Reporte de caso clínico

Resolución de Incisivo Central Retenido en Posición Horizontal.
Manejo Ortodóntico-Quirúrgico

Juan Coronel Ma1, Galo Guzmán C2, Gabriela Muñoz M3

Resumen

Ortodoncia y Ortopedia Maxilar dentro de su práctica clínica y el pronóstico para la resolución de los diversos casos no es el mismo, dependerá de varios factores como son: diagnóstico tridimensional mediante estudios imagenológicos 3D, edad del paciente, factores ambientales, consideraciones de salud sistémica del paciente, colaboración del paciente, etc.

El diagnóstico mediante diversas técnicas imagenológicas y el seguimiento del tratamiento prevendrá el aparecimiento de efectos adversos y también ayudará a prolongar la estabilidad del tratamiento de tracción que se haya empleado para solucionar la retención dentaria.

Palabras clave: Tracción, diente retenido, IC (Incisivo Central), TMA, CBCT


Case report

Resolution of a Retained Central Incisor in a Horizontal Position. Orthodontic-Surgical Management.
Clinical trial report

Abstract

Tooth retention syndrome is a daily challenge faced by orthodontic and maxillary orthopedic specialists in their clinical practice. The prognosis for resolution of different cases varies. It depends on several factors, such as: three-dimensional diagnosis using 3D imaging studies, patient age, environmental factors, patient systemic health considerations, patient cooperation, etc.

Diagnosis using various imaging techniques and treatment follow-up will prevent the onset of adverse effects and also help prolong the stability of the traction treatment used to resolve the tooth retention.

Key words: Traction, Tooth Retention, Central Incisor, TMA, CBCT


  1. Esp. Ortodoncia, Esp. Radiología dentomaxilofacial/Docente
  2. Esp. Cirugía Maxilofacial
  3. Odontóloga, Facultad de Odontología, Universidad Central del Ecuador
  4. Correspondencia: Juan Carlos Coronel Mendoza, Correo electrónico: [email protected]

Introducción

El síndrome de retención dentaria se caracteriza por la presencia de una pieza dental dentro del hueso alveolar de la arcada superior o inferior encontrándose con algún impedimento que le permita cumplir con los parámetros normales de erupción. Dicho proceso puede venir acompañado de presencia de patologías orales como la presencia de dientes supernumerarios, quistes odontogénicos (Quistes dentígeros, Queratoquiste), neoplasias odontogénicas (Odontomas compuestos o complejos) o se puede generar posterior a traumatismos dentoalveolares en donde el eje de erupción del diente permanente se modifica y se traduce a una erupción ectópica. (1)

Diagnóstico de dientes retenidos

El diagnóstico de dientes retenidos comúnmente se realiza a través de estudios extraorales bidimensionales como la radiografía panorámica o radiografías intraorales periapicales utilizando la técnica de Clark o principio del desplazamiento. Si el objetivo es realizar un estudio tridimensional de la pieza dental retenida lo ideal es realizar un examen tridimensional como una tomografía de haz cónico (CBCT) o una tomografía axial computada (TAC) dependiendo del acceso que tenga el profesional a dichos exámenes.

La CBCT tiene como ventaja que es un examen sin distorsión dimensional y que permite evaluar en comparación a estudios bidimensionales el eje Z del espacio o profundidad, permitiéndole al clínico evaluar la posición vestíbulo-lingual de la pieza dental retenida.

El seguimiento radiográfico puede ser realizado con técnicas intraorales periapicales como lo es la técnica de la bisectriz, la cual tiene como ventaja la dosis mínima de radiación, correcta colaboración del paciente con la técnica, bajo tiempo de exposición y no utiliza aditamentos extras para la realización de la misma ya que la estabilización del sensor en boca se recomienda hacerlo con el mismo dedo del paciente.

