Artículo Original

Uso de mini implantes en el shelf mandibular para el tratamiento de maloclusión clase III en paciente biprotruso

Blanca Alejandra Aguayo Ojeda1, Adriana Rojas Ramirez2

Resumen

Introducción. La maloclusión Clase III dental en adultos representa un reto ortodóncico complejo, especialmente cuando se asocia con biprotrusión y patrones faciales desfavorables. En estos casos, el abordaje tradicional incluye extracciones o cirugía ortognática. Sin embargo, el desarrollo de técnicas de anclaje esquelético ha permitido opciones menos invasivas y altamente efectivas para la corrección de discrepancias anteroposteriores. Objetivo. Presentar una alternativa terapéutica no quirúrgica para la corrección de una maloclusión Clase III dental con biprotrusión, mediante distalización de la arcada inferior con mini implantes colocados en el shelf mandibular. Materiales y Métodos. Paciente masculino de 23 años con patrón de crecimiento vertical y biotipo mesofacial, diagnosticado con Clase III dental, overjet negativo con mordida cruzada anterior. Se inició tratamiento con aparatología fija MBT slot .022, se inicio la etapa de alineacion y nivelacion para posteriormente colocar mini implantes bilaterales en el shelf mandibular como anclaje esquelético. La biomecánica incluyó ligaduras metálicas, brazos crimpables y cadenas elásticas con fuerza controlada para la retracción del sector anteroinferior. Proposito. El uso de mini implantes en el shelf mandibular demostrara ser una opción terapéutica viable y eficaz para la corrección de una maloclusión Clase III dental con biprotrusión.

Palabras clave: mini implantes, clase lll dental, biprotruso, distalizacion, shelf mandibular.


Original Article

Abstract

Introduction. Dental Class III malocclusion in adults represents a complex orthodontic challenge, especially when associated with biprotrusion and unfavorable facial patterns. In these cases, the traditional approach includes extractions or orthognathic surgery. However, the development of skeletal anchorage techniques has allowed for less invasive and highly effective options for the correction of anteroposterior discrepancies. Objective. To present a non-surgical therapeutic alternative for the correction of a dental Class III malocclusion with biprotrusion, through distalization of the lower arch with mini implants placed in the mandibular shelf. Materials and Methods. A 23-year-old male patient with a vertical growth pattern and mesofacial biotype was diagnosed with dental Class III, negative overjet with anterior crossbite. Treatment was initiated with fixed MBT slot .022 appliances, the alignment and leveling stage began, and subsequently bilateral mini implants were placed in the mandibular shelf as skeletal anchorage. The biomechanics included metal ligatures, crimpable arms, and elastic chains with controlled force for retraction of the lower anterior segment. Purpose: The use of mini implants in the mandibular shelf will prove to be a viable and effective therapeutic option for the correction of a Class III dental malocclusion with biprotrusion.

Key words: mini screw, class III dental, biprotrusive, distalization, shelf mandibular.


  1. Residente de segundo año en la Especialidad de Ortodoncia y Ortopedia Maxilofacial
  2. Especialista en Ortodoncia y Ortopedia Maxilofacial. Docente en el Centro de especialidades odontológicas Dr Renato de Toledo. Tijuana B.C, México.

Introducción

La maloclusión de Clase III dental se caracteriza por una relación anteroposterior alterada entre los arcos dentarios, en la que los dientes inferiores se encuentran en una posición más adelantada en comparación con los superiores. Según la clasificación de Angle 1899. Esta puede ser:

  • Dental: cuando la discrepancia está limitada al alineamiento de los dientes, sin alteración significativa de la base ósea.
  • Esquelética: cuando existe una desarmonía entre los maxilares, ya sea por una retrusión maxilar, protrusión mandibular, o una combinación de ambas.1

Con los siguientes criterios:

  • Clase III dental pura: Relación esquelética normal, pero con inclinación dental que genera la apariencia de Clase III (incisivos inferiores proinclinados, incisivos superiores retroinclinados).
  • Clase III esquelética verdadera: Desarmonía ósea con discrepancia anteroposterior entre el maxilar y la mandíbula.
  • Clase III funcional o pseudo Clase III: Tenemos contactos prematuros anteriores que desencadena una desviación mandibular anterior. Puede corregirse mediante eliminación del contacto oclusal y tratamiento ortodóncico temprano.2

En la maloclusión Clase III esquelética, la discrepancia suele manifestarse desde edades tempranas, y puede progresar con el crecimiento mandibular.

