Reporte de caso

Enfoque combinado ortodoncia-rehabilitación en paciente adulta con pérdidas dentarias. Relato de Caso.

Thales Lippi-Ciantelli1 , Mariana Carrasquel-González2 , Yelitza Salas-Pacheco3 ,
Adriana Souza-de Jesus4 , Rayane Pinto-de Oliveira5 , Gabriel Bravo-Vallejo6

Resumen

La ortodoncia pre-protésica es una fase necesaria donde los aspectos individuales de cada tratamiento estén dirigidos a optimizar la salud bucal, especialmente en pacientes adultos. La integración multidisciplinaria para determinar el momento ideal de la colocación de los implantes dentales y de sus coronas desempeña un papel fundamental en el desarrollo de la planificación y la eficiencia del tratamiento. El objetivo de este trabajo es presentar un relato de caso donde el tratamiento fue conducido de forma multidisciplinaria, con actuación conjunta de la ortodoncia, implantología y rehabilitación. Los resultados clínicos presentados muestran que fue posible realizar intrusión de molares superiores y corrección del apiñamiento por distalización, para adaptar los espacios necesarios para la realización de la rehabilitación postero inferior. Las biomecánicas fueron ancladas en mini-implantes. Obteniéndose resultados satisfactorios tanto estéticos como funcionales. Se concluye que la rehabilitación integral fue alcanzada mediante el soporte multidisciplinario entre ortodoncista, implantólogo y rehabilitador.

Palabras clave: Implante dental. Estética. Rehabilitación. Ortodoncia.


Original Article

Abstract

Pre-prosthetic orthodontics is a necessary phase, where the individual aspects of each treatment are directed toward optimizing oral health, especially in adult patients. Multidisciplinary integration to determine the ideal timing of dental implant and crown placement plays a fundamental role in the development of treatment planning and efficiency. The objective of this paper is to present a case report where the treatment was conducted in a multidisciplinary manner, with the combined intervention of orthodontics, implantology, and rehabilitation. The clinical results presented show that it was possible to perform intrusion of upper molars and correction of crowding by distalization, to adapt the necessary spaces for the lower posterior restoration. The biomechanical restorations were anchored with mini-implants, obtaining satisfactory results both aesthetically and functionally. It is concluded that comprehensive rehabilitation was achieved through multidisciplinary support among the orthodontist, implantologist, and rehabilitation specialist.

Key words: Dental implant. Esthetics. Rehabilitation. Orthodontics.


  1. Magister en Ortodoncia. Filiación Universidad: Aurea Ensino Superior, Post grados en Odontología, Sorocaba-São Paolo, Brasil. Dirección. Av. Dr. Armando Pannunzio, 1911- Jardim Vera Cruz, Sorocaba- SP, Brasil. ORCID: 0000-0003-3828-235X
  2. Especialista en Ortodoncia. Filiación Práctica privada: práctica privada, Santiago, Chile ORCID: 0009-0003-8831-680X
  3. Especialista en Ortodoncia. Filiación Práctica privada: práctica privada, Santiago, Chile. ORCID: 0009-0003-5654-1818
  4. Doctorado en Ortodoncia. Filiación Universidad: Aurea Ensino Superior, Post grados en Odontología, Sorocaba-São Paolo, Brasil. ORCID: 0000-0002-2889-112X
  5. Doctorado en Ortodoncia. Filiación Universidad: Aurea Ensino Superior, Post grados en Odontología, Sorocaba-São Paolo, Brasil. ORCID: 0000-0002-3966-9727
  6. Magister en Ortodoncia. Filiación Universidad: Departamento de Ortodontia, Faculdade de Bauru, Universidade de São Paolo, Bauru, São Paolo, Brasil. ORCID: 0000-0001-9040-2238
  7. Autor de correspondencia: Yelitza Salas-Pacheco. Filiación Práctica privada: práctica privada, Avenida Pajaritos 3195. Piso 8. Oficina 814,9250000, Maipú, Santiago, Chile. +56967461564. [email protected]