Prevalencia de retención dentaria

La retención ocurre en aquel diente que está inmerso totalmente en hueso alveolar y que tiene su raíz en proceso de formación, es decir, que tiene aún potencial de erupción. Autores mencionan que el tercer molar inferior es el diente más retenido, representando un 35 % del total de dientes retenidos. Le sigue el canino superior con 34%, dado que el canino erupciona después de los incisivos y premolares, quedando algunas veces sin espacio. Luego está el tercer molar superior con un 9 %. Se interpreta que esto podría ser debido a que a nivel posterior del maxilar superior no existe limitación de espacio para la erupción, a diferencia del maxilar inferior que presenta la rama ascendente, ocasionándole falta de espacio. El incisivo central superior tiene un porcentaje bajo de retención dentaria con apenas un 2,6%. (2)

Los incisivos centrales superiores, aunque menos frecuentes, no están exentos a estos problemas; su erupción empieza alrededor de los 5 a 6 años, Se realiza de forma simétrica con su contralateral. No suelen tener problemas de espacio para erupcionar en la arcada ya que pertenecen al primer grupo de recambio dentario. El primer signo de alarma ante un incisivo retenido viene de compararlo con el proceso eruptivo de su contralateral. Es sospechosa toda alteración cronológica que separa la erupción de ambos centrales más allá de tres meses. Se indica realizar un control imagenológico minucioso inicialmente con técnicas 2D y si el clínico lo considera necesario avanzar a la adquisición de volúmenes 3D. (3)

Etiología de retención dentaria

Autores mencionan que los factores locales se deben a la falta de espacio, la dilaceración de la raíz, traumatismo dentoalveolar, anquilosis de dientes deciduos, mesialización de dientes como consecuencia de la pérdida prematura de dientes deciduos (pérdida de anclaje), erupción ectópica de dientes permanentes, patología quística o neoplásica benigna y los factores sistémicos son causadas por alimentación incorrecta, anemia, raquitismo, deficiencia de vitamina D, enfermedades endocrinas, síndromes, infecciones como la sífilis y la tuberculosis. (4)

Tratamientos de dientes retenidos

El tratamiento de dientes retenidos usualmente representa un reto para el equipo de especialistas que van a intervenir el caso ya que el éxito del mismo dependerá no solo del diagnóstico preciso y plan de tratamiento eficaz, sino también de la colaboración del paciente y apego al tratamiento del mismo. Dentro de las opciones más comunes tenemos el tratamiento ortodóntico-quirúrgico, extracción de diente retenido, relleno de alvéolo por extracción con plasma rico en plaquetas (PRP) y cierre de espacios con aparatología fija. (5)

Tracción ortodóntica (Cantilever)

La tracción ortodóntica de un diente retenido es un tratamiento que suele tomar su tiempo ya que el especialista busca aplicar fuerzas leves con el fin de evitar la reabsorción radicular del diente comprometido. Una opción es realizar la tracción con la secuencia completa de arcos continuo de molar a molar, lo cual tomará tiempo hasta llegar a un arco de acero en donde se pueda realizar la aplicación de fuerzas. Otra opción es utilizar elementos de anclaje dental ya sean removibles o fijos que buscan generar la tracción evitando sobrecargar los dientes vecinos. Otra alternativa que reduce el tiempo de inicio de la tracción y que aplica fuerzas leves es la utilización de arcos segmentados unilaterales o bilaterales de extremo libre (Cantiléver) realizados con alambre de acero o con aleación de titanio-molibdeno (TMA). Esta última opción utiliza el principio de palanca en donde el brazo de potencia es más largo y es quien genera el movimiento del diente retenido, mientras que el brazo de resistencia es el que soporta este movimiento. Dichos cantilevers pueden tener dos brazos de resistencia apoyados de forma bilateral en los molares definitivos, disminuyendo el efecto indeseado de inclinación mesial del sector posterior.(6)

Complicaciones de tracción de dientes retenidos

Las complicaciones más frecuentes de la tracción de dientes retenidos incluyen reabsorción radicular del diente a traccionar y de los dientes vecinos que son utilizados como anclaje, pérdida de anclaje del sector posterior, falta de estabilidad del diente, necrosis pulpar del diente, pérdida de longitud radicular del diente y giroversión del diente que además haya tenido un problema de malposición horizontal previo a la tracción.(7)