Las características clínicas de la maloclusión Clase III pueden incluir:

  • Inversión de la relación molar (oclusión de Clase III molar).
  • Overjet negativo
  • Perfil facial cóncavo.
  • Prognatismo mandibular o retrusión maxilar.
  • Incompetencia labial y tensión del labio inferior.
  • Curva de Spee plana o invertida.
  • Apiñamiento dental, especialmente en el arco inferior.
  • Asimetría facial en casos más complejos.

Su etiología es multifactorial, con una fuerte influencia genética, aunque también pueden intervenir factores ambientales. Esqueletalmente, puede presentarse por hipoplasia maxilar, hiperplasia mandibular o una combinación de ambas. A nivel dentoalveolar, la proinclinación de los incisivos inferiores y la retroinclinación de los superiores agravan la discrepancia anteroposterior. Factores funcionales como interferencias oclusales, hábitos orales y alteraciones respiratorias también influyen en su desarrollo.3

La prevalencia de la maloclusión Clase III varía según la población, afectando aproximadamente al 5% de los individuos en poblaciones caucásicas y hasta el 14% en poblaciones asiáticas. Su diagnóstico y tratamiento dependen del tipo de discrepancia anteroposterior y del patrón de crecimiento del paciente, lo que influye en la elección de las estrategias terapéuticas más adecuadas.2

Además de su clasificación clínica, la maloclusión Clase III puede subdividirse según su gravedad: (leve, moderada o severa), lo que condiciona el enfoque terapéutico. En los casos leves, suele ser suficiente con ortodoncia compensatoria; en los moderados a severos, el tratamiento puede requerir extracciones o incluso cirugía ortognática si hay compromiso esquelético significativo. Desde el punto de vista etiológico, a la carga genética se suman factores epigenéticos, como patrones respiratorios orales, obstrucciones nasales crónicas, y alteraciones en la función lingual y labial que influyen negativamente en el desarrollo mandibular y maxilar.4

El diagnóstico preciso ha evolucionado con el uso de imágenes tridimensionales (CBCT), que permiten una mejor evaluación de la posición dentoalveolar, la calidad ósea y las posibles asimetrías. Estos avances han facilitado la planificación de movimientos dentarios controlados mediante anclaje esquelético, como es el caso de los mini implantes en el shelf mandibular, que proporcionan una zona altamente corticalizada, ideal para soportar fuerzas ortodóncicas sin migración del dispositivo.5 Desde una perspectiva biomecánica, estos sistemas permiten aplicar fuerzas vectorizadas para retracción del segmento anteroinferior, evitando efectos secundarios no deseados como el tipado coronal o la extrusión molar.6 Investigaciones recientes han demostrado que esta técnica no sólo es eficaz, sino también estable a largo plazo, siempre que se acompañe de un adecuado control oclusal y periodontal.

En el manejo actual de la Clase III, se prioriza un enfoque conservador, mínimamente invasivo, estético y funcional, en concordancia con los objetivos del paciente adulto, donde la cirugía no siempre es aceptada. De este modo, el anclaje esquelético representa una revolución terapéutica que ha redefinido los límites de la ortodoncia convencional.7,8

En el caso clínico que se presentara, el paciente fue diagnosticado con una Clase III dental pura, con patrón de crecimiento vertical y biotipo mesofacial, sin alteración esqueletal significativa. El plan de tratamiento fue diseñado tomando en cuenta la negacion del paciente a someterse a cirugía ortognática o extracciones dentarias. Se optó por una alternativa basada en anclaje esquelético, mediante la colocación de mini implantes bilaterales en el shelf mandibular, con el objetivo de lograr la distalización controlada de la arcada inferior. Esta estrategia permitira la corrección del overjet negativo y la mejora de la intercuspidación sin necesidad de procedimientos invasivos.

