Reporte de caso

Maloclusión clase III por hiperplasia condilar tratado bajo el enfoque surgery first
Reporte de un caso clínico

Diaz-Ochoa Evelyn1 ; Munoz-Gelvez Ruben2 ; Zalnieriunas Ambar3 ;
Colmenares-Faraco Mariel4 ; Guerrero-Castro Efrain4

Resumen

La maloclusión Clase III representa un desafío diagnóstico y terapéutico frecuente en Ortodoncia, su correcta identificación es fundamental para planificar un tratamiento adecuado. Existen diversos métodos diagnósticos desde fotografías extraorales, modelos de estudio estáticos y articulados, radiografía panorámica, radiografía posteroinferior, tomografía con reconstrucción 3D, gammagrafías óseas y estudios histopatológicos para el diagnóstico de la hiperplasia. El tratamiento siempre va orientado a un enfoque multidisciplinario ortodóncico quirúrgico, siendo el tratamiento estándar Condilectomia Alta y Cirugía Ortognática que puede ser realizada en el mismo acto quirúrgico o después. Este artículo tiene como objetivo presentar un caso clínico de un paciente de 13 años, con diagnostico de Maloclusión Clase III Esqueletal, Prognatismo Mandibular consecuente de una Hiperplasia Condilar Unilateral tratado con Tratamiento Ortodóncico quirúrgico bajo el Enfoque de Surgery First en el Postgrado de Ortopedia Dentofacial y Ortodoncia de la Facultad de Odontología de la Universidad de Carabobo. En este caso, la Maloclusión Clase III fue ocasionada por una Hiperplasia Condilar Unilateral Izquierda secundario a un traumatismo en la primera infancia, que se fue manifestando progresivamente con el crecimiento resultando una alteración esqueletal verdadera que afectó la autopercepción del paciente en la etapa de la adolescencia, siendo este el motivo de consulta de los padres en la búsqueda de mejorar la estética para recuperar la auto confianza del paciente. Se ejecutó el plan de tratamiento por fases, iniciando con ortodoncia pre-quirúrgica, alineación y nivelación, seguido de la fase quirúrgica Condilectomía Alta, Osteotomía Le Fort I, Genioplastia y la fase ortodóntica de finalización.

Palabras clave: Surgery First, Maloclusión Clase III, hiperplasia condilar, asimetría facial, ortodoncia quirúrgica.


Case report

Class III malocclusion due to condylar hyperplasia treated under the surgery first protocol.
Clinical case report

Abstract

Class III malocclusion represents a common diagnostic and therapeutic challenge in orthodontics; its correct identification is essential for planning appropriate treatment. Various diagnostic methods are available, including extraoral photographs, static and articulated study models, panoramic radiographs, posterior inferior radiographs, computed tomography with 3D reconstruction, bone scans, and histopathological studies for diagnosing hyperplasia. Treatment is always oriented toward a multidisciplinary orthodontic-surgical approach, with the standard treatment being high condylectomy and orthognathic surgery, which can be performed during the same surgical procedure or subsequently. This article presents a clinical case of a 13-year-old patient diagnosed with skeletal Class III malocclusion, mandibular prognathism resulting from unilateral condylar hyperplasia, treated with surgical orthodontic treatment using the Surgery First approach in the Postgraduate Program in Dentofacial Orthopedics and Orthodontics at the Faculty of Dentistry of the University of Carabobo. In this case, the Class III malocclusion was caused by unilateral left condylar hyperplasia secondary to early childhood trauma. This progressively manifested with growth, resulting in a true skeletal alteration that affected the patient's self-perception during adolescence. This was the reason the parents consulted in their search for aesthetic improvements and a return to self-confidence. The treatment plan was implemented in phases, beginning with pre-surgical orthodontics, alignment, and leveling, followed by the surgical phase: high condylectomy, Le Fort I osteotomy, genioplasty, and the final orthodontic phase.

Key words: Surgery First, Class III malocclusion, condylar hyperplasia, facial asymmetry, surgical orthodontics.


  1. Odontólogo. Especialista en Ortopedia Dentofacial y Ortodoncia. Universidad de Carabobo. Venezuela. Miembro de la Sociedad Venezolana de Ortodoncia. Certified Registered Dental Hygienist State of Florida. USA. ORCID ID: 0009-0007-8509-995X.
  2. Odontólogo. Medico. Especialista en Cirugía Oral y Maxilofacial. Fellow Cleft and Craneofacial Surgeon. Hospital Universitario Dr. Angel Larralde. Universidad de Carabobo. Miembro de la Sociedad Venezolana de Cirugía Oral y Maxilofacial. ORCID ID: 0000-0003-1505-4282.
  3. Odontólogo. Especialista en Odontopediatría y Especialista en Ortodoncia, Universidad Central de Venezuela. Miembro de la Sociedad Venezolana de Odontopediatría y de la Sociedad Venezolana de Ortodoncia. ORCID ID: 0000-0002-3853-6818.
  4. Odontólogo. Especialista en Odontopediatría. Especialista en Docencia para la Educación Superior. Magister en Investigación Educativa. Universidad de Carabobo. PhD en Gerencia. Universidad Yacambú. Prof. Titular de Farmacología y Terapéutica. Universidad de Carabobo. ORCID ID: 0009-0005-4563-102X.
  5. Odontólogo. Magister en Investigación Educativa Universidad de Carabobo. ORCID ID: 0009-0009-2618-514X