Presentación del caso clínico

Paciente de 10 años de edad, sexo femenino, acude a consulta para evaluación ortodóntica durante un tratamiento de ortodoncia iniciado en otra consulta, en antecedentes patológicos previos refiere extracción de odontoma compuesto en sector antero-superior del cuadrante 1. Se realiza registro fotográfico (Fig 1) donde se observa presencia de una inserción papilar del frenillo labial, ausencia clínica del incisivo central 1.1 junto con escaneo intraoral en donde se evidencia el estado del tratamiento ortodóntico (Fig 2, 3, 4)

Fig 1-4. Fotografía intraoral de frente y capturas de pantalla de escaneo intraoral vista oclusal, lateral derecha e izquierda
Fig 1-4. Fotografía intraoral de frente y capturas de pantalla de escaneo intraoral vista oclusal, lateral derecha e izquierda

Para diagnóstico radiológico se utiliza CBCT bimaxilar FOV 10 x 8 realizada previo a la colocación de aparatología fija, en donde se observa al diente 1.1 retenido en el piso de fosas nasales en posición horizontal con su saco pericoronario desprovisto de recubrimiento óseo en el borde incisal. (Fig 5)

Fig 5. Cortes en ventana MPR y renderizado 3D
Fig 5. Cortes en ventana MPR y renderizado 3D

El ápice del diente 1.1 está ubicado en el centro del paladar duro en sentido sagital por lo que el riesgo de necrosis pulpar posterior a la tracción ortodóntica es una complicación a tomar en cuenta en el presente caso. (Fig 6)

Fig 6. Reconstrucción PANOREX y cortes sagitales
Fig 6. Reconstrucción PANOREX y cortes sagitales

La paciente se encuentra en etapa de recambio dentario, se observan los dientes 1.3 y 2.3 en etapa de evolución intraósea, dientes deciduos 5.3 y 6.3 con la reabsorción fisiológica simétrica propia de la edad. Se confirma que la edad cronológica de la paciente coincide con la etapa eruptiva de la misma. (Fig 7 y 8)

Fig 7. Renderizado 3D frontal - Fig 8. Renderizado 3D vista superior
Fig 7. Renderizado 3D frontal - Fig 8. Renderizado 3D vista superior

Método

El plan de tratamiento consistió en retirar la ortodoncia fija anterior y cementar brackets con técnica 4x2 filosofía Roth 0,022 con una secuencia de arcos 0.014 niti termoactivado, 0.018niti termoactivado previo a procedimiento quirúrgico. Se requieren 8 mm (espacio requerido) para el incisivo central 1.1 y se tenía un espacio inicial de 6,09 (espacio disponible) (Fig 9 y 10), para control radiográfico inicial se realizó una radiografía periapical con técnica de bisectriz (Fig 11)

Fig 9 y 10. Espacio disponible y espacio requerido
Fig 9 y 10. Espacio disponible y espacio requerido
Fig 11. Rx periapical con técnica de bisectriz
Fig 11. Rx periapical con técnica de bisectriz

Dentro del procedimiento quirúrgico se colocó anestesia infiltrativa supraperióstica en la región vestibular y palatina del diente 1.1, se realizó incisión combinando abordaje de frenectomia labial y supracrestal con diseño romboidal con descargas en región de dientes 21 y 12, exposición de diente 11 incluido mediante osteotomía con fresa 702 para posterior colocación de botón para traccion (Fig. 12 y 13). Se programó cita de control en 8 días y retiro de puntos en 15 días desde el día de la intervención quirúrgica.

