Artículo Original

Uso de Arco Transpalatino modificado para tratamiento de mordida telescopica en paciente adulto

Alexa Gabriela Morales Salcido1; Adriana Rojas Ramirez2; Tijuana, BC3.

Resumen

Introducción: La mordida telescópica es una maloclusión1 poco común en adultos, caracterizada por la posición vestibular de los molares superiores respecto a los inferiores, lo que compromete la función y la estética.

Objetivo: Presentar el abordaje clínico de una paciente adulta con mordida telescópica tratada mediante un arco transpalatino modificado como herramienta biomecánica principal.

Metodología: Se realizó un tratamiento ortodóncico con aparatología fija y diseño personalizado de arco transpalatino con ganchos distales. Se aplicaron fuerzas mediante botones palatinos y cadenas elásticas dirigidas para reposicionar los molares superiores dentro del arco funcional.

Resultados: A lo largo del seguimiento clínico, se logró un ingreso progresivo de los molares al arco maxilar, mejorando la relación oclusal posterior, la función masticatoria y disminuyendo los síntomas de disfunción temporomandibular.

Conclusión: La adaptación del arco transpalatino como herramienta activa de corrección ofrece una alternativa eficaz, mínimamente invasiva y altamente controlada en el tratamiento de maloclusiones transversales en pacientes adultos.

Palabras clave: Arco transpalatino modificado1; Biomecánica2; Caso clínico3; Discrepancias oclusales4; Mordida telescópica5.


Original Article

Abstract

Introduction: Telescopic bite is an uncommon malocclusion in adults, characterized by the buccal position of the upper molars relative to the lower ones, compromising function and aesthetics.

Objective: To present the clinical management of an adult patient with a telescopic bite treated with a modified transpalatal arch as the main biomechanical tool.

Methodology: Orthodontic treatment was performed using fixed appliances and a custom-designed transpalatal arch with distal hooks. Forces were applied through palatal buttons and elastic chains to reposition the upper molars into the functional arch.

Results: Progressive molar repositioning into the maxillary arch was achieved during clinical follow-up, improving posterior occlusal relationship, masticatory function, and reducing temporomandibular dysfunction symptoms.

Conclusion: The adaptation of the transpalatal arch as an active correction tool offers an effective, minimally invasive, and highly controlled alternative for the treatment of transverse malocclusions in adult patients.

Key words: Biomechanics; Case report; Modified transpalatal arch; Occlusal discrepancies; Telescopic bite.


  1. Residente de la especialidad de ortodoncia en en centro de especialidades Odontologicas Renato de Toledo.
  2. Especialista en ortodoncia. Docente del centro de especialidades Odontologicas Renato de Toledo.
  3. México.

INTRODUCCIÓN

El tratamiento ortodóntico en pacientes adultos implica desafíos propios, derivados de la consolidación de patrones oclusales y la limitada remodelación ósea, lo que demanda estrategias biomecánicas precisas y adaptadas a cada caso. Tradicionalmente, la corrección de discrepancias transversales y verticales en esta población ha requerido el empleo de aparatos convencionales; sin embargo, la innovación en el diseño de dispositivos ha permitido potenciar la eficacia terapéutica, minimizando efectos secundarios y reduciendo tiempos de tratamiento.

Se denomina mordida telescópica a una maloclusión en la que las cúspides vestibulares de los molares superiores ocluyen por vestibular de las cúspides vestibulares de los molares inferiores1,2. Este tipo de mordida puede ser unilateral o bilateral y su etiología está relacionada con hábitos orales, falta de espacio, erupciones ectópicas, o posición anómala de los molares2,3.

En este contexto, la modificación del arco transpalatino se elige como una herramienta innovadora que posibilita la redistribución de fuerzas de manera controlada. El arco transpalatino es un aparato auxiliar ampliamente utilizado en ortodoncia para controlar la posición de los molares superiores y mantener la anchura transversal del arco. La biomecánica presentada en este reporte se fundamenta en la adaptación específica de este dispositivo, orientado a corregir discrepancias transversales y a mejorar la estabilidad oclusal sin comprometer la integridad periodontal ni alterar la estética facial. La capacidad de ajustar activaciones de forma precisa, optimizando la respuesta del tejido óseo y la estabilidad a corto y mediano plazo.