Introducción

La hiperplasia Condilar (HC) fue descrita inicialmente por Robert Adams en 1836 como una patología compleja, poco común, autolimitante y deformante, a causa del crecimiento desproporcionado del cóndilo mandibular con respecto al crecimiento fisiológico, con las consecuentes alteraciones de la función y de la estética facial, debido a la alteración del tamaño y morfología ósea, que ocasiona una asimetría facial por el sobrecrecimiento no neoplásico de la cabeza y cuello del cóndilo de forma unilateral o bilateral, crecimiento asimétrico del cuerpo y de la rama mandibular resultando en un prognatismo mandibular o maloclusión Clase III junto a la desviación del mentón hacia el lado contralateral, alteración de la oclusión con mordida cruzada contralateral, mordida abierta posterior ipsilateral y canteo del plano oclusal, asimetría facial, disfunción de la articulación temporomandibular, desequilibrio neuromuscular y patología dolorosa miofascial. También afecta indirectamente al maxilar el cual puede quedarse en una posición de retrognatismo.1,2,3,4

Aunque su etiología no está completamente definida, se cree que este sobrecrecimiento se origina bien sea por alteraciones vasculares del cóndilo, desórdenes hormonales y exostosis cartilaginosa que corresponde a factores intrínsecos o extrínsecos como un trauma o infecciones. Suele manifestarse entre la segunda y tercera década de la vida y aunque es independiente del sexo suele afectar más a las mujeres que hombres. 4,5,6,8

La Maloclusión Clase III definida por Angle se basa en la posición del primer molar inferior en una relación adelantada con respecto al primer molar superior, lo cual trae consigo una posición adelantada del canino inferior y una posición borde a borde de los incisivos superiores e inferiores o una mordida cruzada a nivel de los incisivos.7,9

Existen diversos métodos diagnósticos que van desde fotografías extraorales, modelos de estudio estáticos y articulados, radiografía panorámica, radiografía posteroinferior, tomografía con reconstrucción 3D, gammagrafías óseas y estudios histopatológicos para el diagnóstico de la hiperplasia.9,10

El tratamiento siempre va orientado a un enfoque multidisciplinario ortodóncico quirúrgico, siendo el tratamiento estándar Condilectomia Alta y Cirugía Ortognática que puede ser realizada en el mismo acto quirúrgico o después, en el cual se elimina la parte activa del cóndilo afectado y se reemplaza el disco para eliminar el centro de crecimiento. La mordida abierta posterior puede ser tratada postquirúrgicamente a través del tratamiento ortodóncico con el uso de elásticos intermaxilares, con el objetivo de alcanzar la corrección del plano oclusal y la normalización de los parámetros oclusales y faciales. Sin embargo, cuando la Condilectomia Alta es aplicada sola sin la Cirugía Ortognática la corrección facial y oclusal no siempre es la adecuada, sobre todo después de la pubertad cuando el crecimiento condilar ha culminado y por ende ha finalizado el crecimiento compensatorio. El tratamiento ortodóncico quirúrgico sigue un enfoque secuencial, pero en casos seleccionados el protocolo Surgery First permite una corrección inmediata de la discrepancia esquelética, mejorado la apariencia estética en periodos tempranos.10,11,12,18

El Rol del Ortodoncista conlleva a una gran responsabilidad sobre el paciente, en la valoración inicial y en la determinación de un correcto diagnóstico que guiará la correcta aplicación del Plan de Tratamiento, por medio del trabajo interdisciplinario con el Cirujano Maxilofacial para corregir la forma y función a través del Tratamiento Ortodóncico combinado con Cirugía Ortognática.13,14,19

Las ventajas de tratar al paciente bajo este enfoque es la corrección inmediata de los tejidos bandos (labios, mejillas y lengua) y la perturbación esquelética. Se establecen los dientes en una mejor posición después de la cirugía, lo que facilita el movimiento dental ortodóncico restante. Sin embargo la desventaja es la dificultad de predecir la oclusión final debido a las interferencias oclusales y cualquier error quirúrgico menor puede comprometer la oclusión final.