Fig 12. Ventana Quirúrgica y frenectomía labial
Fig 12. Ventana Quirúrgica y frenectomía labial
Fig 13. Fotografía colocación de botón cóncavo con cadeneta para tracción
Fig 13. Fotografía colocación de botón cóncavo con cadeneta para tracción

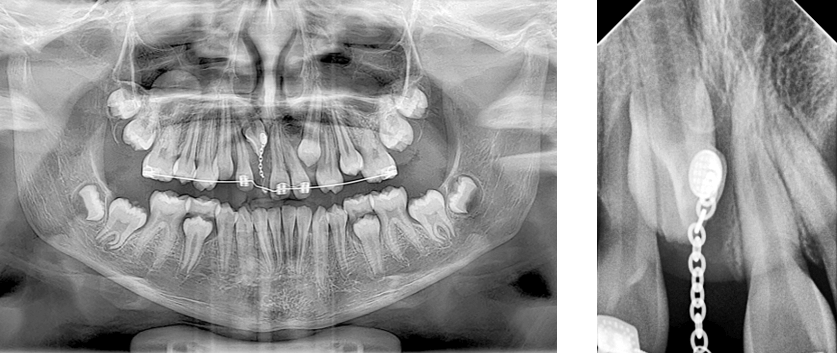
Posterior a la cirugía se realizó una radiografía panorámica y periapical con técnica de bisectriz como método de control para el tratamiento (Fig 14 y 15 ) y la activación del botón de tracción con el arco 16x22 niti superior (Fig 16).

Fig 14 y 15. Rx periapical N1 con botón y cadeneta y Rx panorámica
Fig 14 y 15. Rx periapical N1 con botón y cadeneta y Rx panorámica
Fig 16. Fotografía de activación del botón de tracción
Fig 16. Fotografía de activación del botón de tracción

En el siguiente mes se utilizó la técnica de tracción con arco segmentado, donde se utilizaron el arco 0.018 niti superior sujeto a los incisivos superiores 1.2, 2.2 y 2.1 junto con un resorte de espigas cerradas para mantener el espacio entre el 1.2 y 2.1 y el arco de TMA 17 x 25 colocado en los tubos 16 y 26 respectivamente. Se realiza la activación con 100 gramos de fuerza. (Fig 17)

Fig 17. Fotografía de arco segmentado 0.018 para tracción de incisivo central 1.1
Fig 17. Fotografía de arco segmentado 0.018 para tracción de incisivo central 1.1

En el siguiente mes se realizó la toma de la radiografía periapical N2 (Fig 18) para verificación de la distancia que ha recorrido el incisivo central, se continúa con el uso del arco segmentado 17 x 25 TMA cortando las argollas sobrantes de la cadeneta y calibrando la fuerza a 100gr para continuar con el proceso. (Fig 20)

Fig 18. Rx periapical N2 - Fig 20. Fotografía control de arco segmentado
Fig 18. Rx periapical N2 - Fig 20. Fotografía control de arco segmentado

En los dos siguientes controles se observa el proceso de erupción por tracción del incisivo central 1.1. comenzando con un abultamiento en la encía circundante a la cadeneta de tracción (Fig 21), junto con la radiografía periapical N3, donde se observa la cercanía del borde incisal al tejido radiopaco de la encía (Fig 22). Este seguimiento radiográfico nos permitió evaluar si el incisivo central 1.1 estaba desplazándose hacia el plano oclusal, ya que una complicación de dientes retenidos es que los mismos se encuentran fusionados con el hueso alveolar circundante. Para el mes siguiente se puede observar como la encía empieza a romperse para dar paso al incisivo central 1.1. manteniendo los mismos parámetros para la tracción (Fig 23)

Fig 21. Fotografía de abultamiento de encía vestibular - Fig 22. Rx periapical N3
Fig 21. Fotografía de abultamiento de encía vestibular
Fig 22. Rx periapical N3
Fig 23. Fotografía de rompimiento de encía vestibular, arco de 17 x 25 TMA
Fig 23. Fotografía de rompimiento de encía vestibular, arco de 17 x 25 TMA

En los siguientes controles se observa la corona del incisivo central 1.1 en boca con giroversión hacia mesial, desde este punto, el objetivo es colocar al incisivo dentro del arco dental. En el primer control post erupción se realiza el escaneo intraoral posterior a la colocación del bracket para 1.1 y un botón lingual (Fig. 24), estos permitirán realizar un movimiento de cupla con el objetivo de corregir la giroversión del mismo. Para continuar con el posicionamiento del incisivo, en el siguiente control se realizó la técnica de doble arco utilizando un 0.012 niti sujetado a los incisivos 1.2, 1.1, 2.1 y 2.2 junto con un arco 0.18 acero con un doblez de extrusión para el incisivo 1.1. (Fig 25)

Fig 24 y 25. Fotografía escaneo intraoral junto a técnica de doble arco con doblez de extrusión.
Fig 24 y 25. Fotografía escaneo intraoral junto a técnica de doble arco con doblez de extrusión.