Introducción

El manejo exitoso de las necesidades dentales funcionales y estéticas de un paciente frecuentemente requiere un enfoque multidisciplinario (1). La posibilidad de salvar y rehabilitar una dentición deteriorada no solo depende del número de dientes remanentes, de su estado periodontal y grado de destrucción, sino también en gran medida de la morfología de la apófisis alveolar y de la posición de los dientes dentro de ella. La ortodoncia juega un papel importante como disciplina complementaria en la generación de la base óptima para el restablecimiento de una dentición sana y funcional, con suerte con un pronóstico de por vida. (2) . Una de esas vías de colaboración es entre el ortodoncista, rehabilitador oral e implantólogo. La terapia de ortodoncia también puede ayudar al cirujano a preparar el sitio quirúrgico para la colocación del implante(3).

Al tener perdida de una pieza dental a temprana edad trae como consecuencia la extrusión de diente antagonista donde en muchos casos es considerado la intrusión dental como uno de los movimientos más difíciles de inducir en ortodoncia (2) utilizando la mecánica convencional, la principal dificultad radica en la necesidad de asegurar el control del anclaje, que es muy complicado de conseguir, con el fin de evitar las recidivas. (4).

Para ello es de suma importancia realizar una evaluación radiográfica exhaustiva, que incluya de ser necesario periapicales de todos los dientes. Donde sea posible observar en detalle el nivel óseo de cada uno. Ya que la planificación del anclaje es crítica en el movimiento de dientes con pérdida de inserción, situación común en el paciente adulto.(5) De haber una disminución ósea marcada en los dientes posteriores existirá una mayor tendencia a pérdida de anclaje y extrusión. Puesto que hay un desplazamiento apical del centro de resistencia, por lo que las fuerzas aplicadas deben reducirse en proporción al nivel de pérdida ósea.(5)

La ausencia de molares mandibulares es la mayor causa de extrusión de los molares antagonistas, lo que conduce a la interferencia oclusal, problemas funcionales que pueden ocurrir con deterioro de la salud periodontal. Esto complica la rehabilitación protésica del diente mandibular. La entrada de ortodoncia evita este problema.

Los medios convencionales requieren el mantener todos los dientes como sea posible para fortalecerlos anclar y evitar ciertos movimientos no deseados después de la perdida de una pieza dental, el uso de minitornillos ha permitido superar estos paradigmas sobre todo en adultos que sufren frecuentemente de pérdidas de piezas dentales.(6)

Otra de las alternativas para realizar intrusión de molares es mediante la confección de una barra transpalatina anclada a bandas en molares, esta se diseña manteniendo una separación de la mucosa palatina, para que la lengua entre en contacto y así generar un movimiento intrusivo de los molares.(7,8) Esta opción se puede considerar en casos donde no hay posibilidad de realizar un anclaje esquelético, bien sea por costo económico o por anatomía como la presencia de seno neumatizado.

La indicación del tratamiento de ortodoncia puede variar considerablemente a los ojos de diferentes clínicos. Es esencial diferenciar entre la ortodoncia como alternativa y la ortodoncia como componente de tratamiento, para la colocación de los implantes, y la necesidad de la distribución de los espacios. En resumen, durante la última década, las posibilidades de restaurar incluso una dentición severamente deteriorada han aumentado considerablemente, el trabajo clínico diario sin duda se vuelve más desafiantes que nunca, pero también hay que destacar que la necesidad de un excelente equipo de trabajo es imprescindible. Este trabajo ha demostrado el arte de la ortodoncia como complemento de una rehabilitación dental. El objetivo de este trabajo es relatar el caso de una paciente adulta con pérdida de múltiples dientes y un abordaje multidisciplinario.

Informe del Caso

Diagnóstico

Paciente de sexo femenino, de 64 años de edad, acude a consulta referida por su implantólogo. Queja de la paciente: Ausencia de piezas dentales y necesidad de reposición de estas.