Objetivos del Tratamiento Ortodóncico Quirúrgico bajo el Enfoque de Cirugía Primero

  1. Lograr armonía facial a través de la corrección de la forma
  2. Establecer una correcta relación Molar Clase I al corregir la maloclusión Clase II o Clase III, según sea el caso. Se debe corregir la relación molar en el lado contrario a donde se encuentra la hiperplasia condilar unilateral y en caso de que se tratara de una hiperplasia condilar bilateral, la corrección de la relación molar y canina será en ambos lados derecho e izquierdo.
  3. Corregir Mordidas Cruzadas, anterior o posterior.
  4. Corregir Mordidas Abiertas, anterior o posterior.
  5. Lograr el resalte adecuado (Overjet) y sobremordida (Overbite).
  6. Corrección de los torques modificados de la zona posterior, que se originaron como resultado de la compensación de la oclusión los cuales retardaron la manifestación evidente del problema.
  7. Restablecer una adecuada función articular y armonía muscular.
  8. Recuperación de la Autoestima del paciente al obtener una corrección pronta o inmediata de su estética facial y así evitar el bullying en esta importante etapa del crecimiento.

Este articulo tiene como objetivo presentar un Caso Clínico de un paciente con un Diagnóstico de Maloclusión Clase III Esqueletal con Prognatismo Mandibular consecuente de una Hiperplasia Condilar Unilateral tratado con Tratamiento Ortodóncico quirúrgico bajo el Enfoque de Surgery First tratado en el Postgrado de Ortopedia Dentofacial y Ortodoncia de la Facultad de Odontología de la Universidad de Carabobo.

Descripción del caso clínico

Este caso clínico se trata de un Paciente Masculino de 13 años de edad con una Deformidad Dentofacial verdadera con una Maloclusión Clase III por Prognatismo Mandibular e Hipoplasia del tercio medio facial y deficiencia del maxilar con su consecuente mordida cruzada anterior, problemas en la masticación, disfunción en la articulación temporomandibular y alteraciones en la postura cráneo cervical, con una evidente afección de la estética facial.

Esta Maloclusión Clase III fue ocasionada por una Hiperplasia Condilar Unilateral Izquierda secundario a un traumatismo en la primera infancia, lo cual se fue manifestando de forma progresiva con el crecimiento resultando en una alteración esqueletal verdadera que afectó la autopercepción del paciente en la etapa de la adolescencia, con la consecuente afección del autoestima, siendo este el principal motivo de consulta de los padres, en la búsqueda de una mejoría estética y así recuperar la auto confianza del paciente.

Luego de realizar todos los estudios diagnósticos pertinentes y de ser discutido el caso clínico de forma interdisciplinario, al cumplir con todos los requisitos de inclusión, este paciente fue seleccionado para ser tratado con el Protocolo de Surgery First debido a que cumple con los criterios fundamentales para ser tratado bajo este enfoque, en primer lugar presenta una verdadera Deformidad Dentofacial esqueletal Clase III que amerita corrección con cirugía ortognática con necesidad de corrección inmediata, ya que la estética y la auto percepción del paciente están comprometidas, presenta un apiñamiento dentario leve que no requiere ser corregido con extracciones, por lo tanto requerirá de una mínima etapa de alineación y nivelación que permitirá una adaptación de arcos quirúrgicos previos a la cirugía, la discrepancia horizontal, vertical y transversal es de pequeñas dimensiones, la curva de Spee es pequeña, y la oclusión es estable con al menos tres puntos de contacto firmes para establecer la oclusión postoperatoria inmediata.

Métodos Diagnósticos

Fotografías Extraorales Iniciales

Fotografías Extraorales Iniciales
Fotografías Extraorales Iniciales

Fotografías Intraorales Iniciales

Fotografías Intraorales Iniciales
Fotografías Intraorales Iniciales

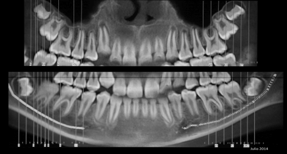
Radiografía Panorámica Inicial

Se puede evidenciar la elongación del cóndilo mandibular izquierdo

Radiografía Panorámica Inicial
Radiografía Panorámica Inicial

Cefalometría Lateral Inicial

Cefalometría Lateral Inicial
Cefalometría Lateral Inicial

Se realizaron análisis cefalométrico de Ricketts donde se evidencian características como concavidad facial, altura facial disminuida, alteración de la altura facial posterior con el plano Xi por debajo del plano oclusal, Retroinclinación del incisivo superior y Proinclinación y protrusión del incisivo inferior, labio superior corto y en retroquelia y proquelia del labio inferior, prognatismo condilar y prognatismo mandibular, patrón de crecimiento horizontal con tendencia al biotipo braquifacial.