El caso de la paciente, a pesar de presentar un patrón esquelético clase I y un crecimiento horizontal con biotipo braquifacial, se observó bloqueo mandibular y discrepancias en la posición dental (ligero apiñamiento, vestibularización de segundos molares superiores y lingualización de primeros molares inferiores). La integración de la biomecánica mediante el arco transpalatino modificado en el plan de tratamiento permitió no solo corregir estas discrepancias, sino también mejorar la función masticatoria y la armonía facial.

Este artículo se centra en detallar la planificación, implementación y seguimiento de este avance biomecánico del caso.

PRESENTACIÓN DEL CASO

Se presenta el caso de una paciente femenina de 25 años de edad, mestiza, sin antecedentes médicos sistémicos relevantes ni historia familiar de maloclusiones. Niega hábitos orales nocivos como succión digital, interposición lingual o respiración bucal crónica. Consulta por razones estéticas y funcionales, dolor articular en la articulación temporomandibular (ATM), chasquidos mandibulares y episodios ocasionales de bloqueo mandibular al intentar abrir completamente la boca.

El examen clínico extraoral revela un perfil recto (figura 1), rostro de forma redondeada, simetría facial adecuada en el plano bipupilar (figura 2) y proporcionalidad entre los tercios faciales. La línea media facial coincide con la línea media dental, y el análisis de los quintos faciales muestra proporciones armoniosas. La sonrisa es media, no consonante, con exposición parcial de los incisivos y presencia de corredores bucales amplios. (figura 3)

Figura 1. Fotografía de perfil.
Figura 1. Fotografía de perfil.
Figura 1. Análisis de quintos.
Figura 1. Análisis de quintos.
Figura 3. Fotografía de sonrisa.
Figura 3. Fotografía de sonrisa.

Intraoralmente, la paciente presenta una relación molar y canina clase I bilateral (figura 4), con apiñamiento leve en el sector anterior de ambas arcadas (figura 5). Se observó un overjet de 2 mm y overbite de 3 mm. Los segundos molares superiores se encontraban ligeramente vestibularizados y fuera del arco, configurando una mordida telescópica (figura 6). Esta posición contribuía a la discrepancia oclusal y a la disfunción funcional referida.

Figura 4. Fotografias intraorales derecha e izquierda.
Figura 4. Fotografias intraorales derecha e izquierda.
Figura 5. Fotografia intraoral de frente.
Figura 5. Fotografia intraoral de frente.
Figura 6. Fotografía oclusal superior.
Figura 6. Fotografía oclusal superior.

El análisis de modelos reveló un exceso dentario en el maxilar superior de 1 mm (0.5 mm anterior y 0.5 mm posterior) según Bolton. La discrepancia perimetral fue de 10 mm en el maxilar superior y 8 mm en la mandíbula, en el contexto de un apiñamiento leve.

Como parte del diagnóstico se utilizaron fotografías clínicas extraorales e intraorales, modelos de estudio en yeso, radiografía panorámica y telerradiografía lateral de cráneo para la realización de un análisis cefalométrico integral. La radiografía panorámica (figura 7) mostró la presencia de los terceros molares superiores (órganos dentarios 18 y 28), ausencia de los terceros molares inferiores (38 y 48), senos maxilares simétricos y una ligera desviación del tabique nasal hacia la izquierda.

El análisis cefalométrico (figura 8), realizado según los métodos de Steiner, Ricketts y Björk–Jarabak, identificó una relación esqueletal clase I con adecuada armonía anteroposterior entre maxilar y mandíbula (ANB = 2°). El perfil facial fue recto y equilibrado, con valores compatibles con un biotipo braquifacial y un patrón de crecimiento horizontal. La sumatoria angular de Björk (386°) respaldó esta tendencia de crecimiento predominantemente horizontal.