En el análisis facial frontal presenta simetría facial, buen sellado labial, tercios faciales equilibrados, mesofacial. (fig.1a). Línea media dentaria superior desviada a la derecha con respecto a la línea media facial. (fig.1b) En el lateral reveló un Patrón I, perfil recto. (fig.1c)

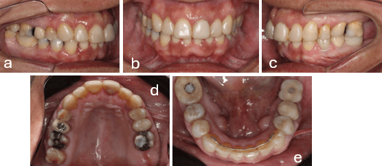
En el examen intraoral se observa Mal Oclusión de Clase II, división 2 subdivisión izquierda Tipo 2. Relación Molar ½ Clase II izquierda, Clase I derecha. Relación canina Clase I derecha, ½ Clase II izquierda. La línea media superior e inferior coincidentes. Overbite de 2 mm Overjet de 2 mm y mordida cruzada del 1.2 (fig. 2 a, b y c)

Arco superior con atresia y apiñamiento leve, molares 1.6 y 2.6 extruidos; 2.1 con cambio de coloración por tratamiento de endodoncia previo (Figura 2d), arco inferior forma triangular y apiñamiento moderado; corona del 4.6 defectuosa. Restauración oclusal de amalgama de 4.8 fracturada; dentición permanente con ausencia de piezas dentarias 3.6, 3.7 y 4.7 (fig. 2e).

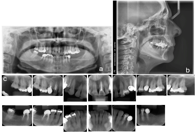
En la radiografía panorámica se observan contornos óseos regulares, las piezas dentarias 1.5, 1.4, 2.1, 3.4, 3.5 y 4.6 con endodoncia y coronas en unidades dentarias 1.5, 3.5 y 4.6 e imagen radiolúcida apical en la 1.5 de posible lesión previo al tratamiento de conducto, imagen radiopaca compatible con amalgamas en dientes 2.5, 2.6, 2.7 y 4.8. (fig. 3a)

En la telerradiografía lateral paciente Clase II esquelética, normodivergente, incisivos superiores retroinclinados e incisivos inferiores protruidos y proinclinados. (fig. 3b)

En la periapical total se observa dilaceración de raíces de 1.6, perdida parcial de corona en 1.4 y 3.4, imágenes radiolúcidas en distal de piezas 1.3, 1.1, 2.2 y mesial en unidad dentaria 2.3, imágenes radiopacas compatibles con amalgamas en unidades 1.6, 2.6, 2.7, 4.4, 4.5 y 4.8. (fig. 3c)

Tabla1.- Objetivos y alternativas de tratamiento.
Tabla1.- Objetivos y alternativas de tratamiento.

En la terapia ortodóncica es determinante el patrón y perfil facial del paciente para la elección de un tratamiento con extracciones o no. (9) En este caso la paciente presenta un patrón I con perfil recto. Por lo que la primera alternativa de tratamiento planteada con extracciones es descartada puesto que alteraría el perfil, el cual se considera bueno y sin alteración.

Evaluando la segunda alternativa, al ser una paciente adulta donde su queja principal es la ausencia de unidades dentaria, sin queja de su perfil facial. Este plan de tratamiento requeriría de una intervención más invasiva e idealista, que no abordaría en un principio la queja principal de la paciente.

Quedando seleccionada la tercera opción la cual a pesar de no considerar la corrección de la mal oclusión de Clase II. Cumple lo objetivos principales del tratamiento de manera más conservadora y realista ante las exigencias de un paciente adulto. (Tabla 1)

Evolución del tratamiento

Se inicia el tratamiento con cementación superior, con Brackets Elation MB(GAC Orthomax, Dentsply Sirona orthodontics, Nueva California, USA) de prescripción Roth de slot 0.022”, arco inicial 0.014 Termocooper (Orthometric, Marilia, Sao Paulo, Brasil) (fig. 4a y b).

Se procede a realizar la cementación de botones simple de ortodoncia (Morelli, Sorocaba, Sao Paulo, Brasil) en la pieza 1.6 solo en la cara palatina y en 2.6 se colocan en la cara vestibular y palatina (fig. 4c y 4d).

Se instalan de 2 mini-implantes interradiculares en la hemiarcada izquierda 8x2x1.5 Morelli, (Sorocaba, Sao Paulo, Brasil) (fig. 4d). El primero es ubicado en la zona del vestíbulo, entre la raíz mesial segundo molar maxilar izquierdo y la raíz distal del primer molar superior izquierdo. El segundo en la zona palatina, entre la raíz palatina del segundo premolar superior izquierdo y la raíz palatina del primer molar superior izquierdo.