Presentación del caso

El presente caso clínico describe a un paciente masculino de 23 años de edad que acude a consulta refiriendo que “siento que mis dientes estan salidos”

Análisis extraoral

Presenta una cara cuadrada, con una sonrisa no consonante alta y plana, corredores bucales amplios, tercio facial inferior aumentado, perfil recto 176º, línea media facial no coincide con línea media dental inferior desviada 2 mm a la derecha.

Fig 1. Fotografias extraorales
Fig 1. Fotografias extraorales

Análisis intraoral

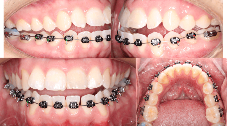
A la evaluacion intraoral presentaba deglusion atipica y una maloclusion molar clase III bilateral, clase II canina del lado derecho y clase III canina del lado izquierdo. Forma de arcada cuadrada en superior y ovoide en inferior. Biprotrusion dental. Presencia de OD 18, 28, 38, 48 erupcionados. Tremas de 3-3 en el maxilar inferior. Mordida cruzada anterior. Overjet de -1 mm. Overbite 0mm.

Fig 2. Fotografias intraorales
Fig 2. Fotografias intraorales
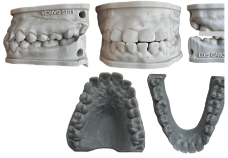
Fig 3. Modelos intraorales
Fig 3. Modelos intraorales

Análisis radiográfico

La radiografía lateral de cráneo en el análisis de Ricketts arrojo una convexidad de -0.01 mm y altura facial inferior de 47.85º mostrando una relación intermaxilar Clase I. Dentalmente presenta una Clase III molar, proinclinacion dental (L1-A-Po: 35º) angulo interincisal (111º), biotipo mesofacial con crecimiento vertical. Un IMPA: 100º en Tweed.

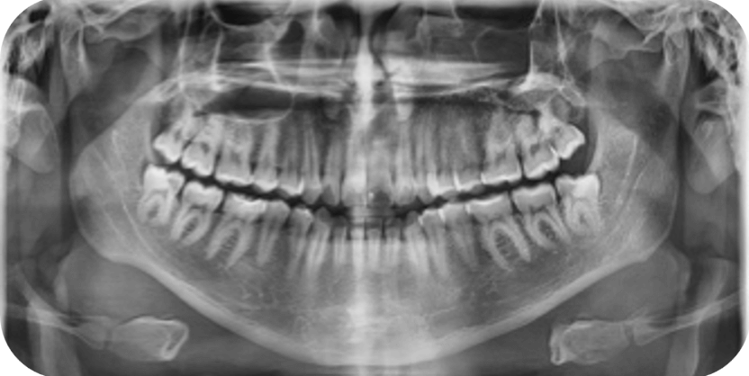
En la radiografía panorámica se observa simetria de las ramas mandibulares, presencia de 32 OD erupcionados, obstruccion parcial de la fosa nasal izquierda y seno maxilar izquierdo reducido.

Fig 4. Radiografia lateral de craneo inicial
Fig 4. Radiografia lateral de craneo inicial
Fig 4.1 Cefalometria Ricketts pretratamiento
Fig 4.1 Cefalometria Ricketts pretratamiento
Fig 4.2 Radiografia panoramica inicial
Fig 4.2 Radiografia panoramica inicial

Objetivos del tratamiento

  • Conformacion y armonizacion de las arcadas
  • Obtener Cl molar bilateral
  • Obtener Cl canina bilateral
  • Lograr intercuspidacion functional
  • Obtener oclusion functional y estable
  • Paralelismo radicular
  • Correcto overjet y overbite
  • Eliminar habito

Alternativas de tratamiento

Se analizaron diversos procedimientos para llevar a cabo el tratamiento.