En el componente dentario, se evidenció una proinclinación de los incisivos superiores e inferiores. Los valores del ángulo 1-NA (25°) y 1-NB (28°), así como la distancia de los incisivos al plano APo (2.5 mm), indicaron una protrusión dentaria anterior moderada, acompañada por una disminución del ángulo interincisal (115°). Esta configuración es característica de casos con apiñamiento leve y compensaciones dentarias. Los hallazgos también confirmaron que la mordida telescópica observada se relacionaba con la vestibularización de los segundos molares superiores, que se encontraban fuera del arco funcional.

Diagnóstico final: maloclusión clase I con apiñamiento leve, dientes posteriores en mordida telescópica (segundos molares superiores fuera del arco), biotipo braquifacial con patrón horizontal, sonrisa no consonante y síntomas de disfunción temporomandibular.

PLAN DE TRATAMIENTO

El tratamiento ortodóncico propuesto para esta paciente contempla la instalación de aparatología fija convencional en ambas arcadas, utilizando brackets metálicos con prescripción MBT. Se iniciará con la colocación del sistema en el arco superior, desde primer premolar a primer premolar, y se empleará un arco inicial de Nitinol (NiTi) calibre 0.014” para favorecer el alineamiento progresivo de los sectores anteriores.

Posteriormente, se procederá a la colocación de un arco transpalatino (ATP) modificado, adaptado con ganchos distales en ambos extremos. Estos ganchos serán reforzados con resina compuesta para garantizar su estabilidad durante la aplicación de las fuerzas activas. El objetivo principal de este aditamento será facilitar el ingreso controlado al arco de los segundos molares superiores (OD 17 y 27), que se encuentran vestibularizados y fuera del arco funcional.

En las caras palatinas de los molares involucrados se cementarán botones de tracción, desde los cuales se conectarán cadenas elásticas dirigidas hacia los ganchos del ATP. Esta mecánica permitirá generar una fuerza constante en dirección palatina, diseñada para reposicionar progresivamente ambos molares dentro del arco. Dado que el ATP se anclará a los primeros molares, se espera un comportamiento biomecánico de anclaje casi absoluto, minimizando la transmisión de fuerzas no deseadas a otras unidades dentarias.

En caso de pérdida o movilidad de alguno de los ganchos distales del ATP, se contempla como alternativa conectar la tracción directamente al omega del aparato, el cual será reforzado con resina fluida para mantener la estabilidad del anclaje y asegurar la continuidad del movimiento.

Una vez finalizado el ingreso de los molares al arco, se continuará con la progresión de arcos hasta llegar a calibres mayores (16x22 NiTi y posteriormente acero), completando la nivelación y coordinación oclusal. Finalmente, se instalarán dispositivos de contención adecuados para preservar la estabilidad del tratamiento logrado. Según McNamara, el manejo individualizado del anclaje molar puede evitar procedimientos más invasivos y garantizar un control tridimensional más eficiente en pacientes adultos.

SEGUIMIENTO CLÍNICO POR CITAS

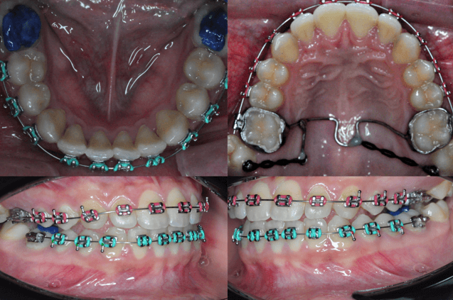
14 de mayo de 2024 – Colocación inicial (figura 9)

Se realizó la instalación del sistema de aparatología fija parcial (SAP) en el arco superior, desde primer premolar a primer premolar, con brackets de prescripción MBT. Se colocaron separadores interdentales en los molares superiores con el objetivo de preparar el espacio para la colocación posterior del arco transpalatino (ATP). Se instaló un arco superior de Nitinol (NiTi) calibre 0.014", para iniciar el alineamiento y nivelación inicial.