Son instalados 2 mini implantes 8x2x1.5 Morelli (Sorocaba, Sao Paulo, Brasil) en la hermiarcada superior derecha de igual forma a lo anteriormente descrito. (fig.4d) Esto considerando el volumen de la mucosa palatina, vestibular, del hueso y de la cortical. Fue implementada una fuerza de intrusión de 40 gramos por cada raíz.

Fue realizada la exodoncia de la pieza 4.6 por tener corona defectuosa, posteriormente se instala la aparatología inferior con Brackets Elation MB (GAC Orthomax, Dentsply Sirona orthodontics, Nueva California, USA) de prescripción Roth de slot 0.022. Arco inicial 0.014 Termocooper Orthometric (Marilia, Sao Paolo, Brasil) (fig.5e)

Se instala mini-implante interradicular de 8x2x1.5 Morelli (Sorocaba, Sao Paolo, Brasil) en la región retromolar del cuarto cuadrante. Se inicia con mecánica de distalización de dicho cuadrante aplicando 250 gramos de fuerza. Se continua en el maxilar superior con alineación y nivelación y activación de mecánicas de intrusión de primeros molares superiores (1.6 y 2.6). (fig.5d).

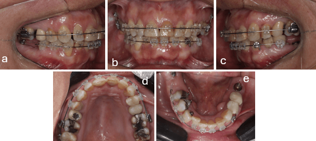
Después de 8 meses de progreso del tratamiento, avanza a arco acero superior 0.017x0.025. (fig. 6d) Se ancla con ligadura metálica desde vestibular y palatino de la pieza 1.6 y 2.6 hacia los mini implantes asegurando las mecánicas de intrusión. En la arcada inferior se utiliza arco 0.016x0.022 Termocooper Orthometric (Marilia, Sao Paolo, Brasil) se regularizan los espacios para la pieza 4.3 y mejorar el apiñamiento anteroinferior con la mecánica de distalización. Se realiza la colocación del implante de 3.6 (fig.6e).

Se retira ortodoncia superior con la redistribución de espacios, posteriormente se colocan carillas provisorias de adaptación (fig.7b). En inferior se mantiene arco acero 0.017x0.025 se realiza doblez de off set para piezas 4.4 y 4.5. Con confección adicional de cantiléver anclado a el implante del 4.6 para mejorar canteo del plano oclusal inferior (fig. 7a). Se colocan coronas provisorias sobre implantes 3.6 y 4.6. Coronas provisorias de 3.5 y 3.4 (fig. 7e)

Resultados

Los resultados obtenidos al final del tratamiento de ortodoncia se consideraron satisfactorios. Se mostró que la paciente no sufrió cambios significativos esqueletales. También se evidenció que la inclinación y protrusión de los incisivos inferiores disminuyó considerablemente, proporcionando una mejora en la forma de la arcada superior, el arco inferior y también del plano oclusal, así como en la intercuspidación, después de la instalación de los implantes. (fig.8a-e)

Además, el paciente obtuvo una sonrisa armoniosa y funcional a pesar de que se mantuvo la relación molar de Clase II del lado izquierdo. Esto se considera dentro de lo estimado ya que de igual forma se conservaron las líneas medias coincidentes y no se alteró el perfil facial de la paciente. Tomando en cuenta que por ser paciente adulta se han establecido objetivos reales, acorde a su queja inicial. Dejando a un lado los objetivos ideales. (fig.10b)

Finalmente es colocada un retenedor fijo 3x3 en la arcada inferior. En la arcada superior se indica placa de bruxismo de uso nocturno. (fig. 8d-e)

Discusión

La corrección de mal oclusiones en paciente adulto mayor conlleva un plan de tratamiento que debe implementarse en diversas etapas de la mano con la especialidad de implantología y rehabilitación. En este caso fue necesario inicialmente tratar en la intrusión de los dientes postero superiores. Con el objetivo de crear espacio para la rehabilitación inferior. El movimiento de intrusión es uno de los más complejos de realizar en ortodoncia ya que el anclaje debe ser bien controlado para evitar movimientos indeseables.(6).