Después de colocar el incisivo 1.1 en el arco dental, para su alineación, se retiró el botón lingual, se colocó el arco 0.18 niti termoactivado (Fig 26) y se terminó el caso con un arco 17x25 niti termoactivado para permitir la correcta colocación de la raíz dentro del hueso alveolar.

Fig 26. Fotografía de arco 0.018 niti para alineación dental
Fig 26. Fotografía de arco 0.018 niti para alineación dental

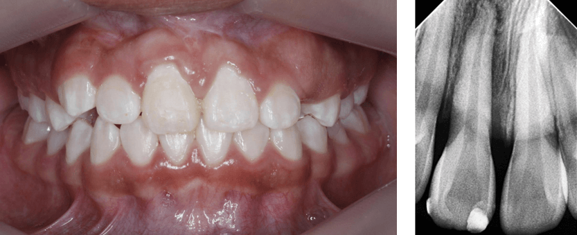
Una vez finalizado el proceso de tracción y alineación del incisivo 1.1, se retiró la aparatología fija empleada para la técnica (Fig. 27), se evaluó la vitalidad pulpar con cloruro de etilo en spray, dando una reacción positiva. Para el control radiológico se tomó la Rx periapical (Fig. 28) con el propósito de verificar el estado del hueso circundante en el ápice. Nótese en dicha radiografía un halo radiolúcido circundante a la raíz del incisivo 1.1, propio del proceso de aposición de hueso alveolar cercano a un diente traccionado.

Fig 27. Fotografía post retiro de aparatología fija - Fig 28. Rx periapical N4
Fig 27. Fotografía post retiro de aparatología fija
Fig 28. Rx periapical N4

Resultados

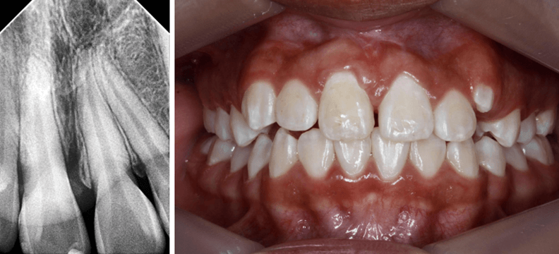
Después del retiro de ortodoncia interceptiva para realizar la tracción del IC 1.1, se realizó un control a los 6 meses para verificar los resultados del tratamiento. En esta cita se hizo una prueba de sensibilidad pulpar con cloruro de etilo con respuesta positiva, una radiografía periapical de control (Fig 29) así como la fotografía intraoral de frente (Fig 30) y un escaneo digital (Fig 31 y 32 ). En la radiografía periapical se observa ya un proceso de formación de hueso alveolar alrededor de la raíz del diente traccionado, incluida la formación de lámina dura como cortical alveolar.

Fig 29. Rx periapical N5 - Fig 30. Fotografía de control 6 meses después de retiro
Fig 29. Rx periapical N5
Fig 30. Fotografía de control 6 meses después de retiro
Fig 31 y 32. Imágenes de escaneo digital intraoral, control 6 meses.
Fig 31 y 32. Imágenes de escaneo digital intraoral, control 6 meses.