  1. Como primera opcion se propuso la cirugia ortognatica.
  2. La segunda opción de tratamiento, se propone la extracción de primeros premolares maxilares y mandibulares.

La ultima propuesta y la que se adapta mas a los objetivos del paciente es la utilizacion de mini implantes colocados bilateralmente en el shelf mandibular para la distalizacion de la arcada y conformar el overjet y overbite.

El objetivo de este estudio es obtener la corrección de la discrepancia anterior, se planificó la distalización de la arcada inferior mediante mini-implantes en el shelf mandibular, técnica que ha demostrado ser efectiva para la retracción del segmento inferior sin la necesidad de extracciones y evitando la cirugía ortognática.

Bitácora de seguimiento

Se eligio la prescripcion de brackets MBT slot .022, comenzando unicamente con la colocacion inferior incluyendo primeros y segundos molares. Arco de inicio .14 nitinol cinchado. Spikes de resina en 32, 31, 41, 42 para control de habito y topes oclusales en caras vestibulares del 47-37. El caso se inicio sin la presencia de los terceros molares.

Fig 5. Seguimiento fotografico
Fig 5. Seguimiento fotografico

Segunda cita. Colocacion de brackets MBT slot .022 superior incluyendo primeros y segundos molares. Arco nitinol .14 superior e inferior. Ligadura individual en laterales superiores.

Fig 6. Seguimiento fotografico
Fig 6. Seguimiento fotografico

Quinta cita. Aumento de topes oclusales en segundos molares inferiores. Cambio de arco nitinol .16 superior. Arco de acero inoxidable .16 inferior. En arcada inferior se realizó la siguiente biomecánica: colocación de ligadura metálica continua de 46-43 y 36-33 en conjunto de una cadena elástica de 43-33.

Fig 7. Seguimiento fotografico
Fig 7. Seguimiento fotografico

Septima cita. Ya se encontraba el paciente con ligadura de contencion del 33-43 para prevenir la aparicion de los tremas. Arco 16x16 nitinol superior e inferior. Stripping del 13, 12, 11, 21, 22, 23.

Fig 8. Seguimiento fotografico
Fig 8. Seguimiento fotografico

Novena cita. Arco 16x22 nitinol superior. Arco 16x22 acero inoxidable inferior. Ligas intermaxilares clase III 3/16 4.5oz.

Fig 9. Seguimiento fotografico
Fig 9. Seguimiento fotografico

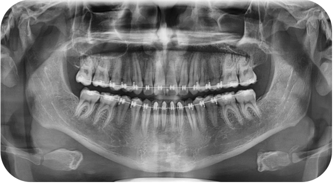
Radiografías panorámicas de seguimiento con el objetivo de observar el paralelismo radicular e iniciar con el anclaje esquelético.

Fig 10. Panoramica inicial
Fig 10. Panoramica inicial
Fig 10.1 Panoramica 9 meses de tratamiento
Fig 10.1 Panoramica 9 meses de tratamiento

Decima cita. Colocación de mini implantes en el shelf mandibular de manera bilateral. Marca TD medida 2x12 con perfil transmucoso. Arco 16x22 nitinol superior. Arco 16x22 acero inoxidable inferior. Ligadura metálica de seguridad en 42-41-31-32. Brazos crimpables bilaterales en distal de laterales inferiores. Cadena elástica de los crimpables a los mini implantes con una fuerza de 150gr inicial.

Fig 11. Seguimiento fotografico
Fig 11. Seguimiento fotografico

Doceava cita: Arco 17x25 acero inoxidable superior. Mismo arco, misma biomecanica en inferior. Despues de la colocacion de los mini implantes, el mini implante del lado derecho se desalojo un mes y medio despues de su insercion. Es esta cita se reinserto el mini implante en el shelf mandibular derecho; se cargaron ambos mini implantes con una fuerza de 150gr.