Para realizar intrusión de molares existen varias alternativas, entre ellas está la barra transpalatina anclada a bandas en molares, se diseña manteniendo una separación de la mucosa palatina, para que la lengua entre en contacto y así generar un movimiento intrusivo de los molares.(7,8) Esta opción se puede considerar en casos donde no hay posibilidad de realizar un anclaje esquelético, bien sea por costo económico o por anatomía como la presencia de seno neumatizado.

El anclaje esquelético es considerado una herramienta que permite abordar la intrusión de manera eficaz. Siendo considerada una opción para pacientes adultos con molares maxilares supraerupcionados que se muestran rehaceos a utilizar aparatos fijos y mecánicas complejas. Donde se debe tener cuidado especialmente en la ubicación de los mini tornillos y la aplicación de las fuerzas. (11,12)La recomendación para estos casos es uno en vestibular y otro en palatino lo más apicalmente posible, respetando la encía queratinizada, conectados mediante cadenas elásticas a botones en los molares.(4)

Donde se ejerza una fuerza intrusiva (200 g) desde los miniimplantes directamente a los molares extruidos utilizando cadenas elastoméricas, logrando una intrusión absoluta de una media de 4.2 mm (11) Culminada la fase de intrusión activa es necesario un periodo de reorganización celular. Para ello se indica conectar mediante ligadura metálica el diente al minitornillo durante un periodo de al menos tres meses.(6) Si bien la intrusión ortodóncica aumenta el tiempo de tratamiento rehabilitador, existen beneficios para el paciente con este abordaje más conservador. (11) Como la creación de espacio necesaria para la rehabilitación del diente antagonista.

La intrusión en este caso está considerada como una biomecánica posible debido que no había defectos óseos verticales en los molares superiores, los estudios demuestran que la intrusión debe realizarse con periodonto sano. De existir enfermedad periodontal, se puede realizar la intrusión una vez controlada, a pesar de tener pérdida de inserción, ya que el tratamiento de ortodoncia puede incluso mejorar el soporte óseo y el pronóstico de estabilización de los resultados periodontales a largo plazo. Considerando que el periodonto sólo responde favorablemente al movimiento de ortodoncia si está sano.(13)

En nuestra paciente, en la arcada inferior debido al mal estado de la corona del 4.6 se realiza su extracción con el objetivo a su vez de hallar espacio necesario para aplicar una biomecánica de distalización para la corrección del apiñamiento anterior y ubicación del canino en el arco. Una vez más se utiliza como aliado al anclaje esquelético el cual se ubica en la zona retromolar. Se debe tomar en cuenta que a la hora de realizar una distalización con mini implantes extrarradiculares en posición vertical, el punto de apoyo de la fuerza puede generar uno u otro momento como resultado(14).

En este caso se ancla directamente al arco dando como resultado un momento antihorario que verticaliza los premolares mesioinclinados y a su vez apertura un espacio para la ubicación del canino, al igual que genera una leve retroinclinación en los incisivos inferiores. Esto debido a que la fuerza es aplicada en un punto más oclusal al centro de resistencia.(14) Se debe hacer énfasis en que el uso de este tipo de mini implantes ubicados en el reborde no supone un obstáculo para el movimiento dentario en la zona de inserción. (15)

Durante estas biomecánicas fue paralelamente rehabilitado el sector posterior izquierdo y derecho, respectivamente. Se utiliza como unidad de anclaje para la corrección del canteo del plano inferior el implante del 4.6. colocando un cantiléver desde el tubo directamente al arco. Los implantes debido a su estabilidad en el hueso pueden servir como un anclaje firme. (3) Evitando así los efectos colaterales y logrando una verdadera intrusión del plano inferior del lado derecho.

