tecnología SmartForce favorecerá la intrusión de incisivos de manera localizada y controlada, provocando una desoclusion posterior, favoreciendo la extrusión posterior y finalmente la corrección de la curva de Spee.

Autor 4, menciona que los movimientos de extrusión relativa se pueden realizar de manera predecible respecto a la extrusión absoluta, la cual es más compleja, requiere más tiempo y de algunos recursos de aparatología fija. Lo cual coincide con el caso clínico, (tabla 1) donde se observan las intrusiones absolutas y relativas.

Observamos la eficiencia de los alineadores, comparando el planeamiento digital inicial (figura 5) y el resultado final (figura 6). Convirtiendo los alineadores en una excelente opción de tratamiento en dentición mixta.

CONCLUSION

Se concluye que el sistema Invisalign 8ª generación con recursos SmartForce en dentición mixta, es un excelente recurso para la corrección de sobre mordida profunda, en poco espacio de tiempo y con mínimo disconfort en este paciente.

Referencias Bibliográficas

  1. Alarcon A, Andrea M, Etiología, diagnóstico y plan de tratamiento de la mordida profunda – revisión de literatura, revista latinoamericana de ortodoncia y odontopediatría 2014; Art 2.
  2. Natera M, Gasca V, Rodríguez Y, Casasa A, El tratamiento de la mordida profunda- Caso clínico, Revista latinoamericana de ortodoncia y odontopediatría 2005, Art 16.
  3. Cueto A, Fernandeaz R, Efectividad del Equiplan en la mordida profunda. Revista Habanera de Ciencias Médicas 2013; 13 (1); 85-93.
  4. Werner S, Haubrich J, Posibilidades y limitaciones del tratamiento con Invisalign, Quintesssence, 2012; 84-94.
  5. Ayala Saltos, Peres Francisco, Quiros Jelsyka, Sistema Invisalign: revision bibliografica, revista latinoamericana de ortodoncia y odontopediatría 2020, obtenible en: URL http:www.ortodoncia.ws/publicaciones/2020.
  6. Owen Crotty, Phase I orthodontic treatment with Invisalign First clear aligners, first case report series, 2019, disponible en: URL https://orthohacker.com/.
  7. Blevins R, Phase I orthodontic treatment using Invisalign Firts, 2019, JCO; VLIII No; 2 73-83
  8. Cordeiro M, Zago H, Alinhador ortodôntico (Invisalign): uma realidade. Revisão de literatura. RGS.2019; 21 (2): 47-53.
  9. Mazyar Moshiri, Neald, Kravitz, Jonathan Nicozisis, Shawn Miller, Invisalign eighth-generation features for deep-bite correction and posterior arch expansion, seminars in orthodontics, vol 27, No 3, 2021, pag. 175-178.
  10. Al-Balaa M, MA Mohamend M, et al, Predicted and actual outcome of anterior intrusion with Invisalign assessed with cone-beam computed tomography. American Journal of Orthodontics and Dentofacial Orthopedics. March 2021 Vol 159 Issue 3, e275- e280.
  11. Olguin R, Cotrim F, et al, Tratamiento de la mordida profunda con sistema Invisalign: reporte de caso, revista latinoamericana de ortodoncia y odontopediatría 2021, Articulo 11, disponible en: URL http:www.ortodoncia.ws/publicaciones/2021.
  12. Neal D Kravits; Mazyar Moshiri, Jonathan Nicozisis; Shawn Miller; Mechanical considerations for deep- bite correction with aligners, seminars in orthodontics, vol 26, No 3, 2020, pag. 134-138.
  13. Khosravi R, Cohanim B, Hujoel P, Daher S, Neal M, Liu W, Huanga G. Management of overbite with the Invisalign appliance, American Journal of Orthodontics and Dentofacial Orthopedics, 2017 Vol 151 Issue 4, 691-699e2.
  14. Terry Gruelle, Tratamiento ortodôntico de fase I con aligners transparentes Invisalign First, serie de informes de casos Invisalign First, 2019 disponible en: URL https://assets.ctfassets.net/.
  15. Greco M, Rombolá A, Precision bite ramps and aligners: An elective choice for deep bite treatment. Journal of Orthodontics 2021, 1-8.
  16. Henick D, Dayan W, Dunfordc R, Warunekd S, Al-Jewaire T, Effects of Invisalign (G5) with virtual bite ramps for skeletal deep overbite maloclusion correction in adults. Angle Orthodontist, Vo. 91, No 2, 2021. 164-170.