Fig 12. Seguimiento fotografico
Fig 12. Seguimiento fotografico
INICIO
Fig 13. Seguimiento fotografico
Fig 13. Seguimiento fotografico
ULTIMA CITA SEGUIMIENTO
Fig 14. Seguimiento fotografico
Fig 14. Seguimiento fotografico

Discusión

El caso clínico presentado corresponde a un paciente adulto joven con una maloclusión Clase III dental en un patrón esqueletal Clase I, acompañado de biprotrusión y un biotipo mesofacial con crecimiento vertical. Este tipo de casos plantea un reto terapéutico significativo, ya que la discrepancia anteroposterior a nivel dentoalveolar compromete tanto la función oclusal como la estética facial.

El abordaje mediante mini implantes en el shelf mandibular ha demostrado ser una alternativa eficaz para casos como este, en los que la distalización inferior es clave para corregir el overjet negativo, asentar un overbite y lograr una relación canina y molar funcional. Esta técnica se posiciona como una opción viable cuando el paciente no desea someterse a cirugía ortognática ni a tratamientos con extracciones múltiples.

En este paciente, se rechazaron las opciones quirúrgicas y las extracciones que se llegaran a requerir, a cambio de una mecánica a base de anclaje esquelético. La elección del shelf mandibular como sitio para su insercion es ideal por su alta densidad ósea y estabilidad primaria, lo que permite la aplicación de fuerzas graduales.

La corrección de la biprotrusión se esta logrando sin comprometer la salud periodontal ni la integridad radicular, gracias al control de la mecánica de retracción inferior mediante brazos crimpables, midiendo y respetando el incremento de fuerzas ligeras y continuas. Asimismo, el uso de topes oclusales y spikes de resinas contribuyó al manejo de la deglución atípica, hábito que agravaba la discrepancia funcional.

La técnica de anclaje esqueletal mediante mini implantes ha probado ser altamente efectiva para movimientos dentarios complejos sin la necesidad de cirugía. Inchingolo et al. (2023), en su revisión sistemática, concluyen que la distalización con TADs (dispositivos de anclaje temporal) es una estrategia efectiva y segura para corregir la Clase III dental en adultos.

Dando como resultados que su revision sistematica como el presente caso clinico coinciden que la colocación de mini implantes en el shelf mandibular permitió un control biomecánico preciso, evitando movimientos indeseados y mejorando la estabilidad funcional y estética.9

Jing et al. (2013) publicaron un caso clínico no quirúrgico de una paciente adulta tratada mediante mini implantes insertados en la cresta oblicua externa de la mandíbula. Utilizando una mecánica de retracción controlada con cadenas elásticas, lograron corregir el overjet negativo, establecer un overbite funcional adecuado, y mejorar el perfil facial de la paciente sin necesidad de cirugía ortognática ni extracciones. Este caso resalta la eficacia de los mini implantes como una alternativa menos invasiva pero igual de eficiente en la corrección de discrepancias anteroposteriores.10

En el caso que aquí se presenta, se lograron resultados clínicos comparables a los descritos en ambos estudios. Mediante el uso de mini implantes en el shelf mandibular, se genera una distalización progresiva de la arcada inferior.

Cabe mencionar que aunque el caso aun no se concluye en su totalidad el tratamiento arroja excelentes resultados y demostrando que la ortodoncia moderna puede brindar resultados estéticos y funcionales, incluso en casos complejos sin la necesidad de recurrir a procedimientos mas invasivos, como lo seria una cirugia ortognatica o extracciones de premolares. Para eso es fundamental hacer un buen diagnóstico y planificar el caso a detalle.

Conclusión

El anclaje esquelético mediante mini implantes en el shelf mandibular representa una alternativa eficaz y mínimamente invasiva para el tratamiento de maloclusiones Clase III dentales en adultos, especialmente en aquellos pacientes que rechazan procedimientos quirúrgicos o tratamientos con extracciones. La biomecánica aplicada permitió una distalización controlada del arco inferior con estabilidad funcional y estética.