Fue considerado desde el inicio la no corrección de la Mal Oclusión de Clase II subdivisión, esto es posible ya que las líneas medias dentarias de la paciente se encuentran coincidentes y su perfil es armónico. Esto se puede planificar en este tipo de casos de paciente adulto con necesidades protésicas. Debido a que se prioriza la recuperación salud periodontal y el logro de una oclusión funcional, mediante la rehabilitación de las unidades dentarias. (Figura 12) (13)

Los pacientes adultos, en general, son más resilientes en cuanto a los resultados obtenidos en el tratamiento, pero casi siempre solicitan que el proceso sea rápido. (16) Sin embargo, la ortodoncia en pacientes adultos ha aumentado debido al cambio en la apariencia que proporciona y, en consecuencia, en la autopercepción de la belleza. Corregir las maloclusiones en este tipo de pacientes suele ser un reto, ya que, lamentablemente, en la mayoría de los casos, se producen múltiples ausencias dentales por extracciones previas o colapso de la mordida con disminución de la dimensión vertical. (5)

Es necesario destacar la importancia de un trabajo interdisciplinario entre el rehabilitador, implantólogo y ortodoncista(16). Esto con el fin de visualizar el momento ideal para la aplicación de las biomecánicas y si es posible el uso de los implantes como anclaje. Ya que según la planificación previa se determina la ubicación de cada uno de los implantes, que puede ser antes, durante o posterior al tratamiento de ortodoncia correctiva(16). En este caso se rehabilito el sector postero inferior una vez culminada la alineación, nivelación, intrusión del sector postero superior y distalización. Pudiendo ser más precisa así la cantidad de espacio disponible para su localización.

Dando paso a otra etapa más enfocada en lo funcional y estético con la confección de carillas de resina en el sector superior y coronas sobre implantes, ambas definitivas. Donde es considerada las peticiones del paciente antes de iniciar el tratamiento, como es mejorar la forma de su sonrisa. Obteniendo como resultado el cumplimiento de la mayoría de los objetivos del tratamiento como lo es una oclusión funcional, armonía al sonreír, colorimetría optima y estética en el sector anterosuperior y por último la satisfacción del paciente adulto mayor con el cumplimiento de sus expectativas mejorando su autopercepción de belleza. (fig.9y10) Viendo, así como un tratamiento integral puede tener un impacto positivo en la calidad de vida del paciente. (1)

Conclusión

El resultado del objetivo en este caso fue posible tratar la extrusión excesiva de perdida temprana de piezas dentales, rehabilitar para la colocación de implantes, con mecánicas utilizando anclaje esquelético, el resultado estético y funcional final se consiguió mediante el soporte multidisciplinario entre ortodoncista, implantólogo y rehabilitador. Es por eso necesario el trabajo enfocado en una rehabilitación integral que restaure dentro de lo posible una óptima salud bucal, satisfaciendo las expectativas del paciente.

Figura 2.- Fotos Intraorales Iniciales.
Figura 2.- Fotos Intraorales Iniciales.
a) Lateral derecha b) Frontal c) Lateral izquierda d) Oclusal superior e) Oclusal inferior
Figura 3.- Radiografías Iniciales
Figura 3.- Radiografías Iniciales
a) Panorámica b) Telerradiografía lateral c) Periapical total
Figura 4.- Cementación superior y biomecánicas de intrusión
Figura 4.- Cementación superior y biomecánicas de intrusión
a) Lateral derecha b) Frontal c) Lateral izquierda d) Oclusal superior e) Oclusal inferior
Figura 5.- Cementación inferior, biomecánicas de intrusión de molares superiores y distalización del cuarto cuadrante inferior.
Figura 5.- Cementación inferior, biomecánicas de intrusión de molares superiores y distalización del cuarto cuadrante inferior.
Figura 6.- Anclaje de biomecánica de Intrusión. Mecánica de distalización del cuarto cuadrante y colocación de pilar de conexión de implante dental pieza 3.6.
Figura 6.- Anclaje de biomecánica de Intrusión. Mecánica de distalización del cuarto cuadrante y colocación de pilar de conexión de implante dental pieza 3.6.
a) Lateral derecha b) Frontal c) Lateral izquierda d) Oclusal superior e) Oclusal inferior
Figura 7. - fotografías Intraorales. Retiro ortodoncia superior. Colocación de coronas sobre implantes piezas 3.6 y 4.6. Coronas piezas 3.4 y 3.5.
Figura 7. - fotografías Intraorales. Retiro ortodoncia superior. Colocación de coronas sobre implantes piezas 3.6 y 4.6. Coronas piezas 3.4 y 3.5.
a) Lateral derecha b) Frontal c) Lateral izquierda d) Oclusal superior
e) Oclusal inferior
Figura 8. - Fotografias Intraorales finales.
Figura 8. - Fotografias Intraorales finales.
a) Lateral derecha b) Frontal c) Lateral izquierda d) Oclusal superior e) Oclusal inferior
Figura 9.- Radiografías Finales.
Figura 9.- Radiografías Finales.
a) Panorámica b) Telerradiografía lateral.
Figura 10.- Fotografías Comparativas Inicial y Final.
Figura 10.- Fotografías Comparativas Inicial y Final.
Tabla 2. – Análisis cefalométrico comparativo inicial y final.
Tabla 2. – Análisis cefalométrico comparativo inicial y final.