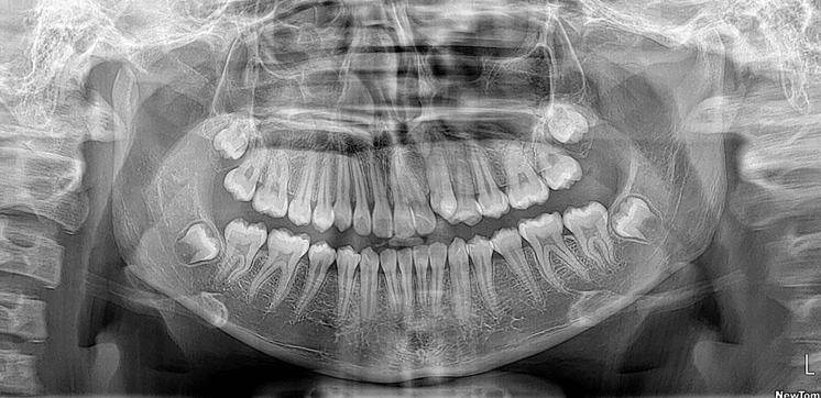
Después de 1 año y 4 meses se realiza radiografía panorámica de control para verificar la integridad radicular (Fig 33).

Fig 33. Radiografía panorámica de control 1 año y 4 meses después
Fig 33. Radiografía panorámica de control 1 año y 4 meses después

Discusión

Los protocolos de tracción de los dientes retenidos son diversos y cada uno presentan sus ventajas y limitaciones, además que cada caso clínico debe ser evaluado de forma personalizada ya que se deben contemplar matices propios del caso clínico que no permiten tener un solo protocolo para todos los dientes retenidos que se pretende traccionar ortodónticamente. (8) (12)

Dentro de los tratamientos que se contemplan está el de mantener un enfoque conservador de control en aquellos dientes retenidos que tengan una posición muy cefálica y ayudar con la extracción temprana del diente deciduo para favorecer la erupción del diente permanente, dicho enfoque se sugiere realizar entre los 11 a 13 años y desde la extracción esperar un tiempo máximo de 12 meses para evaluar la erupción autónoma del diente retenido y el mantenimiento de los tejidos periodontales. (10) (13)

Otra opción de tratamiento es realizar un tratamiento ortodóntico-quirúrgico que irá direccionado a exponer mediante cirugía el diente retenido, para pegar un elemento fijo que sirva para la tracción ortodóntica. Dicho enfoque dependerá del nivel en sentido vertical que se encuentre la corona del diente retenido. Si el borde incisal del diente retenido se encuentra coronal a la línea mucogingival se sugiere una gingivectomia, si se encuentra ubicado 3mm sobre la línea mucogingival se sugiere realizar un colgajo con reposición apical y se encuentra a una distancia mayor de 3mm con respecto al límite mucogingival se sugiere realizar una técnica cerrada que implica el levantamiento de colgajo para la exposición del diente retenido, cementado de mecanismo fijo de tracción que incluya un alambre ortodóntico que pase por debajo del colgajo y reposición final del colgajo. (11) (14)

Desde el punto de vista ortodóntico se evalúa la opción de tracción utilizando aparatología removible o fija. Dentro de las opciones de tracción con aparatología fija se encuentra el traccionar un diente retenido con la secuencia de arcos y técnicas como doble arco o cantilever. Además, se utilizan microimplantes para la tracción de los mismos, pero como desventajas está la poca estabilidad primaria de un microimplante colocado en hueso alveolar de paciente en dentición mixta y la poca estabilidad secundaria que está relacionado con los cuidados del microimplante por parte del paciente. (11) (15)

Estudios han demostrado que cuando se compara el espesor del hueso alveolar entre un diente traccionado con ortodoncia vs un diente que ha erupcionado de forma espontánea, el grosor es mayor cuando el diente a erupcionado sin guía ortodóntica. (9)

Conclusión

  • La tracción ortodóntica posterior a la ventana quirúrgica fue efectiva para colocar el diente 1.1 dentro de la arcada superior. Dicho procedimiento fue realizado en un plan de tratamiento de 1 año 2 meses en donde se logró mantener la longitud radicular y permitir la formación de hueso alveolar alrededor de la raíz.
  • No aparecen efectos indeseados como rizálisis radicular, recesión gingival, mesialización o giroversión de dientes vecinos o recidiva de la giroversión con la que empezó el diente 1.1.
  • La evidencia científica demuestra que el proceso de tracción ortodóntica debe ser ejecutado bajo el previo análisis del especialista en ortodoncia, ya que no se puede realizar en todos los casos con la misma tasa de efectividad.