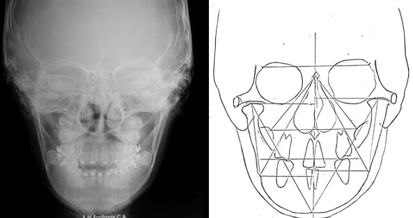
Radiografía Postero Anterior Inicial

Radiografía Postero Anterior Inicial
Radiografía Postero Anterior Inicial

Donde se puede evidenciar la marcada asimetría facial e hiperplasia condilar izquierda.

Tomografía Cone Beam Inicial

Tomografía Cone Beam Inicial
Tomografía Cone Beam Inicial
Tomografía Cone Beam Inicial
Tomografía Cone Beam Inicial
Tomografía Cone Beam Inicial
Tomografía Cone Beam Inicial
Tomografía Cone Beam Inicial
Tomografía Cone Beam Inicial
Tomografía Cone Beam Inicial
Tomografía Cone Beam Inicial

Evidencia tomográfica de la rápida evolución de la hiperplasia condilar

Montaje en Articulador Semiajustable y Cirugía de Modelo

Montaje en Articulador Semiajustable y Cirugía de Modelo
Montaje en Articulador Semiajustable y Cirugía de Modelo

Diagnóstico

Diagnóstico Funcional

Respirador Bucal, alteración de la postura cervical con una ligera inclinación hacia adelante.

Diagnóstico Esquelético

DVS -1 mm, VERT -1,64mm que describe un patrón de crecimiento braquifacial, hipoplasia maxilar (Gl-Sn), Hiperplasia mandibular (Gl-Pg), surco mentolabial pronunciado (Si/Li- Pg), Prognatismo Condilar (Po-PtV), Altura Facial inferior disminuida (Gl-Sn/Sn-Me) con un marcado patrón de crecimiento horizontal y biotipo facial braquifacial severo.

Todos estos valores describen una Anomalía Dentofacial Clase III secundario a deficiencia Postero anterior maxilar y prognatismo mandibular secundario a una Hiperplasia condilar izquierda.17,18,19

Diagnóstico Funcional

Respirador Bucal, alteración de la postura cervical con una ligera inclinación hacia adelante.

Diagnóstico Esquelético

DVS -1 mm, VERT -1,64mm que describe un patrón de crecimiento braquifacial, hipoplasia maxilar (Gl-Sn), Hiperplasia mandibular (Gl-Pg), surco mentolabial pronunciado (Si/Li- Pg), Prognatismo Condilar (Po-PtV), Altura Facial inferior disminuida (Gl-Sn/Sn-Me) con un marcado patrón de crecimiento horizontal y biotipo facial braquifacial severo.

Todos estos valores describen una Anomalía Dentofacial Clase III secundario a deficiencia Postero anterior maxilar y prognatismo mandibular secundario a una Hiperplasia condilar izquierda.17,18,19

Diagnóstico Dentario

Maloclusión de Angle: Clase III molar, Clase III Canino, Mordida cruzada anterior

Maloclusión Dewey Anderson: Clase III, Tipo 3

Clasificación de Proffit: 1,2,7

Posiciones dentarias: Retroinclinación del incisivo superior y Proinclinación y protrusión del incisivo inferior

Diagnostico Estético

Asimetría Facial

Perfil: Cóncavo, Retroquelia Superior y Proquelia inferior, GAP de 7 mm (Stms – Stmi) describiendo una incompetencia labial.

Plan de tratamiento

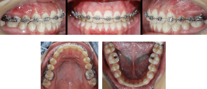
Ortodoncia Correctiva Pre Quirúrgica con sistema de Brackets Prescripción Roth Slot 0.022” x 0,028” Sin Exodoncias

Fase Higiénica Odontología General

Higiene bucal, profilaxis, Operatoria UD 41

Ortodoncia Pre quirúrgica. Fase Inicial

  • Alineación, Nivelación y Desrotación de premolares
  • Intrusión sector Anteroinferior

Fotografías Iniciales de Inicio de Tratamiento de Ortodoncia Prequirúrgica

Fotografías Iniciales de Inicio de Tratamiento de Ortodoncia Prequirúrgica
Fotografías Iniciales de Inicio de Tratamiento de Ortodoncia Prequirúrgica

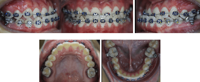
Fotografías Intraorales Pre Quirúrgicas

Fotografías Intraorales Pre Quirúrgicas
Fotografías Intraorales Pre Quirúrgicas

El paciente se ha tratado bajo el concepto de Surgery First ya que se realizó la intervención quirúrgica de forma temprana con una mínima alineación y nivelación, evitando las desventajas de una larga etapa de ortodoncia prequirúrgica.