Referencias Bibliográficas

  1. Alfallaj H. Pre-prosthetic orthodontics. Vol. 32, Saudi Dental Journal. Elsevier B.V.; 2020. p. 7–14.
  2. Melsen Birte and Agerbaek Nina. PERIODONTOLOGY 2000. Periodontology 2000. 1994;4:148–59.
  3. Huang LH, Shotwell JL, Wang HL. Dental implants for orthodontic anchorage. Vol. 127, American Journal of Orthodontics and Dentofacial Orthopedics. 2005. p. 713–22.
  4. Vital Benavides O, Cruz S, Chang P. Microimplantes, una nueva opción en el tratamiento de Ortodoncia. Ortodoncia Odontología Vital. 2016;63:63–75.
  5. Feu D. Orthodontic treatment of periodontal patients: challenges and solutions, from planning to retention. Dental Press J Orthod. 2020;25.
  6. Ayadi I, Dallel I, Ben Rejeb S, Tobji S, Ben Amor F, Ben Amor A. Ingression orthodontique sur mini-vis d’ancrage. Vol. 89, L’ Orthodontie francaise. NLM (Medline); 2018. p. 397–410.
  7. Dilip Kumar N, Gopal Krishna BR, Shamnur N, Mithun K, Kumar ND. None Source of Support: Nil Modified Transpalatal Arch for Molar Intrusion. Journal of International Oral Health. 20 de agosto de 2014;6(6):88–9.
  8. Shyagali T, Sen P, Tiwari R. TRAP Intrusion Arch-Modification of Transpalatal Arch for an effective Intrusion of Molars and Premolars. Journal of Orofacial Research. 28 de marzo de 2019;8(1):1–3.
  9. Capelozza L. Diagnóstico en Ortodoncia. Paraná: Dental Press; 2005.
  10. Vela-Hernández A, López-García R, García-Sanz V, Paredes-Gallardo V, Lasagabaster-Latorre F. Nonsurgical treatment of skeletal anterior open bite in adult patients: Posterior build-ups. Angle Orthodontist. 1 de enero de 2017;87(1):33–40.
  11. Pinzan-Vercelino C, Gurgel J, Carvalho K, Tiago C, Pinzan A. Clinical Evaluation of a Direct Method for the Intrusion of Supraerupted Maxillary Molars: A Preliminary Study. Int J Prosthodont. noviembre de 2015;28(6):610–1.
  12. Lee KJ, Park YC, Hwang CJ, Kim YJ, Choi TH, Yoo HM, et al. Displacement pattern of the maxillary arch depending on miniscrew position in sliding mechanics. American Journal of Orthodontics and Dentofacial Orthopedics. agosto de 2011;140(2):224–32.
  13. Feu D. Orthodontic treatment of periodontal patients: Challenges and solutions, from planning to retention. Dental Press J Orthod. 1 de noviembre de 2020;25(6):79–116.
  14. Almeida MR. Biomechanics of extra-alveolar mini-implants. Dental Press J Orthod. 1 de julio de 2019;24(4):93–109.
  15. Iels D, Tosf AN, La S, Figueiredo S. Miniimplantes verticales sobre la cresta: creando anclaje ortodóncico en casos de pérdida múltiple dentaria.
  16. Kokich VG. Managing Complex Orthodontic Problems: The Use of Implants for Anchorage. 1996.