Referencias Bibliográficas

  1. Siotou K, Kouskouki MP, Christopoulou I, Tsolakis AI, Tsolakis IA: Frequency and local etiological factors of impaction of permanent teeth among 1400 patients in a Greek population. Dent J (Basel). 2022, 10:150. 10.3390/dj10080150
  2. Olazo A, Antonio Y J, Barrueto R, Angel M. Enucleación de quiste dentígero, asociado al incisivo lateral retenido, y tracción ortodóntica de canino superior retenido. Rev Cubana Estomatol. 2022;59(4): e3186
  3. Pulido Y, Gounelas S. Rezk Díaz A. Aparato tipo Hawley con modificaciones en incisivo central retenido por supernumerarios. Rev Ciencias Médicas [Internet]. 2021 [citado: fecha de acceso]; 25(2): e4774.
  4. Díaz L. Dientes impactados, retenidos e incluidos: revisión de la literatura. Tuxtla Gutierrez, Chiapas. Enero 2024. 54
  5. Miranda Espinoza JI. Tratamiento quirúrgico de incisivo central superior incluido, dilacerado horizontal. Recio UNITEPC. 2022;1(2):7-13.
  6. Aguilar Salas VM, Benavides Febres EV. El uso de un cantiléver para el tratamiento ortodóncico del incisivo impactado en posición horizontal. Rev haban cienc méd [Internet]. 2021 [citado ]; 20(3):e2882.
  7. Palma Árbito, María Elena. Y Lima Illescas, Miriam (2023). Efectos adversos en la tracción ortodóncica de piezas impactadas en el segmento anterior de los maxilares: revisión narrativa. MQRInvestigar, 7(2), 816-834.
  8. Nisa TH, Nuraini P, Nelwan SC, Pradopo S, Wahluyo S, Betadion, Tedjosasongko U, Adiwirastuti I, Bonardo B. Management of impacted maxillary central incisor and abnormality of labial frenulum in children: case report. Pan Afr Med J. 2022 Jun 28;42:158. doi: 10.11604/pamj.2022.42.158.35122. PMID: 36187034; PMCID: PMC9482324.
  9. Seehra J, Alshammari A, Wazwaz F, Papageorgiou SN, Newton JT, Cobourne MT. Periodontal outcomes associated with impacted maxillary central incisor and canine teeth following surgical exposure and orthodontic alignment: a systematic review and meta-analysis. Eur J Orthod. 2023 Sep 18;45(5):584-598. doi: 10.1093/ejo/cjad039. PMID: 37643750.
  10. Mattos PM, Goncalves FM, Basso IB et al. Periodontal parameters in orthodontically tractioned teeth: A systematicreview and meta-analysis. Korean J Orthod. 2022;52:420–31.
  11. Seehra J, DiBiase AT, Patel S et al. Study protocol for the management of impacted maxillary central incisors: a multicentre randomised clinical trial: the iMAC Trial. Trials. 2022;23:787.
  12. Seehra J, Yaqoob O, Patel S et al. National clinical guidelines for the management of unerupted maxillary incisors in children. Br Dent J. 2018;224:779–85.
  13. Chaushu S, Becker T, Becker A. Impacted central incisors: factors affecting prognosis and treatment duration. Am J Orthod Dentofacial Orthop.2015;147:355–62.
  14. Seehra J, Mortaja K, Wazwaz F, Papageorgiou SN, Newton JT, Cobourne MT. Interventions to facilitate the successful eruption of impacted maxillary incisor teeth due to the presence of a supernumerary: A systematic review and meta-analysis. Am J Orthod Dentofacial Orthop. 2023 May;163(5):594-608. doi: 10.1016/j.ajodo.2023.01.004. Epub 2023 Mar 11. PMID: 36907703.
  15. Nangia T, Kalra G, Langpoklakpam C. Comprehensive Management of an Impacted Maxillary Central Incisor: A Case Report. Cureus. 2024 Oct 15;16(10):e71547. doi: 10.7759/cureus.71547. PMID: 39544595; PMCID: PMC11563462.