11 de junio de 2024 – Activación superior y colocación del ATP modificado

Se realizó el primer ajuste del arco superior. Se cementó el arco transpalatino modificado (ATP) con ganchos distales adicionales en ambos extremos. En las caras palatinas de los órganos dentarios 17 y 27 se colocaron botones de tracción, desde los cuales se fijaron cadenas elásticas hasta los ganchos del ATP. Se mantuvo el mismo arco superior NiTi 0.014".

20 de agosto de 2024 – Activación del ATP y colocación inferior

Se activó el ATP mediante reposición y ajuste de cadenas elásticas, específicamente desde el omega izquierdo del ATP. Se mantuvo el arco superior NiTi 0.016". Se procedió a la colocación del sistema de brackets en el arco inferior (SAP) y se instaló un arco inferior de NiTi calibre 0.014".

24 de septiembre de 2024

Se realizaron ajustes en ambas arcadas. Se mantuvieron los arcos superior e inferior (NiTi 0.016"). Se reactivó el ATP mediante el reemplazo de las cadenas elásticas por nuevas.

25 de octubre de 2024 (figura 10)

Se realizó ajuste clínico en ambas arcadas, manteniéndose los arcos. Se cementó nuevamente el tubo del órgano dentario 36 el cual se había despegado.

13 de diciembre de 2024

Se llevó a cabo el resementado del ATP debido a su desalojo parcial en uno de los molares. Además, se realizó stripping interproximal a nivel de la línea media inferior para ganar espacio.

18 de febrero de 2025

Se realizó el ajuste clínico de ambas arcadas. Se mantuvieron arcos NiTi 0.016" en superior e inferior. Se reposicionó el bracket del órgano dentario 32 (OD 32) y se efectuó stripping mesial y distal en el mismo diente. Se cementó un botón palatino en el órgano dentario 27 (OD 27). La cadena de tracción izquierda se dejó pasiva, mientras que la del lado derecho fue activada nuevamente.

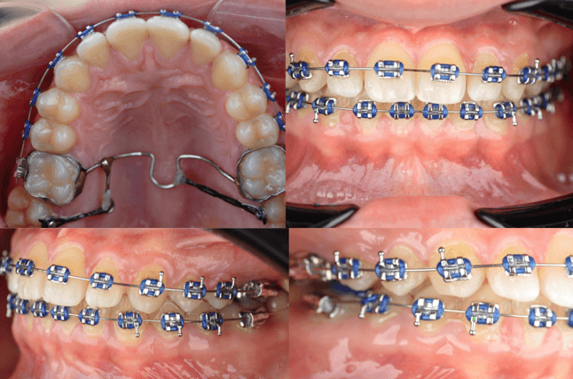
25 de marzo de 2025 (figura 12)

Se reemplazaron los topes anteriores por unos nuevos de menor tamaño. Se cementó un botón lingual en el órgano dentario 47 (OD 47) y uno vestibular en el 17 (OD 17). Se mantuvieron los arcos activos. Se indicaron elásticos cruzados de 1/8" de 2.5 onzas, conectando el botón del 47 con el del 17.

13 de mayo de 2025

Se cambió el arco superior a un rectangular de NiTi 16x22". Se recementó el botón palatino del órgano dentario 47 (OD 47), el cual se había despegado. Se mantuvo el arco inferior sin modificaciones. Hasta esta fecha, los órganos dentarios 17 y 27 continúan fuera del arco, ya que su ingreso se está realizando mediante movimientos individualizados. Se continuó con el uso de elásticos cruzados de 1/8" y 2.5 onzas.

10 de junio 2025 (figura 13)

Se retiraron OD# 18 y 28 el dia 15 de mayo; en su cita de ajuste seretiró el ATP y se colocó tubo en el OD#27 para ingresarlo al arco, el #17 continua con bio ecanica de elasticos cruzados 1/8 2.5oz.