La elección del shelf mandibular como sitio de inserción se justificó por su alta densidad ósea y estabilidad primaria, permitiendo la aplicación de fuerzas ligeras y continuas sin comprometer la salud periodontal y minimizando los efectos secundarios indeseados, como la extrusión o el tip dentario. Esta estrategia facilitó la corrección del overjet negativo y mejoró la relación canina y molar.

El caso clínico demostró que la mecánica con brazos crimpables, cadenas elásticas de 150 gramos, spikes de resina y topes oclusales ofrece un control preciso del movimiento dentario y contribuye al manejo de hábitos orales disfuncionales, como la deglución atípica.

Los resultados obtenidos son consistentes con lo reportado en la literatura científica, como en los estudios de Inchingolo et al. (2023) y Jing et al. (2013), donde se validó la eficacia de la distalización mandibular asistida por mini implantes en pacientes adultos. Estos hallazgos refuerzan que una planificación biomecánica detallada, basada en diagnóstico preciso, puede alcanzar resultados exitosos incluso en casos complejos sin necesidad de cirugía ortognática.

Referencias Bibliográficas

  1. Angle, E.H. (1899). Classification of malocclusion. Dental Cosmos.
  2. Proffit, W. R., Fields, H. W, Larson, B, & Sarver, D. M. (2019). Ortodoncia contemporánea (6ª ed.). Elsevier España
  3. Guyer, E. C., Ellis, E., mcnamara, J. A., & Behrents, R. G. (1986). Components of Class III malocclusion in juveniles and adolescents. The Angle Orthodontist.
  4. Perillo, L., Mutinelli, S., Contardo, L., & Caprioglio, A. (2020). Class III malocclusion: A review of the etiologic and diagnostic aspects. Journal of Functional Morphology and Kinesiology, 5(3), 58. https://doi.org/10.3390/jfmk5030058
  5. Krieger, E., Dietrich, S., Vu, T. T., & Hourfar, J. (2021). Skeletal anchorage in the mandibular buccal shelf: Clinical tips for success. Seminars in Orthodontics, 27(2), 109–118. https://doi.org/10.1053/j.sodo.2021.01.004
  6. Sugawara, J., & Nishimura, M. (2005). Mandibular molar distalization with skeletal anchorage system. Seminars in Orthodontics, 11(2), 141–149. https://doi.org/10.1053/j.sodo.2005.02.003
  7. Ludwig, B., Glasl, B., & Lisson, J. A. (2012). Anatomical guidelines for miniscrew insertion: Vestibular interradicular sites. Journal of Clinical Orthodontics, 46(3), 165–173.
  8. Papageorgiou, S. N., Zogakis, I. P., & Papadopoulos, M. A. (2018). Success rates and efficiency of mandibular mini-implants for molar distalization in Class III malocclusion: A meta-analysis. American Journal of Orthodontics and Dentofacial Orthopedics, 153(4), 510–523. https://doi.org/10.1016/j.ajodo.2017.07.022
  9. Inchingolo, A. M., Patano, A., Malcangi, G., Azzollini, D., Laudadio, C., Ciocia, A. M., Sardano, R., Ferrante, L., Campanelli, M., Dipalma, G., Di Venere, D., Inchingolo, A. D., & Inchingolo, F. (2023). Mandibular Molar Distalization in Class III Malocclusion: A Systematic Review. Applied Sciences. 13(16), 9337; https://doi.org/10.3390/app13169337
  10. 10. Nguyen Viet Anh, Vo Truong Nhu Ngoc & Trinh Thi Thai Ha (2022): Severe overjet and deep overbite correction by en masse distalization using lingual appliances and mini-implant Anchorage: two case reports, Clinical and Investigative Orthodontics, DOI: 10.1080/27705781.2022.2139341