Fase Quirúrgica

  • Condilectomia Alta
  • Osteotomía Le Fort I
  • Genioplastia
Condilectomia Alta
Condilectomia Alta
Osteotomía Le Fort I y Genioplastia
Osteotomía Le Fort I y Genioplastia

Fase Ortodoncia Post Quirúrgica y Finalización

  • Realineación y nivelación
  • Consecucion de las Clase I molares y caninas
  • Correcta ubicación de los dientes en sus bases oseas
  • Torques y tips correctos
  • Logro del correcto Overjet y overbite
Fase Ortodoncia Post Quirúrgica y Finalización
Fase Ortodoncia Post Quirúrgica y Finalización

En esta fase de Ortodoncia post quirúrgica donde se aprovecho el fenómeno de Aceleración Regional que se activa gracias a la cirugía ortognática y se lograron los objetivos oclusales, funcionales y estéticas en poco tiempo.

Fase de Finalización

  • Paralelismo de raíces
  • Detallado
  • Elásticos Clase III
  • Perfeccionamiento de los torques
Fase de Finalización
Fase de Finalización

Fase de contención

  • Placa Hawley Superior
  • Retenedor Fijo Inferior (de Canino a canino con alambre de braided)
Fase de contención
Fase de contención

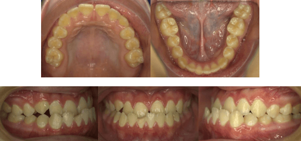
Fotografías Post Quirúrgicas Extraorales

Fotografías Post Quirúrgicas Extraorales
Fotografías Post Quirúrgicas Extraorales

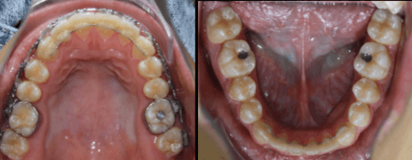
Fotografías Post Quirúrgicas Intraorales

Fotografías Post Quirúrgicas Intraorales
Fotografías Post Quirúrgicas Intraorales

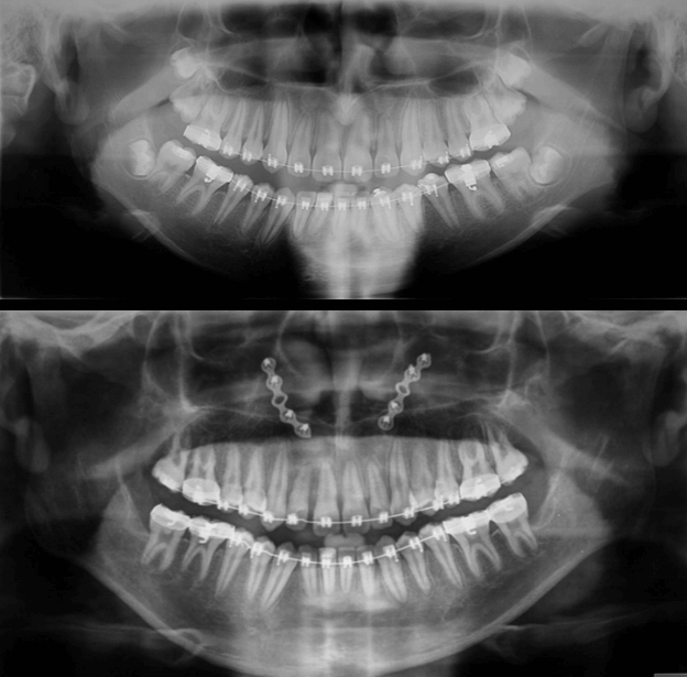
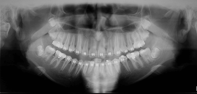
Radiografía Panorámica Final

Radiografía Panorámica Final
Radiografía Panorámica Final

Radiografía Panorámica Comparativa

Radiografía Panorámica Comparativa
Radiografía Panorámica Comparativa

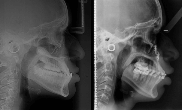
Radiografía Cefálica Lateral Final

Radiografía Cefálica Lateral Final
Radiografía Cefálica Lateral Final

Radiografía Cefálica Lateral Comparativa

Radiografía Cefálica Lateral Comparativa
Radiografía Cefálica Lateral Comparativa

Cefalograma Lateral Comparativa

Cefalograma Lateral Comparativa
Cefalograma Lateral Comparativa

Radiografía Postero Anterior Final

Radiografía Postero Anterior Final
Radiografía Postero Anterior Final

Radiografía Postero Anterior Comparativa

Radiografía Postero Anterior Comparativa
Radiografía Postero Anterior Comparativa

Discusión

El tratamiento ortodóncico quirúrgico sigue un enfoque secuencial, pero en casos seleccionados el protocolo Surgery First permite una corrección inmediata de la discrepancia esquelética, mejorado la apariencia estética en periodos tempranos, trastornos secundarios como la mordida abierta posterior puede ser tratada postquirúrgicamente a través del tratamiento ortodóncico con el uso de elásticos intermaxilares, con el objetivo de alcanzar la corrección del plano oclusal y la normalización de los parámetros oclusales y faciales.2,4,6