Figura 9. Primera colocación.
Figura 9. Primera colocación.
Figura 10. Ajuste.
Figura 10. Ajuste.
Figura 11. Ajuste.
Figura 11. Ajuste.
Figura 12. Ajuste.
Figura 12. Ajuste.

DISCUSIÓN

La mordida telescópica representa un desafío terapéutico en adultos debido a su baja prevalencia y su impacto funcional a largo plazo.1 Aunque existen diferentes abordajes ortodóncicos para el manejo de discrepancias transversales, el uso de un arco transpalatino modificado proporciona control tridimensional efectivo y evita procedimientos quirúrgicos o el uso de anclaje esquelético en ciertos casos seleccionados.2 Estudios previos han demostrado que este tipo de aparato permite una distribución controlada de las fuerzas cuando se combinan con aditamentos como ganchos distales y botones palatinos.3 La mecánica empleada en el presente caso clínico ha mostrado resultados comparables a los descritos en pacientes jóvenes, aunque existen menos reportes de aplicación en adultos.4 Asimismo, la literatura sugiere que el uso de biomecánicas individualizadas mejora el pronóstico de estabilidad, especialmente en maloclusiones no tratadas durante la adolescencia.5 En este caso, la evolución clínica evidencia que el reposicionamiento molar puede lograrse sin extracciones ni dispositivos adicionales, siempre que se sigan protocolos de control y seguimiento adecuados.6 El arco transpalatino modificado no debe considerarse una innovación radical, sino una herramienta biomecánica versátil dentro del repertorio del ortodoncista, aplicable a casos con buena colaboración del paciente y con un diagnóstico detallado.7

CONCLUSIÓN

El uso del arco transpalatino modificado en el tratamiento de la mordida telescópica en pacientes adultos permitió una corrección progresiva y controlada de la posición molar. Su aplicación se integró exitosamente como parte de una biomecánica funcional, sin recurrir a procedimientos invasivos ni a dispositivos de anclaje extraóseo. El caso clínico presentado evidencia que esta alternativa terapéutica puede ser eficaz para resolver discrepancias transversales en adultos, siempre que se respeten principios de diagnóstico y planificación individualizada. La clave del éxito radica en el seguimiento clínico cercano y el control preciso del vector de fuerza en cada etapa del tratamiento.

Referencias Bibliográficas

  1. Arrechea D, Lucero A. Tratamiento de mordida telescópica en adultos. Rev Ortodoncia Latinoamericana. 2018;35(2):98-105.
  2. Ferreira PC, Rocha A, Almeida RC. Transpalatal arch in adult orthodontics: a functional approach. J Clin Orthod. 2021;55(3):152-9.
  3. Chen Y, Wang J. Mechanics of customized TPA in posterior crossbite. Am J Orthod Dentofacial Orthop. 2020;158(4):e421-e429.
  4. Kim SH, Park YC, Lee KJ. Clinical performance of TPAs in adult patients. Korean J Orthod. 2019;49(5):310-8.
  5. Gonzalez C, Restrepo S. Predictability of biomechanical protocols in adult malocclusions. Int Orthod J. 2021;19(1):45-54.
  6. Li X, Xu T, Hu Y. Maxillary molar control with TPAs: clinical implications. Eur J Orthod. 2022;44(2):203-9.
  7. Rivera-Morales A. Biomechanical versatility of TPAs in complex cases. Orthod Update. 2023;16(3):112-9.
  8. Moyers RE. Ortodoncia. 4. ed. Buenos Aires: Editorial Médica Panamericana; 1991.
  9. Proffit WR, Fields HW, Sarver DM. Ortodoncia contemporánea. 5. ed. Madrid: Elsevier; 2013.
  10. Moyers RE. Manual de ortodoncia. 4. ed. México: Interamericana; 1991.
  11. Graber TM, Vanarsdall RL, Vig KWL. Ortodoncia: principios y técnicas actuales. 5. ed. Barcelona: Elsevier; 2013.
  12. McNamara JA. Orthodontics and dentofacial orthopedics. Michigan: Needham Press; 2001.