La evidencia científica ha demostrado que los pacientes atendidos bajo este enfoque se muestran extremadamente satisfechos con sus resultados estéticos inmediatos al inicio del tratamiento y valoran los tiempos de tratamiento más cortos, así mismo la respuesta temprana a su demanda hace que mejore la cooperación del paciente en las citas de ortodoncia constantemente, además que se registra la mejoría del entorno psicoafectivo y de autoconfianza al solucionar la deformidad esqueletal rápidamente.22,24,25,27

Al igual que los estudios de Kumar, Kim y Liao quienes reportaron casos clínicos de pacientes con maloclusión Clase III tratados con Cirugía Ortognática primero, Condilectomia, genioplastia y corticotomías, lo que facilito el movimiento dental ortodóncico postquirúrgico fue atribuido al fenómeno aceleratorio Regional. Oclusales.2,8,12

Asimismo, es determinante la cohesión entre el Ortodoncista y el Cirujano Bucal y Maxilofacial, realizar un diagnóstico asertivo, que permita establecer un pronóstico real, además identificar la relación oclusal, esquelética y facial que se obtendrá luego de la cirugía, predecir cuáles serán los movimientos ortodónticos a realizar en la fase de ortodoncia postquirúrgica, de igual forma si los dientes naturalmente se alinearon buscando una compensación dental a la discrepancia ósea inicial, el movimiento quirúrgico debe ser lo suficiente para lograr esa descompensación dental en la ortodoncia que se realizará luego de la cirugía, el cirujano debe ser capaz de alinear los componentes esqueléticos para que coincidan con las posiciones predichas y la oclusión con precisión.26,27

Es fundamental tener el resultado final en mente a través de la predicción del tratamiento quirúrgico y de la ortodoncia postoperatoria, al igual que se realizó en este Caso Clínico, autores como Kumar, Faber, Hernández, Kim, Piero y Park usaron la planificación con métodos convencionales como la cirugía de modelo, confección de férulas quirúrgicas y fabricación de arcos quirúrgicos en contraste con los demás autores que describen el uso de planificación virtual 3D por medio del sistema CAD/CAM y la estereolitografía para la simulación virtual de las osteotomías lo cual reduce el tiempo de trabajo y da una mayor precisión de los resultados.2,5,6,8,14,23,24

La mayoría de los autores hacen énfasis en los resultados positivos con el uso de este enfoque de tratamiento, tal como lo describen Diaz y Colaboradores en su revisión sistemática la principal ventaja es la eliminación o la inversión del menor tiempo posible en la etapa de ortodoncia prequirúrgica reportando casos donde se realizo el cementado de brackets, 1 mes antes, 2 semanas antes, una semana antes, un día antes e incluso casos donde no se cementaron brackets antes de la intervención quirúrgica, en este caso se cementaron los brackets 3 meses antes de la intervención quirúrgica siendo una cirugía temprana bajo el enfoque y con el protocolo de Surgery First.27

Conclusiones

Actualmente, se establece una nueva tendencia en los protocolos de tratamiento ortodóncico quirúrgico, obteniendo el beneficio anticipado de la cirugía Ortognática, en búsqueda de satisfacer las necesidades de los pacientes, los cuales demandan rapidez y estética, sin sufrir las consecuencias de una preparación ortodoncia prequirúrgica convencional y además de contribuir a tener pacientes más satisfechos y profesionales con consultas más eficaces y eficientes.

En consecuencia, este paradigma representa un novedoso esquema para la corrección quirúrgica en periodos tempranos permitiendo resolver el problema del paciente, mejorando inmediatamente la apariencia física, se resuelve su principal motivo de consulta, mejora su condición psicológica y el ortodoncista puede trabajar bajo una base ósea ya corregida además de que los beneficios biológicos del Fenómeno Aceleratorio regional lo cual disminuye el tiempo total de un Tratamiento Ortodóncico Quirúrgico.

Independientemente de las evidentes ventajas de este enfoque, es imprescindible la rigurosa selección de los pacientes y la planificación detallada del tratamiento. La comunicación constante entre el cirujano y el ortodoncista son absolutamente indispensables, para evitar cualquier tipo de complicación bien sea al momento del cirujano posicionar las bases óseas y conseguir esa estabilidad primaria, o en el transcurso de las fases ortodónticas de alineación y nivelación, para ello se requiere mucho conocimiento con respecto a este enfoque que actualmente considerando las necesidades psicológicas, afectivas, emocionales y estéticas del paciente, está siendo planteado por múltiples profesionales.

La selección del presente caso para ser tratado con el protocolo de Surgery First, cumple con los criterios fundamentales para seguir este enfoque, en primer lugar presentar una verdadera deformidad dentofacial esqueletal Clase III, que requiere corrección con cirugía ortognática inmediata, ya que la estética y la auto percepción del paciente estaban comprometidas, presentaba un apiñamiento leve sin necesidad de extracciones lo cual dio oportunidad de una mínima etapa de alineación y nivelación que permitió una adaptación de arcos quirúrgicos previos a la cirugía, la discrepancia horizontal, vertical y transversal de pequeñas dimensiones, y la curva de Spee pequeña, la oclusión estable con al menos tres puntos de contacto firmes para establecer la oclusión postoperatoria inmediata.11,17,20,22

Un factor fundamental a considerar es la influencia psicológica que puede ejercer esta deformidad esquelética en un adolescente, debido a que es una etapa donde se desarrolla la autonomía pero apoyada en la autoestima, por lo tanto si está afectada significativamente la autopercepción y aunado a esto recibe opiniones negativas, burlas o es objeto de bullying escolar, se pueden esperar respuestas negativas para la salud mental del paciente, que pueden ir desde crisis depresivas, cambios de humor, conducta agresiva, hasta la autoagresión. En consecuencia en estos casos es imperativo actuar rápidamente, trabajando en equipos transdisciplinarios para cubrir todos los requerimientos del paciente.11,12,14,18,20

Es fundamental que el Ortodoncista establezca un buen diagnóstico que permita el diseño de un adecuado plan de tratamiento, saber de donde está partiendo para saber a dónde quiere llegar, así mismo identificar la relación oclusal, esquelética y facial que obtendrá luego de la Cirugía, predecir cuáles serán los movimientos ortodónticos que realizara en la fase de ortodoncia postquirúrgica, de igual forma si los dientes naturalmente se alinearon buscando una compensación dental a la discrepancia ósea inicial, el cirujano debe ser capaz de organizar los componentes del esqueleto para que coincida con las posiciones del esqueleto predichas y la oclusión con precisión.

Ortodoncistas deben ser conscientes de los principios y límites del Ortognática en movimiento ortodóncico, y planificar el tratamiento ortodóncico postoperatorio incluir alineación dental, descompensación incisivo, coordinación arco e interdigitación oclusal. El cirujano debe ser capaz de realizar osteotomía designado y fijación intermaxilar con placa de mordida oclusión de arcos dentales mal alineados y proporcionando la estabilidad después de reposición esquelética. Y lo más importante de este valioso trabajo en equipo es devolver la autoestima del paciente y con ello su bienestar emocional.

Referencias Bibliográficas

  1. Da Silva de C. L. Consideraciones Generales en el Diagnóstico y tratamiento de las Maloclusiones Clase III. Revista Latinoamericana de Ortodoncia y Odontopediatría & Ortodoncia.ws edición electrónica julio 2005. Disponible en: www.ortodoncia.ws
  2. Kumar N., Sharma H., Siddiqui A., Hedaoo A. Surgery First Approach: Paradigm Shift in Orthognathic Surgery. International Journal of Dental and Health Sciences 2015; (02) 349-354.
  3. Loaiza A. Las maloclusiones y su relación con la autoestima en pacientes con tratamiento ortodóntico. Trabajo Especial de Grado. Área de Estudios de Postgrado Especialidad de Ortopedia Dentofacial y Ortodoncia, Facultad de odontología de la Universidad de Carabobo. Venezuela 2009.
  4. Bell WH, Proffit W, White R. Surgical Correction of Dentofacial Deformities. Volúmen 1. Filadelfia: Saunders; 1980. P. 353-359.
  5. Faber J. Anticipated Benefit: a new protocol for orthognathic surgery treatment that eliminates the need for conventional orthodontic preparation. Dental Press J. Orthod. 2010; 15 (1): 144-157. Disponible en: http://www.scielo.br/scielo.php?pid=S217694512010000100016&script=sci_arttext&tlng
  6. Hernández F. Guijarro R. On a definition of the appropriate timing for surgical intervention in orthognathic surgery. Int. J. Oral Maxillofac. Surg. Barcelona 2014. Disponible en: http://www.ijoms.com/article/S0901-5027(14)00068-X/abstract.
  7. Liou EJ, Chen P, Wang Y, Yu C, Juang C, Chen Y. Surgery-First Accelerated Orthognathic Surgery: Orthodontic guidelines and set up for model surgery. J oral Maxillofac Surg Usa 2011. 69(3): 771-780. PubMed PMID: 21257249.
  8. Kim J., Mahdavie N., Evans C. Guidelines for Surgery First Orthodontic Treatment. Orthodontics – Basic Aspects and Clinical Considerations. Publisher inTech; 2012 Pp 265-298.
  9. Cárcamo I., Aguirre A., Castro A., Vivanco I., Navarro A. & Andrade T. Tratamiento de un paciente Clase III con protocolo de cirugía primero: reporte de caso. Revista Oral. 2022; 23(72). 2074-2081.
  10. Hernandez F., Guijarro R., Peiro M Surgery First in Orthognathic Surgery: What have we learned? A comprehensive workflow based on 45 consecutive cases. American Association. J Oral Maxillofacial Surg. 2014 72 (2): 376’90. Doi: 10.1016. Pub Med: 241392292.
  11. Fernández W. William A., Mateu M. Tratamiento ortodóncico-quirúrgico bajo el Enfoque de Cirugía Primero: Revisión de la Literatura. Revista Latinoamericana de Ortodoncia y Odontopediatría. 2020
  12. Liao Y., Chiu Y., Huang C., Ko E., Chen Y. Presurgical orthodontics versus no presurgical orthodontics: treatment outcome of surgical-orthodontic correction for skeletal class III open bite. 2010; 126 (6):2074-8 Disponible en: http://www.ncbi.nlm.nih.gov/pubmed/21124147.
  13. Huang X, Cen X, Sun W, Xia K, Yu L, JL, et al. The impact of surgery-first approach on the oral health-related quality of life: a systematic review and meta analysis. BMC Oral Health. 2019; 19(136).
  14. Hernandez F., Guijarro R. On a definition of the appropriate timing for surgical intervention in orthognathic surgery. Int J. Oral Maxillofac Surg. 2014 43 (7): 846-55. PubMed PMDI: 246314424.
  15. Peiro M., Guijarro R., Hernández F., Surgery first in orthognathic surgery: A systematic review of the literatura. Am J Orthod Dentofacial Orthop 2016; 149(4): 448-62. PubMed PMID: 27021449.
  16. Virga C,; Aguzzi A., De Leonardi A. Evaluation of alkaline phosphatase in normal male rats treated with subcutaneously way of bisphosphonates. Síndrome Cardiometabólico 2012; 2 (1) 4-8. Disponible: http://132.248.9.34/hevila/sindromecardiometabolico/2012/vol2/no1/1.pdf
  17. Yang L., Xiao Y., Liang Y., Xi Wang J., Liao G. Does surgery-first approach get better outcomes in orthognathic surgery, a systematic review and meta-analysis. Journal of Oral and Maxillofacial Surgery. 2017; 06(002).
  18. Huan C., Hsy S., Chen Y. Systematic Review of the Surgery First Approach in Orthognatic Surgery. Biomed J 2014; 37 (4) 184-190. PubMed: PMDI 25116713.
  19. Villegas C, Oberti G, Jimenez I, Franchi L, Baccetti T. Early Orthognathic surgery in growing class III patients. J of Clinc Orthod 2010.44(11): 651-654. PubMed PMID: 21488431
  20. Wei H, Liu Z, Zang J, Wang X. Surgery first/early orthognathic approachmay yield poorer postoperative stability than conventional orthodontics-first approach: a systematic review and meta-analysis. Oral and Maxillofacial Surgery. 2018.
  21. Chiung S., Sam S., Yu Chen. Systematic Review of the Surgeryfirst Approach in Orthognathic Surgery. Biomed J 2014; (37):184-190.
  22. Aristizabal J. Treatment in 41 Days Using a Customized Passive Self Ligation System and the Surgery First Approach. J.O.C. 2019; 53(3).
  23. Ballinas P. & Baldivia I. Caso clínico: tratamiento quirúrgico-ortodóncico (surgery first). Revista Mexicana de Ortodoncia. 2018; 6(4): 246-253)
  24. Park K., Sandor G., Kim D. Skeletal stability of surgery-first bimaxillary orthognathic surgery for skeletal class III malocclusion, using standardized criteria. J. Oral Maxillofac. Surg. 2016; 45(35–40).
  25. Liao Y., Chen Y., Yao C., Chen Y., Chen Y. Long-term outcomes of bimaxillary surgery for treatment of asymmetric skeletal class III deformity using surgery-first approach. Clinical Oral Investigations. 2018.
  26. Pedraza R., Serna J., Bolaños J. Surgery First Approach in Skeletal Class III with Condylar Hyperplasia. Acta de Otorrinolaringología & Cirugía de Cabeza y Cuello. 2013; 41(2): 147-152.
  27. Yu C., Chen P., Liou E., Huang C., Yu R. 2010. Surgery first Approach in Surgical orthodontic Treatment of Mandibular Prognathism. A Case Report. Chang Gung Med J; 2010; 33 (6):699-705. PubMed PMID: 21199616.
  28. Diaz E., Carrasquel K., Garvett J., Colmenarez F., Dommar B. Tratamiento en pacientes Clase III bajo el enfoque de Cirugia Ortognatica Primero. Revision Sistematica. Revista Latinoamericana de Ortodoncia y Odontopediatria. Año 2024. Obtenible en https://www.ortodoncia.ws/publicaciones/2024/art-28/